อุทาหรณ์พ่อแม่... เด็ก 2 ขวบเศษ ถูกปล่อยเล่นลำพัง เผลอแป๊บเดียว เด็กคว้าเหรียญใส่ปาก จนเหรียญติดคอ แต่ผู้ปกครองไม่รู้ ลูกเป็นอะไร
เมื่อวันที่ 3 กันยายน 2563 นพ.อารักษ์ วงศ์วรชาติ ผู้อำนวยการโรงพยาบาลสิชล จังหวัดนครศรีธรรมราช โพสต์เรื่องราวอุทาหรณ์เตือนใจพ่อแม่ผู้ปกครอง ผ่านทางเฟซบุ๊ก Arak Wongworachat ว่าเกิดเหตุเด็กอายุ 2 ขวบเศษ กลืนเหรียญลงคอ ขณะถูกปล่อยให้เล่นในบ้านคนเดียว หลังจากกินนมเสร็จ
ผู้ใหญ่ไม่รู้ว่าเกิดอะไรขึ้น หันมาดูอีกที ก็พบว่าเด็กสำรอกนมออกมาหมด และมีอาการน้ำลายฟูมปาก
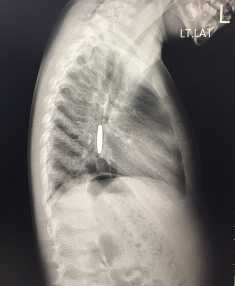
แพทย์เวรห้องฉุกเฉินสันนิษฐานว่าเด็กอาจกลืนสิ่งแปลกปลอมลงคอ จึงส่งตัวไปเอกซเรย์เป็นการด่วน รวมทั้งสั่งงดน้ำและอาหารแล้วให้น้ำเกลือ ซึ่งในระหว่างนั้น เด็กร้องไห้งอแงอยู่ตลอดเวลา ไม่ให้ความร่วมมือในการตรวจ จนกระทั่งผลเอกซเรย์ปรากฏชัดว่ามีเหรียญอยู่ในหลอดอาหารส่วนปลายของเด็ก
ด้วยความที่เวลาผ่านไปมากกว่า 1 ชั่วโมง แต่เหรียญยังไม่เคลื่อนลงไปสู่กระเพราะอาหาร แพทย์จึงสันนิษฐานว่าเหรียญน่าจะติดค้างอยู่ในตำแหน่งดังกล่าว หากปล่อยทิ้งไว้ เหรียญจะกดหลอดอาหารจนขาดเลือด อาจเป็นแผลทะลุได้ ซึ่งการรักษายุ่งยากซับซ้อน อันตรายถึงชีวิต
หากเหรียญหลุดลงไปในกระเพาะทางเดินอาหาร ก็เสี่ยงที่จะทำให้ลำไส้อุดตัน จนต้องผ่าตัดเปิดช่องท้อง ซึ่งเสี่ยงอันตรายเช่นกัน
![เหรียญติดคอเด็ก เหรียญติดคอเด็ก]()
ทีมแพทย์ผู้เชี่ยวชาญลงความเห็นว่าควรรักษาด้วยวิธีการส่องกล้องเพื่อคืบเอาเหรียญออก
โดยต้องใช้กล้องขนาดเด็กเล็ก และต้องใส่ท่อดมยาสลบ
เพื่อป้องกันไม่ให้สำลักเหรียญเข้าไปในปอด
ในที่สุด แพทย์สามารถนำเหรียญออกมาได้สำเร็จ ส่วนหลอดอาหารของเด็กมีแผลเล็กน้อย แต่ไม่ถึงขั้นทะลุ ต้องนอนพักรักษาตัวและสังเกตอาการที่โรงพยาบาลเพียง 2 วัน ก็สามารถกลับบ้านได้
ทั้งนี้ พ่อแม่ผู้ปกครองที่มีเด็กเล็กอยู่ในวัยกำลังซน
ต้องคอยเฝ้าดูแลอย่าให้คลาดสายตาแม้แต่ชั่วครูเดียว
เพราะอาจเกิดอันตรายขึ้นได้ทุกเมื่อ และควรเก็บข้าวของ วัตถุขนาดเล็กต่าง ๆ
ให้พ้นมือเด็ก เพื่อไม่ให้เด็กหยิบใส่ปากได้
เพื่อป้องกันไม่ให้มีเคสแบบนี้เกิดขึ้นอีก
ขอบคุณข้อมูลจาก เฟซบุ๊ก Arak Wongworachat
ผู้ใหญ่ไม่รู้ว่าเกิดอะไรขึ้น หันมาดูอีกที ก็พบว่าเด็กสำรอกนมออกมาหมด และมีอาการน้ำลายฟูมปาก
แพทย์เวรห้องฉุกเฉินสันนิษฐานว่าเด็กอาจกลืนสิ่งแปลกปลอมลงคอ จึงส่งตัวไปเอกซเรย์เป็นการด่วน รวมทั้งสั่งงดน้ำและอาหารแล้วให้น้ำเกลือ ซึ่งในระหว่างนั้น เด็กร้องไห้งอแงอยู่ตลอดเวลา ไม่ให้ความร่วมมือในการตรวจ จนกระทั่งผลเอกซเรย์ปรากฏชัดว่ามีเหรียญอยู่ในหลอดอาหารส่วนปลายของเด็ก
หากเหรียญหลุดลงไปในกระเพาะทางเดินอาหาร ก็เสี่ยงที่จะทำให้ลำไส้อุดตัน จนต้องผ่าตัดเปิดช่องท้อง ซึ่งเสี่ยงอันตรายเช่นกัน

ในที่สุด แพทย์สามารถนำเหรียญออกมาได้สำเร็จ ส่วนหลอดอาหารของเด็กมีแผลเล็กน้อย แต่ไม่ถึงขั้นทะลุ ต้องนอนพักรักษาตัวและสังเกตอาการที่โรงพยาบาลเพียง 2 วัน ก็สามารถกลับบ้านได้







