หมอมนูญเผยเคส สาวปวดหลัง 7 เดือนจนก้มไม่ได้ แต่พอไปเช็กค่าเลือดไม่เจออะไร เอกซเรย์ปกติทุกอย่าง จนกระทั่งไปทำ MRI ใครปวดหลังนาน ๆ ดูไว้ เรื่องนี้ไม่ใช่เรื่องเล็ก
หากใครที่มีอาการปวดหลัง อย่างแรกที่นึกถึงนั้นน่าจะคิดว่าตัวเองเป็นออฟฟิศซินโดรม อาจจะมีการปรับเปลี่ยนเก้าอี้ โต๊ะทำงาน ท่านั่งและอื่น ๆ หรือบางครั้งใช้วิธีง่าย ๆ ด้วยการไปนวดแผนไทยคลายเส้น แต่ในความเป็นจริง เรื่องเล็กอย่างเรื่องปวดหลังที่กวนใจ อาจจะกลายเป็นเรื่องใหญ่กว่าที่คิด เช่นกรณีนี้
โดยล่าสุด 29 มีนาคม 2566 เฟซบุ๊ก หมอมนูญ ลีเชวงวงศ์ FC ได้ออกมาเผยถึงเคสหนึ่งที่น่าสนใจ เมื่อสาววัย 29 ปี ปวดหลังนาน 7 เดือนจนก้มไม่ได้ เดินลำบาก แต่เธอไม่มีโรคประจำตัว น้ำหนักไม่ลด ไม่เบื่ออาหาร ตรวจร่างกายแล้วปกติ เจาะเลือด เอกซเรย์ปอดและกระดูกสันหลัง ปกติทุกอย่าง
โดยล่าสุด 29 มีนาคม 2566 เฟซบุ๊ก หมอมนูญ ลีเชวงวงศ์ FC ได้ออกมาเผยถึงเคสหนึ่งที่น่าสนใจ เมื่อสาววัย 29 ปี ปวดหลังนาน 7 เดือนจนก้มไม่ได้ เดินลำบาก แต่เธอไม่มีโรคประจำตัว น้ำหนักไม่ลด ไม่เบื่ออาหาร ตรวจร่างกายแล้วปกติ เจาะเลือด เอกซเรย์ปอดและกระดูกสันหลัง ปกติทุกอย่าง

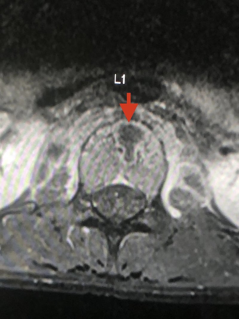
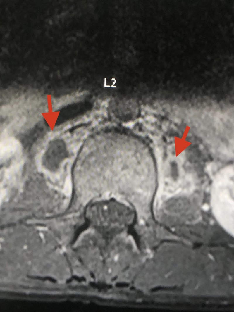
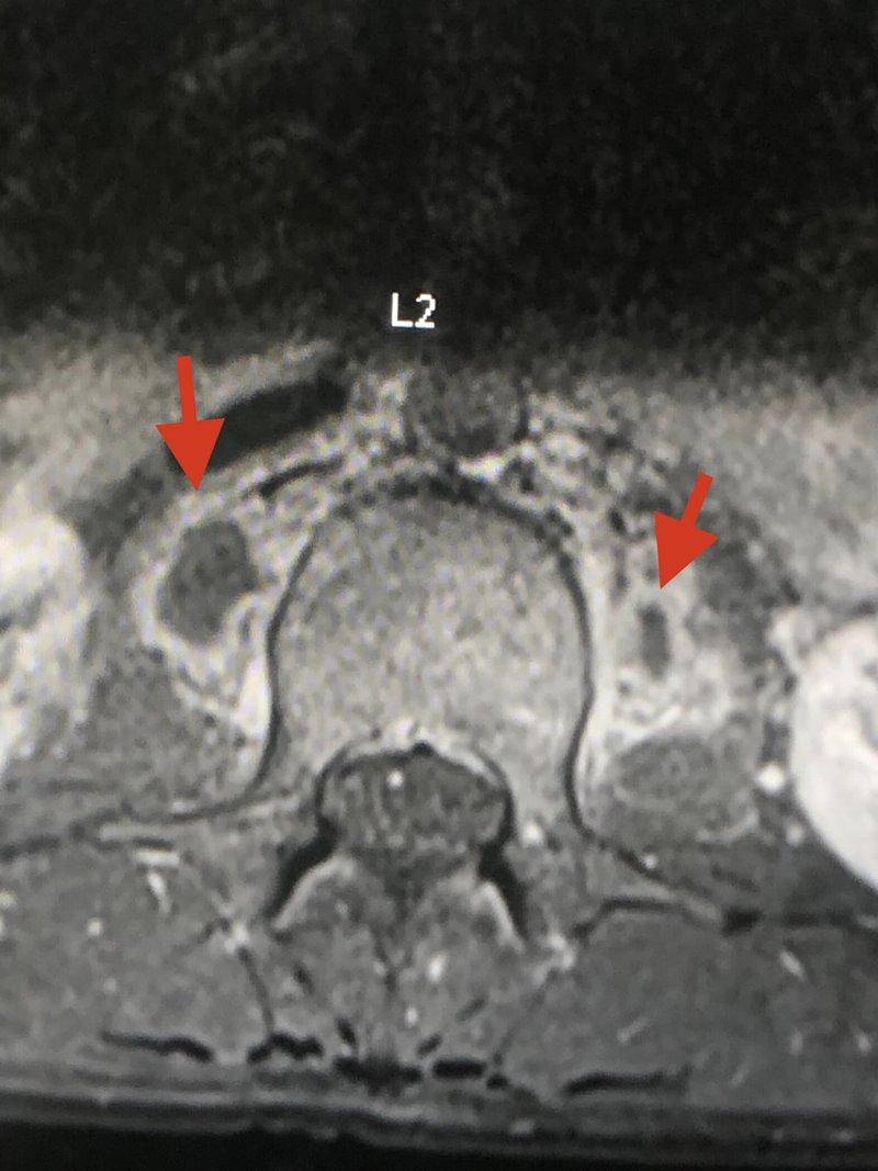
