หนุ่มนักกินวัย 55 ปี พบมีพยาธิใบไม้อยู่เต็มในตับ ต้องตัดทิ้งไปถึงครึ่ง เหตุเพราะกินปลาไม่สุก เชื่อจะได้รสชาติและเนื้อสัมผัสที่ดีที่สุด
ในตอนแรก เซี่ยไม่ได้ไปพบแพทย์เพื่อตรวจร่างกายและรักษา เขาคิดว่าอาการที่เกิดขึ้นนั้นเป็นเพราะความเครียด ซึมเศร้า กระทั่งหลังจากนั้น 4 เดือน ในเดือนมิถุนายน เขาตัดสินใจไปพบแพทย์ หลังจากมีอาการหนาวสั่น และมีไข้สูงเป็นเวลา 3 วันติดกัน
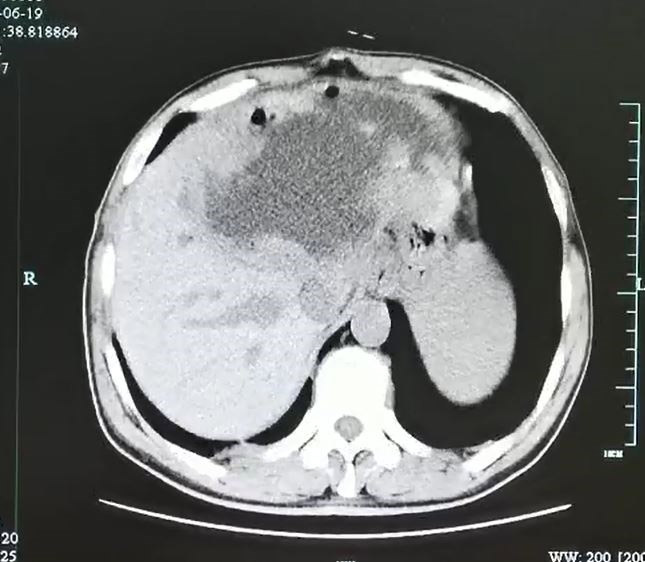
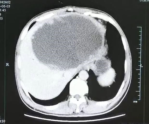
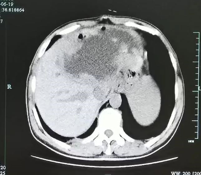
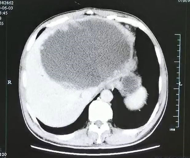
ภายหลังจากแพทย์ตรวจเช็กร่างกายอย่างละเอียด ก็พบว่า ตับของคนไข้มีถุงหนองขนาดใหญ่ ความยาว 7.5 นิ้ว และลึก 4.7 นิ้ว และสุดท้ายก็จำเป็นต้องตัดตับที่เสียหายของคนไข้ทิ้งไปถึงครึ่งหนึ่ง หลังจากพบว่ามีการติดเชื้อ และจากตรวจสอบในขั้นต่อมา ทำให้แพทย์ต่างตะลึงไม่น้อย เมื่อพบว่าภายในรูที่มีไข่จำนวนนับไม่ถ้วน เป็นของพยาธิใบไม้ตับ ซึ่งมีสาเหตุมาจากการกินอาหารที่ไม่ผ่านการปรุงสุก
ต่อมา เซี่ย เปิดเผยว่า เขาเป็นนักกินตัวยง ทริปที่เดินทางไปเสฉวน
เขาได้กินเมนูอาหารมื้อพิเศษ เป็นปลาทะเลหายาก โดยตั้งใจกินแบบดิบ ๆ
เนื่องจากเชื่อว่ามันจะช่วยรักษารสชาติของอาหาร
ช่วยให้ได้ลิ้มรสเนื้อสัมผัสที่ดีที่สุด
อย่างไรก็ดี
นับว่ายังเป็นโชคดีของเซี่ย
ที่เขาตัดสินใจเดินมารักษาจนปลอดภัยแล้วในขณะนี้ ขณะเดียวกัน
แพทย์ของทางโรงพยาบาล เผยว่า พยาธิใบไม้ตับสามารถวางไข่ได้มากถึง 2,000
ฟอง และสามารถแพร่เชื้อไปยังอวัยวะส่วนอื่น ๆ ของมนุษย์ได้เป็นเวลานาน 20-30
ปี
ขอบคุณข้อมูลจาก New York Post
ภาพประกอบไม่เกี่ยวข้องกับข้อมูล
วันที่ 22 กรกฎาคม 2563 เว็บไซต์นิวยอร์กโพสต์ รายงานเรื่องราวของเคสผู้ป่วยชายแซ่เซี่ย ชาวจีน วัย 55 ปี จากเมืองหางโจว มณฑลเจ้อเจียง ซึ่งถูกเปิดเผยโดยโรงพยาบาล Hangzhou First People's Hospital ระบุว่า เมื่อเดือนกุมภาพันธ์ที่ผ่านมา เขาเกิดอาการเมื่อยล้าอ่อนเพลีย เบื่ออาหาร และปวดท้องเล็กน้อย ภายหลังจากกลับมาจากเยี่ยมญาติที่มณฑลเสฉวนในตอนแรก เซี่ยไม่ได้ไปพบแพทย์เพื่อตรวจร่างกายและรักษา เขาคิดว่าอาการที่เกิดขึ้นนั้นเป็นเพราะความเครียด ซึมเศร้า กระทั่งหลังจากนั้น 4 เดือน ในเดือนมิถุนายน เขาตัดสินใจไปพบแพทย์ หลังจากมีอาการหนาวสั่น และมีไข้สูงเป็นเวลา 3 วันติดกัน
ขอบคุณข้อมูลจาก New York Post






