หมอเผย ระวังไข้หวัดใหญ่ ปี 2562 หลังปีนี้คนป่วยเกือบ 2 แสนคนแล้ว พร้อมยกเคสชายคนหนึ่ง ป่วยไข้หวัดใหญ่ แล้วไปติดเชื้อราในอากาศ ปอดผิดปกติ ให้ออกซิเจนเท่าไรอาการก็ไม่ดีขึ้น แถมยังพบตุ่มในหลอดลม จนเสียชีวิต
เมื่อวันที่ 17 กรกฎาคม 2562 เฟซบุ๊กหมอมนูญ ลีเชวงวงศ์ FC ได้ออกมาเตือนถึงเรื่องไข้หวัดใหญ่ ที่กำลังแพร่ระบาดในตอนนี้ โดยจากสถิติตั้งแต่วันที่ 1 มกราคม - 11 กรกฎาคม 2562 พบว่า มีผู้ป่วยไข้หวัดใหญ่ 192,445 คน เสียชีวิตแล้ว 14 คน โดยผู้ที่เสียชีวิตส่วนใหญ่ เกิดจากไวรัสทำให้เยื่อบุผนังถุงลมและผนังหลอดเลือดในถุงลมอักเสบ ปอดไม่สามารถรับออกซิเจนได้ จนร่างกายขาดออกซิเจน และเสียชีวิตจากโรคแทรกซ้อน
โดยคุณหมอมนูญ ได้เผยให้เห็นถึงเคสของผู้ชายคนหนึ่ง ที่อายุ 57 ปี ร่างกายแข็งแรง ไม่มีโรคประจำตัว สูบบุหรี่วันละครึ่งซอง ก่อนหน้านั้น ชายคนนี้ได้ไปเยี่ยมเพื่อนในโรงพยาบาลหลายวัน ต่อจากนั้น เขาก็เริ่มไอแห้ง ๆ มีไข้ เหนื่อย แต่ไม่ปวดหัว ไม่มีปวดตัว ไม่มีน้ำมูก ไม่เจ็บคอ
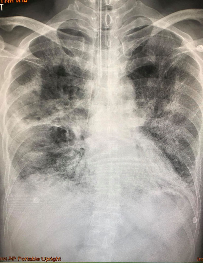
ต่อมา ชายคนดังกล่าว ได้เข้ารับการรักษาในโรงพยาบาล และเมื่อเอกซเรย์ปอดก็พบว่า ปอดทั้ง 2 ข้างผิดปกติ ระดับออกซิเจนในเลือดต่ำมาก แต่คลื่นหัวใจปกติ เมื่อตรวจหาเชื้อไข้หวัดใหญ่ในช่องจมูกแบบเร็ว ผลออกมาเป็นลบ แพทย์จึงสั่งให้ยารักษาไข้หวัดใหญ่ Tamiflu กินจนครบ 5 วัน ให้ยาปฏิชีวนะ และยาสเตียรอยด์
อย่างไรก็ตาม อาการของผู้ป่วยไม่ดีขึ้น ซ้ำยังต้องให้ออกซิเจนตลอดเวลา จึงทำการเอกซเรย์ปอดอีกครั้ง และพบว่า ปอดด้านซ้ายผิดปกติมากกว่าด้านขวา และปอดข้างขวารั่ว 15%
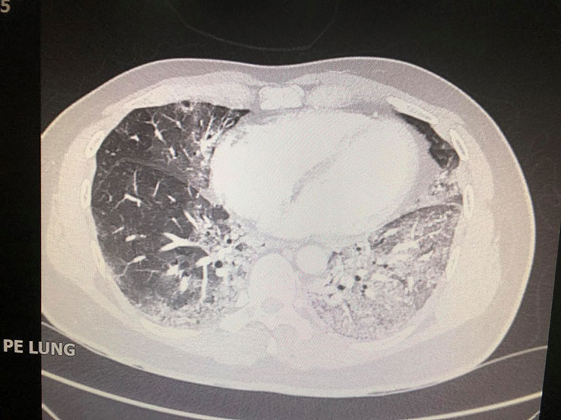
ต่อมา ชายคนดังกล่าวอาการดีขึ้นเล็กน้อย ปอดรั่วดีขึ้น แต่อาการมาแย่อีกทีในวันที่ 17 ที่นอนในโรงพยาบาล ปอดดูแย่ ต้องใส่เครื่องช่วยหายใจ และแม้จะให้ออกซิเจน 100% แล้ว ระดับออกซิเจนในเลือดยังต่ำมาก หมอจึงส่องกล้องเพื่อดูหลอดลม และเห็นตุ่มเล็ก ๆ ในหลอดลมใหญ่ด้านขวา จึงมีการดูดเสมหะและตัดชิ้นเนื้อส่งตรวจ จึงพบเชื้อราเป็นจำนวนมาก
เมื่อไปตรวจหา PCR ของไข้หวัดใหญ่จากเสมหะในหลอดลม ก็พบว่า ชายคนนี้เป็นไข้หวัดใหญ่สายพันธุ์เอ หมอจึงสั่งให้ยาแก้ไข้หวัดใหญ่ตัวใหม่ และยาฆ่าเชื้อรา และฉีดยาเพิ่มภูมิคุ้มกัน แต่ผู้ป่วยก็ไม่ดีขึ้น สุดท้ายชายคนนี้ก็เสียชีวิต หลังจากรักษาตัวในโรงพยาบาลประมาณ 30 วัน
