หนุ่มจีนเกิดมามีนิ้วเท้า 9 นิ้ว ใช้ชีวิตลำบาก อับอายไม่กล้ามีเพื่อน ทนทุกข์ทรมานมา 21 ปี เพราะพ่อ-แม่ไม่ให้ตัด เชื่อพระเจ้าให้มา
เมื่อวันที่ 31 ตุลาคม 2562 เว็บไซต์เดลี่เมล เผยเรื่องราวของ อาจุน (Ajun) หนุ่มวัย 21 ปี จากเมืองหลูเฟิง ทางตอนใต้ของจีน เขาเกิดมาพร้อมความผิดปกติ เท้าข้างหนึ่งมีนิ้วเท้างอกเกินมา 4 นิ้ว รวมเป็น 9 นิ้ว ทำให้ต้องใช้ชีวิตแสนยากลำบาก และคิดว่าตัวเองเป็นคนไม่สมประกอบมาตลอด
ตามรายงานเผยว่า อาจุน ต้องใช้ชีวิตวัยเด็กหลีกเลี่ยงการเข้าสังคม ไม่มีเพื่อน ๆ เพราะอายเกินกว่าที่จะบอกใคร ๆ ว่า เขามีนิ้วเท้าข้างเดียว 9 นิ้ว กลัวว่าพวกเขาจะมองเป็นสัตว์ประหลาด และผ่านเรื่อยมาจนถึงตอนนี้ เขาไม่เคยขอหญิงสาวคนไหนออกเดตด้วย เพราะเหตุผลเดียวกันนี้ เขารู้สึกอัดอั้นกับความผิดปกติของนิ้วเท้ามาก ถึงขนาดเคยโยนรองเท้าแตะทิ้ง เพราะทนรับมันไม่ได้
![หนุ่มนิ้วเท้างอก 9 นิ้ว หนุ่มนิ้วเท้างอก 9 นิ้ว]()
ภาพจาก Shunde Heping Surgical Hospital
ด้านพ่อและแม่ของอาจุน เป็นคนที่เชื่อในเรื่องโชคลางมาก พวกเขาไม่ต้องการให้ลูกชายเอานิ้วเท้าที่เกินมาออก เพราะหมอดูบอกกับพวกเขาว่า มันเป็นโชคดี และพวกเขาเชื่ออย่างหนักแน่นว่า สิ่งที่เกิดขึ้นนี้เป็นของขวัญของพระเจ้า ไม่ว่าอย่างไร พ่อและแม่ก็ไม่ยอมให้เขาตัดมันออก ซ้ำยังบอกว่า หากเขาคิดว่ามันน่าเกลียด ก็ใส่รองเท้าปิดเสียจะได้สิ้นเรื่อง
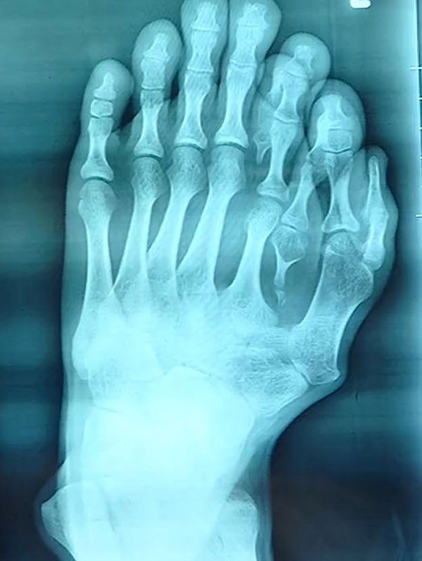
ในที่สุด เมื่ออาจุนเข้าสู่วัยผู้ใหญ่ สามารถตัดสินใจได้ด้วยตัวเอง เขารีบขอความช่วยเหลือทางการแพทย์ ซึ่งเมื่อแพทย์ทำการเอกซเรย์พบว่า ความผิดปกติมีความรุนแรง นิ้วเท้าขนาดเล็กงอกแทรกระหว่างนิ้วเท้าปกติในลักษณะแปลก และเขาไม่มีนิ้วโป้ง กลับแทนที่ด้วยนิ้วสองนิ้วเป็นรูปตัววี
ทีมแพทย์โรงพยาบาล Shunde Heping Surgical พยายามช่วยเหลืออย่างสุดความสามารถ โดยการช่วยตัดนิ้วเท้าส่วนที่เกินทิ้งให้ พร้อมทั้งช่วยศัลยกรรมให้นิ้วเท้าของเขามีรูปร่างปกติครบ 5 นิ้ว เช่นเดียวกับคนทั่ว ๆ ไป อาจุนเหมือนได้มีชีวิตใหม่อีกครั้ง เขารู้สึกขอบคุณและซาบซึ้งใจทีมแพทย์ที่ช่วยเหลือเป็นอย่างยิ่ง ตอนนี้ไม่เพียงแต่ร่างกายเขาจะเป็นปกติ แต่สภาพจิตใจเข้าก็เริ่มเข้าสู่ภาวะปกติ หลังจากทนทุกข์มานานกว่า 2 ทศวรรษ