อย่างไรก็ตาม เมื่อลองทำ MRI กระดูกสันหลังส่วนเอว กลับพบความผิดปกติ และมีความเป็นไปได้ที่เธอจะเป็นวัณโรคของกระดูกสันหลังส่วนเอวชิ้นที่ 1 และสงสัยว่าจะมีการอักเสบรอบ ๆ เนื้อเยื่อกระดูกสันหลังส่วนเอวชิ้นที่ 1 และ 2 ร่วมด้วย จึงทำการเจาะเนื้อเยื่อรอบกระดูกสันหลัง ส่งตรวจย้อมเพื่อหาเชื้อวัณโรค และให้ผลลบ จากนั้นก็รอเพาะเชื้อวัณโรค ส่งตรวจพยาธิวิทยา พบว่าเนื้อเยื่อตายและไม่พบมะเร็ง และสรุปได้ว่า เธอเป็นวัณโรคที่กระดูกสันหลัง
อย่างไรก็ตาม ทางหมอก็เริ่มให้ยาวัณโรค 4 ชนิดพร้อมกัน และให้ยารักษาวัณโรคกินต่อเนื่อง 1 ปี ซึ่งวัณโรคเกิดจากเชื้อแบคทีเรีย มัยโคแบคทีเรียม ทูเบอร์คูโลซิส (Mycobaclerium tuberculosis) ติดต่อกันทางลมหายใจ ร้อยละ 80 เกิดที่ปอด แต่ผู้ป่วยรายนี้พบที่กระดูกสันหลัง และสามารถพบได้ทุกส่วนของร่างกาย ซึ่งคนไทยป่วยเป็นวัณโรคปีละ 1 แสนคน เสียชีวิตปีละ 10,000 คน
อย่างไรก็ตาม ทางหมอก็เริ่มให้ยาวัณโรค 4 ชนิดพร้อมกัน และให้ยารักษาวัณโรคกินต่อเนื่อง 1 ปี ซึ่งวัณโรคเกิดจากเชื้อแบคทีเรีย มัยโคแบคทีเรียม ทูเบอร์คูโลซิส (Mycobaclerium tuberculosis) ติดต่อกันทางลมหายใจ ร้อยละ 80 เกิดที่ปอด แต่ผู้ป่วยรายนี้พบที่กระดูกสันหลัง และสามารถพบได้ทุกส่วนของร่างกาย ซึ่งคนไทยป่วยเป็นวัณโรคปีละ 1 แสนคน เสียชีวิตปีละ 10,000 คน

ภาพจาก เฟซบุ๊ก หมอมนูญ ลีเชวงวงศ์ FC







