หนุ่มโพสต์ขอความเป็นธรรม ผู้สมัคร ส.ส.พรรคดัง ย่านปทุมธานี ทำร้ายจนกะโหลกยุบ ผ่านมา 17 ปี ไม่เคยเยียวยา คดีไม่คืบ จนกระทั่งหมดอายุความ ต้องก้มหน้ารับชะตากรรม

ระหว่างนั้นตนรู้สึกเหมือนตกนรกทั้งเป็น เคยคิดที่จะฆ่าตัวตายหลายครั้ง เพราะรู้สึกกลายเป็นคนไร้ประโยชน์ ซึ่งคู่กรณีไม่เคยติดต่อขอโทษ หรือรับผิดชอบ พ่อของตนจึงพยายามสู้คดี แต่สุดท้ายเรื่องก็เงียบหาย ไม่ได้รับคำตอบ นัดไกล่เกลี่ยก็ไม่ได้ข้อสรุป จนฝ่ายตนรู้สึกท้อจากระยะเวลาที่ยาวนาน และต้องใช้เงินจำนวนมากในการต่อสู้คดี ทำให้สถานการณ์ที่บ้านมีความตึงเครียด ต้องอดทน รู้สึกถึงความไม่ยุติธรรม แต่กลับทำอะไรไม่ได้
วันนี้
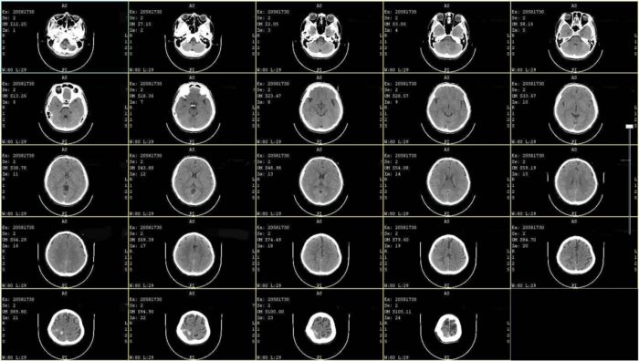
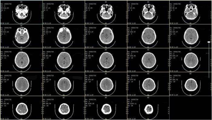
ตนต้องต้องใช้ชีวิตไปพร้อมกับกะโหลกที่ยุบตัว
แต่ผู้ต้องหาที่ต้องคดีพยายามฆ่า กลับได้ใช้ชีวิตอย่างปกติ
ทำงานเป็นนักการเมือง และกำลังลงสมัคร ส.ส. พรรคดัง ในจังหวัดปทุมธานี
ไม่รู้ว่าทำไมเขาถึงยังทำงานในราชการได้ ในเมื่อมีคดีพยายามฆ่าผมอยู่แบบนี้
จึงอยากให้คนทำรับผิดชอบการกระทำบ้าง ไม่ใช่เงียบหาย
และใช้ชีวิตเหมือนไม่มีอะไรเกิดขึ้นอยู่ในสังคม


หลังจากเรื่องราวดังกล่าวถูกแชร์ออกไป
ชาวเน็ตก็เข้ามาคอมเมนต์ให้กำลังใจ และแชร์โพสต์นี้ออกไปมากกว่า 8
พันครั้ง
พร้อมสงสัยว่าเพราะเหตุใดเรื่องดังกล่าวถึงไม่สามารถเอาผิดกับคู่กรณีได้
จนเรื่องดังกล่าวผ่านมานานกว่า 17 ปี
รวมถึงเรียกร้องให้สืบหาข้อเท็จจริงที่เกิดขึ้นเพื่อความเป็นธรรมกับทุกฝ่าย







