
แพทย์จีนเหวอ เอกซ์เรย์ผู้ป่วยรายหนึ่งพบปอดหายไปข้าง ผ่าตัดถึงรู้ว่าสาเหตุมาจากปลอกปากกาที่เข้าไปอุดตันนานกว่า 20 ปี !!!
เมื่อวันที่ 12 มิถุนายน 2558 เว็บไซต์เดลี่เมลของอังกฤษ รายงานว่า นายหยู หัง ชายชาวจีนวัย 32 ปี ได้ป่วยเป็นหวัดต่อเนื่องไม่หายสักที จึงตัดสินใจมาพบแพทย์ที่โรงพยาบาลในเมืองหังโจว มณฑลเจ้อเจียง แพทย์ตรวจหาต้นตอถึงกับอึ้ง เมื่อพบว่าปอดของเขาหายไปไหนไม่รู้ข้างหนึ่ง
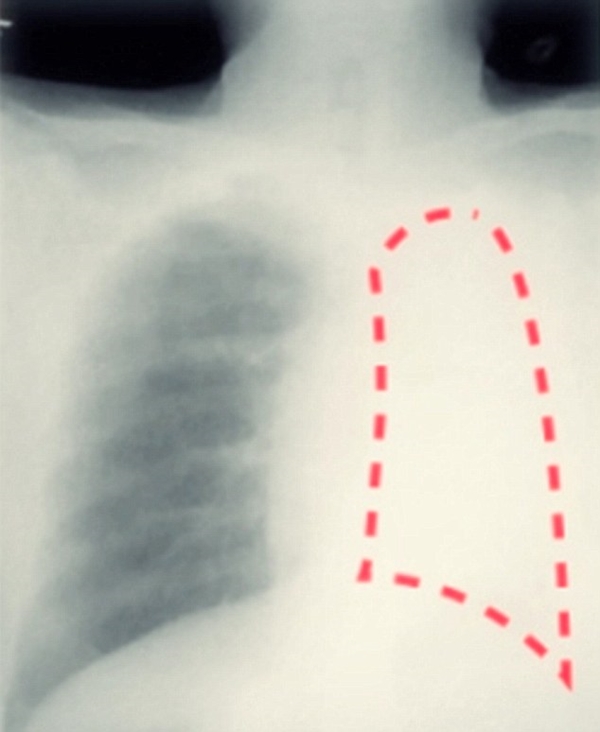
หลังจากผลเอกซ์เรย์ปรากฏออกว่าปอดซ้ายของเขาอันตรธานไปทั้งหมด ในทีแรกก็คิดว่าปอดซ้ายของเขาอาจจะถูกครอบงำด้วยเนื้องอกขนาดใหญ่ก็ได้ จึงทำการผ่าตัดไขปริศนา และเมื่อผ่าตัดแล้วก็ถึงบางอ้อเมื่อพบว่า ต้นตอของ "ปอดหาย" ไม่ใช่เนื้องอกอย่างที่คาดไว้ แต่เป็นปลอกปากกาเล็ก ๆ เข้าไปอุดตันหลอดลมที่เชื่อมไปยังปอดซ้าย จึงได้ถามไถ่นายหยู หัง ว่าเกิดอะไรขึ้นกับเขา ปลอกปากกาเข้าไปอยู่ในนั้นได้อย่างไร

หยู หัง เปิดเผยว่า ตอนที่เขาเรียนอยู่ชั้นประถม อายุประมาณ 12 ขวบ เขาได้เผลอกลืนปลอกปากกาลงไป แต่ตอนนั้น ด้วยความที่มันไม่ได้มีอาการผิดปกติใดเกิดขึ้น ก็คิดว่าคงไม่เป็นอะไร แม้ว่าหลังจากนั้นจะประสบปัญหาหายใจไม่เต็มปอดบ้างในบางครั้ง แต่ก็ไม่ได้หนักหนาสาหัสอะไร และไม่สนใจที่จะไปพบแพทย์เลย
อย่างไรก็ดี ศัลยแพทย์สามารถผ่าตัดเอาปลอกปากกาออกมาจากปอดของหยู หัง ได้สำเร็จ แต่นั่นก็ไม่สามารถทำให้ปอดซ้ายของเขากลับมาทำงานได้ดังเดิม เพราะมันเหี่ยวแฟบไปแล้ว

ภาพจาก Sir Run Run Shaw Hospital School of Medicine





