สวนสัตว์เชียงใหม่ร่วมกับองค์การสวนสัตว์ฯ แถลงยืนยัน หลินฮุ่ย ตั้งท้องจริง เผยภาพอัลตราซาวด์พบโครงสร้างตัวอ่อนในมดลูกชัดเจน ขณะทีมพี่เลี้ยงติดตามพฤติกรรมใกล้ชิดตลอด 24 ชั่วโมง
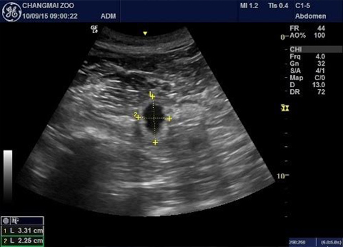
เมื่อวันที่ 11 กันยายน 2558 ผู้สื่อข่าวรายงานว่า ที่สวนสัตว์เชียงใหม่ นายเบญจพล นาคประเสริฐ ผอ.องค์การสวนสัตว์ พร้อมด้วยหัวหน้าโครงการวิจัยและจัดแสดงหมีแพนด้าในประเทศไทย, ผู้เชี่ยวชาญด้านระบบสืบพันธุ์ และนายนิพนธ์ วิชัยรัตน์ รักษาการ ผอ.สวนสัตว์เชียงใหม่ ร่วมกันแถลงผลการตรวจสุขภาพและอัลตราซาวด์หมีแพนด้าหลินฮุ่ย 2 ครั้ง ในรอบ 24 ชั่วโมงที่ผ่านมา พบว่า การอัลตราซาวด์ครั้งแรก พบมีถุงหุ้มตัวอ่อนอย่างชัดเจน ส่วนการอัลตราซาวด์ครั้งที่ 2 พบมีลักษณะโครงสร้างคล้ายตัวอ่อนอยู่ในผนังมดลูก ซึ่งคล้ายกับแพนด้าที่ตั้งท้องจริงทั่วไป

ทั้งนี้ จะต้องติดตามดูพัฒนาการกันเรื่อย ๆ ว่าจะมีสัญญาณชีพและคลอดปกติหรือไม่ เนื่องจากแพนด้าเป็นสัตว์ที่ยากจะคาดการณ์ได้ และอาจมีการดูดกลับของตัวอ่อนได้เช่นกัน อย่างไรก็ตาม ทีมพี่เลี้ยงจะดูและติดตามพฤติกรรมของหลินฮุ่ยอย่างใกล้ชิดตลอด 24 ชั่วโมงต่อไป

ภาพประกอบจาก เฟซบุ๊ก Chiang Mai Zoo
ข้อมูลจาก สำนักข่าว INN






