หมอมนูญเผยเคสอึ้ง คนไข้ป่วยเป็นโรคมะเร็งปอด ทั้งที่ไม่สูบบุหรี่ แต่จุดธูป 20 ดอก ในที่ทำงานทุกวันพฤหัสต่อเนื่อง 6 ปี เคราะห์ดีรักษาหายขาดเลิกจุดธูปแล้ว
วันที่ 15 กันยายน 2565 นายแพทย์มนูญ ลีเชวงวงศ์ ผู้เชี่ยวชาญด้านระบบทางเดินหายใจ โรงพยาบาลวิชัยยุทธ ได้มีการโพสต์เผยเคสคนไข้ป่วยมะเร็งปอด โดยระบุว่า มะเร็งปอดเป็นมะเร็งที่พบบ่อย ถ้าพบเร็วในระยะแรก ระยะ 1-2 สามารถรักษาให้หายขาดได้ด้วยการผ่าตัด
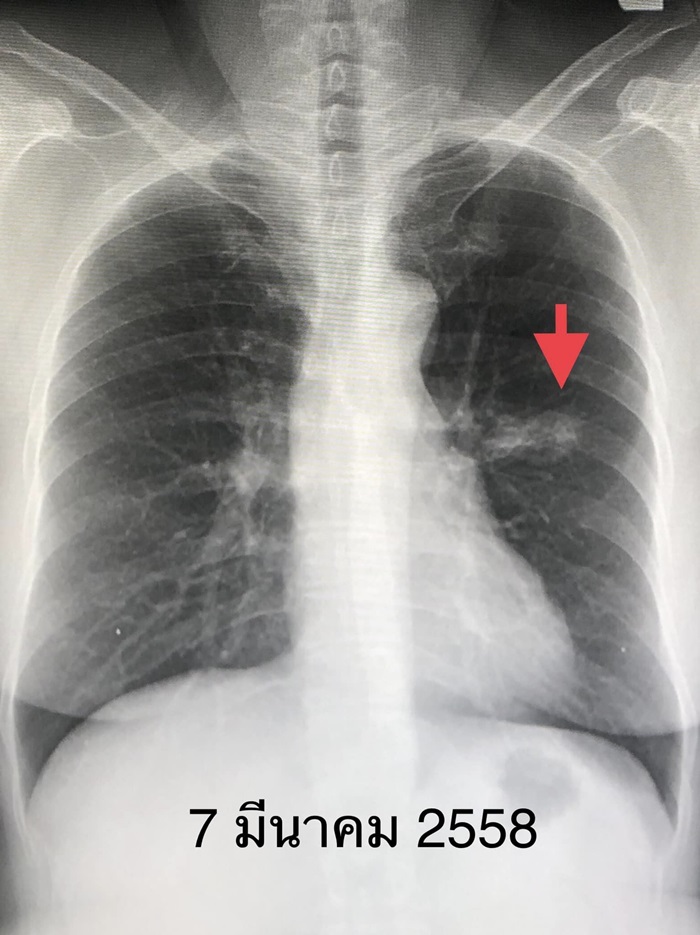
ผู้ป่วยหญิงอายุ 65 ปี เมื่อ 7 ปีก่อน ตรวจร่างกายประจำปี และเอกซเรย์ปอดทุกปี พบก้อนเล็ก ๆ ที่ปอดข้างซ้ายด้านบน ผ่านไป 1 ปี ก้อนนี้โตขึ้น (ดูรูป) จึงมาปรึกษา ผู้ป่วยไม่มีอาการ ไม่ไอ ไม่มีไข้ ไม่เหนื่อย ไม่เจ็บหน้าอก น้ำหนักไม่ลด เป็นโรคความดันโลหิตสูง ไม่สูบบุหรี่ แต่จุดธูป 20 ดอกในที่ทำงานทุกวันพฤหัสต่อเนื่อง 6 ปี ทำคอมพิวเตอร์สแกนปอดพบก้อนที่ปอดข้างซ้ายด้านบน ค่ามะเร็งในเลือดปกติ ทำ PET scan สงสัยเนื้องอกเป็นมะเร็งปอด ไม่กระจายไปอวัยวะอื่น ส่องกล้องเข้าไปดูในหลอดลม ไม่พบอะไรผิดปกติ
ได้ทำการผ่าตัดปอดโดยวิธีส่องกล้องเมื่อวันที่ 7 มีนาคม 2558 ตัดปอดกลีบบนข้างซ้ายออก และตัดชิ้นเนื้อจากต่อมน้ำเหลืองที่ขั้วปอด และรอบ ๆ เนื้องอก ผลพยาธิวิทยาเป็นมะเร็งปอดขนาด 4 เซนติเมตร ชนิด adenocarcinoma ยังไม่กระจายเข้าต่อมน้ำเหลือง
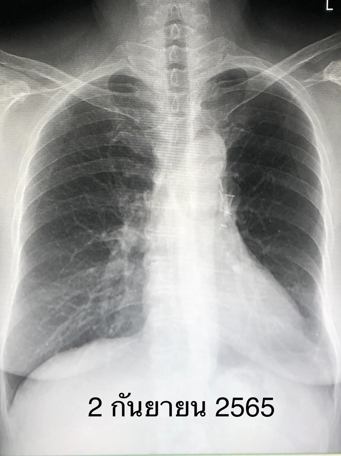
สรุปผู้ป่วยรายนี้ไม่มีอาการ ไม่เคยสูบบุหรี่ แต่หายใจควันธูปต่อเนื่อง เป็นมะเร็งปอดระยะ 2A (มะเร็งปอดระยะ 2A คือมะเร็งขนาด 4-5 เซนติเมตร และไม่แพร่กระจายเข้าต่อมน้ำเหลือง หลังผ่าตัดมีโอกาสรอดชีวิตที่ 5 ปี ร้อยละ 60) ติดตามผู้ป่วย 7 ปี หลังผ่าตัด ไม่พบมะเร็งปอดกลับมาใหม่ ถือว่าหายขาดจากโรคนี้ (ดูรูป) ผู้ป่วยได้เลิกจุดธูปหลังผ่าตัดปอด









