หมอเตือนภัย คนไข้ตัดหญ้าไม่สวมรองเท้าบูตหุ้มข้อ แท่งเหล็กกระเด็นแทงที่เท้า ต้องรีบพาเข้าห้องผ่าตัดด่วน พบกระดูกแตก เอ็นฉีกขาด ต้องให้ยาหวั่นลามติดเชื้อในกระดูก
วันที่ 12 พฤศจิกายน 2563 นพ.อารักษ์ วงศ์วรชาติ ผู้อำนวยการโรงพยาบาลสิชล จ.นครศรีธรรมราช ได้โพสต์ภาพขาคนไข้ที่มีแท่งเหล็กเสียบอยู่ โดยเตือนภัยว่า "หวาดเสียว อันตราย เคสผู้ป่วยชายตัดหญ้าในสวนด้วยเครื่องตัดแบบสะพายไหล่ ไม่ได้สวมรองเท้าบูตหุ้มข้อ ในขณะตัดหญ้าเพลิน ๆ มองเห็นใบมีดกระทบโลหะจนเกิดประกายไฟ พอเหวี่ยงมีดอีกครั้ง รู้สึกเสียวที่ข้อเท้าขวาขึ้นมาทันที แต่ยังคงตัดหญ้าไปเรื่อย ๆ จนทนปวดไม่ไหว ต้องหยุดพัก มองไปที่เท้าตนเอง แทบจะเป็นลม เห็นแท่งเหล็กกลมที่ใช้ก่อสร้างแทงจนฝังลึกที่ข้อเท้าขวาด้านใน
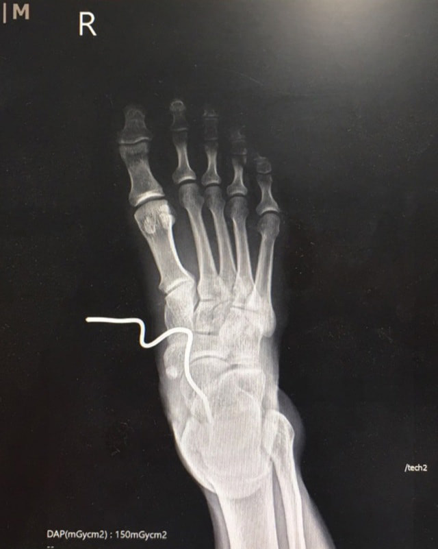
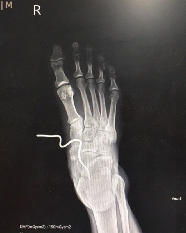
เริ่มเจ็บปวดมากขึ้น ลองจับจะดึงออกด้วยตนเอง ก็ไม่สามารถทนความเจ็บปวดได้ ขยับข้อเท้าแทบไม่ได้ จึงรีบให้ญาติขับรถมาส่งโรงพยาบาลสิชล เมื่อเข้าห้องฉุกเฉินทีมได้เข้ามาดูอาการทันที ให้ยาระงับปวด ส่งเอกซเรย์จะพบว่าเหล็กแทงลึกเข้าไปกว่า 2 นิ้ว จนถึงกระดูก รีบปรึกษาแพทย์ผู้เชี่ยวชาญด้านกระดูก เตรียมผู้ป่วยเข้าห้องผ่าตัด งดน้ำ อาหาร ให้น้ำเกลือ ฉีดยาป้องกันบาดทะยัก ยาต้านเชื้อ ป้องกันการติดเชื้อตามมาภายหลัง เพราะเป็นบาดแผลปนเปื้อนสกปรกจากเหล็กที่ฝังดิน มีสนิมเกรอะ
![เหล็กเสียบขาคนตัดหญ้า เหล็กเสียบขาคนตัดหญ้า]()
การผ่าตัดจะดึงเหล็กออกแล้วปิดแผลไม่ได้
ต้องเปิดปากแผลให้กว้าง ล้างทำความสะอาด เพื่อเอาเศษผงดิน สนิมเหล็กออกให้หมด พบว่ากระดูกแตกด้วย เอ็นฉีกขาด
คงต้องให้ยาต้านเชื้อเข้าเส้นอีกหลายวัน
เพื่อป้องกันไม่ให้ติดเชื้อในกระดูก
ไม่เช่นนั้นจะกลายเป็นภาวะแทรกซ้อนที่หนักเข้าไปอีก ไม่ใช่เรื่องเล็ก ๆ
ถ้าลองหลับตานึกภาพ ถ้าหากเหล็กกระเด็นขึ้นในระดับที่สูงกว่านี้ เข้าท้อง
หน้าอก ใบหน้า จะยิ่งสาหัส ระมัดระวังกันด้วยนะครับ เตือนกันบ่อย ๆ"
![เหล็กเสียบขาคนตัดหญ้า เหล็กเสียบขาคนตัดหญ้า]()
เริ่มเจ็บปวดมากขึ้น ลองจับจะดึงออกด้วยตนเอง ก็ไม่สามารถทนความเจ็บปวดได้ ขยับข้อเท้าแทบไม่ได้ จึงรีบให้ญาติขับรถมาส่งโรงพยาบาลสิชล เมื่อเข้าห้องฉุกเฉินทีมได้เข้ามาดูอาการทันที ให้ยาระงับปวด ส่งเอกซเรย์จะพบว่าเหล็กแทงลึกเข้าไปกว่า 2 นิ้ว จนถึงกระดูก รีบปรึกษาแพทย์ผู้เชี่ยวชาญด้านกระดูก เตรียมผู้ป่วยเข้าห้องผ่าตัด งดน้ำ อาหาร ให้น้ำเกลือ ฉีดยาป้องกันบาดทะยัก ยาต้านเชื้อ ป้องกันการติดเชื้อตามมาภายหลัง เพราะเป็นบาดแผลปนเปื้อนสกปรกจากเหล็กที่ฝังดิน มีสนิมเกรอะ

ภาพจาก เฟซบุ๊ก Arak Wongworachat

ภาพจาก เฟซบุ๊ก Arak Wongworachat