"สรุป : ผู้ป่วยรายนี้ป่วยเป็นไข้หวัดใหญ่สายพันธุ์ A ทำให้ปอดอักเสบรุนแรง ระบบหายใจล้มเหลว ได้รับการรักษาด้วยยาฆ่าเชื้อไข้หวัดใหญ่ ดีขึ้นชั่วคราว ต่อมาติดเชื้อราซึ่งปนเปื้อนอยู่ในอากาศ คือเชื้อราแอสเปอร์จิลลัส( Aspergillus) แบบลุกลามทำให้เสียชีวิต"
เมื่อวันที่ 17 กรกฎาคม 2562 เฟซบุ๊กหมอมนูญ ลีเชวงวงศ์ FC ได้ออกมาเตือนถึงเรื่องไข้หวัดใหญ่ ที่กำลังแพร่ระบาดในตอนนี้ โดยจากสถิติตั้งแต่วันที่ 1 มกราคม - 11 กรกฎาคม 2562 พบว่า มีผู้ป่วยไข้หวัดใหญ่ 192,445 คน เสียชีวิตแล้ว 14 คน โดยผู้ที่เสียชีวิตส่วนใหญ่ เกิดจากไวรัสทำให้เยื่อบุผนังถุงลมและผนังหลอดเลือดในถุงลมอักเสบ ปอดไม่สามารถรับออกซิเจนได้ จนร่างกายขาดออกซิเจน และเสียชีวิตจากโรคแทรกซ้อน
โดยคุณหมอมนูญ ได้เผยให้เห็นถึงเคสของผู้ชายคนหนึ่ง ที่อายุ 57 ปี ร่างกายแข็งแรง ไม่มีโรคประจำตัว สูบบุหรี่วันละครึ่งซอง ก่อนหน้านั้น ชายคนนี้ได้ไปเยี่ยมเพื่อนในโรงพยาบาลหลายวัน ต่อจากนั้น เขาก็เริ่มไอแห้ง ๆ มีไข้ เหนื่อย แต่ไม่ปวดหัว ไม่มีปวดตัว ไม่มีน้ำมูก ไม่เจ็บคอ
ต่อมา ชายคนดังกล่าว ได้เข้ารับการรักษาในโรงพยาบาล และเมื่อเอกซเรย์ปอดก็พบว่า ปอดทั้ง 2 ข้างผิดปกติ ระดับออกซิเจนในเลือดต่ำมาก แต่คลื่นหัวใจปกติ เมื่อตรวจหาเชื้อไข้หวัดใหญ่ในช่องจมูกแบบเร็ว ผลออกมาเป็นลบ แพทย์จึงสั่งให้ยารักษาไข้หวัดใหญ่ Tamiflu กินจนครบ 5 วัน ให้ยาปฏิชีวนะ และยาสเตียรอยด์
อย่างไรก็ตาม อาการของผู้ป่วยไม่ดีขึ้น ซ้ำยังต้องให้ออกซิเจนตลอดเวลา จึงทำการเอกซเรย์ปอดอีกครั้ง และพบว่า ปอดด้านซ้ายผิดปกติมากกว่าด้านขวา และปอดข้างขวารั่ว 15%
ต่อมา ชายคนดังกล่าวอาการดีขึ้นเล็กน้อย ปอดรั่วดีขึ้น แต่อาการมาแย่อีกทีในวันที่ 17 ที่นอนในโรงพยาบาล ปอดดูแย่ ต้องใส่เครื่องช่วยหายใจ และแม้จะให้ออกซิเจน 100% แล้ว ระดับออกซิเจนในเลือดยังต่ำมาก หมอจึงส่องกล้องเพื่อดูหลอดลม และเห็นตุ่มเล็ก ๆ ในหลอดลมใหญ่ด้านขวา จึงมีการดูดเสมหะและตัดชิ้นเนื้อส่งตรวจ จึงพบเชื้อราเป็นจำนวนมาก
เมื่อไปตรวจหา PCR ของไข้หวัดใหญ่จากเสมหะในหลอดลม ก็พบว่า ชายคนนี้เป็นไข้หวัดใหญ่สายพันธุ์เอ หมอจึงสั่งให้ยาแก้ไข้หวัดใหญ่ตัวใหม่ และยาฆ่าเชื้อรา และฉีดยาเพิ่มภูมิคุ้มกัน แต่ผู้ป่วยก็ไม่ดีขึ้น สุดท้ายชายคนนี้ก็เสียชีวิต หลังจากรักษาตัวในโรงพยาบาลประมาณ 30 วัน
"สรุป : ผู้ป่วยรายนี้ป่วยเป็นไข้หวัดใหญ่สายพันธุ์ A ทำให้ปอดอักเสบรุนแรง ระบบหายใจล้มเหลว ได้รับการรักษาด้วยยาฆ่าเชื้อไข้หวัดใหญ่ ดีขึ้นชั่วคราว ต่อมาติดเชื้อราซึ่งปนเปื้อนอยู่ในอากาศ คือเชื้อราแอสเปอร์จิลลัส( Aspergillus) แบบลุกลามทำให้เสียชีวิต"