เมื่อวันที่ 31 ตุลาคม 2562 เว็บไซต์เดลี่เมล เผยเรื่องราวของ อาจุน (Ajun) หนุ่มวัย 21 ปี จากเมืองหลูเฟิง ทางตอนใต้ของจีน เขาเกิดมาพร้อมความผิดปกติ เท้าข้างหนึ่งมีนิ้วเท้างอกเกินมา 4 นิ้ว รวมเป็น 9 นิ้ว ทำให้ต้องใช้ชีวิตแสนยากลำบาก และคิดว่าตัวเองเป็นคนไม่สมประกอบมาตลอด
ตามรายงานเผยว่า อาจุน ต้องใช้ชีวิตวัยเด็กหลีกเลี่ยงการเข้าสังคม ไม่มีเพื่อน ๆ เพราะอายเกินกว่าที่จะบอกใคร ๆ ว่า เขามีนิ้วเท้าข้างเดียว 9 นิ้ว กลัวว่าพวกเขาจะมองเป็นสัตว์ประหลาด และผ่านเรื่อยมาจนถึงตอนนี้ เขาไม่เคยขอหญิงสาวคนไหนออกเดตด้วย เพราะเหตุผลเดียวกันนี้ เขารู้สึกอัดอั้นกับความผิดปกติของนิ้วเท้ามาก ถึงขนาดเคยโยนรองเท้าแตะทิ้ง เพราะทนรับมันไม่ได้

ภาพจาก Shunde Heping Surgical Hospital
ด้านพ่อและแม่ของอาจุน เป็นคนที่เชื่อในเรื่องโชคลางมาก พวกเขาไม่ต้องการให้ลูกชายเอานิ้วเท้าที่เกินมาออก เพราะหมอดูบอกกับพวกเขาว่า มันเป็นโชคดี และพวกเขาเชื่ออย่างหนักแน่นว่า สิ่งที่เกิดขึ้นนี้เป็นของขวัญของพระเจ้า ไม่ว่าอย่างไร พ่อและแม่ก็ไม่ยอมให้เขาตัดมันออก ซ้ำยังบอกว่า หากเขาคิดว่ามันน่าเกลียด ก็ใส่รองเท้าปิดเสียจะได้สิ้นเรื่อง
ในที่สุด เมื่ออาจุนเข้าสู่วัยผู้ใหญ่ สามารถตัดสินใจได้ด้วยตัวเอง เขารีบขอความช่วยเหลือทางการแพทย์ ซึ่งเมื่อแพทย์ทำการเอกซเรย์พบว่า ความผิดปกติมีความรุนแรง นิ้วเท้าขนาดเล็กงอกแทรกระหว่างนิ้วเท้าปกติในลักษณะแปลก และเขาไม่มีนิ้วโป้ง กลับแทนที่ด้วยนิ้วสองนิ้วเป็นรูปตัววี
ทีมแพทย์โรงพยาบาล Shunde Heping Surgical พยายามช่วยเหลืออย่างสุดความสามารถ โดยการช่วยตัดนิ้วเท้าส่วนที่เกินทิ้งให้ พร้อมทั้งช่วยศัลยกรรมให้นิ้วเท้าของเขามีรูปร่างปกติครบ 5 นิ้ว เช่นเดียวกับคนทั่ว ๆ ไป อาจุนเหมือนได้มีชีวิตใหม่อีกครั้ง เขารู้สึกขอบคุณและซาบซึ้งใจทีมแพทย์ที่ช่วยเหลือเป็นอย่างยิ่ง ตอนนี้ไม่เพียงแต่ร่างกายเขาจะเป็นปกติ แต่สภาพจิตใจเข้าก็เริ่มเข้าสู่ภาวะปกติ หลังจากทนทุกข์มานานกว่า 2 ทศวรรษ











