หมอมนูญ เผยเคสหญิงป่วยมะเร็งปอดแม้ไม่สูบบุหรี่ พบลุกลามจากการกลายพันธุ์ของยีน จับตารักษาด้วย Mobocertinib ยาชนิดกินตัวแรกของโลก กำลังรอขึ้นทะเบียนในไทย
วันที่ 29 มิถุนายน 2566 นพ.มนูญ ลีเชวงวงศ์ แพทย์ผู้เชี่ยวชาญทางด้านโรคระบบทางเดินหายใจและผู้ป่วยอาการหนัก เปิดเผยผ่านเฟซบุ๊ก หมอมนูญ ลีเชวงวงศ์ FC เผยเคสผู้ป่วยมะเร็งปอด ทั้งที่แข็งแรงดี ไม่มีอาการผิดปกติ ไม่สูบบุหรี่ ไม่มีโรคประจำตัว เนื่องจากกลายพันธุ์ของยีน รักษาด้วยการคีโมจนไม่ตอบสนอง ก่อนเข้าโครงการใช้ยาโรคมะเร็งตัวใหม่ Mobocertinib (Exkivity) ตั้งแต่เมษายน 2566 เบื้องต้นผู้ป่วยตอบสนองต่อยาตัวใหม่นี้ดีมาก และอยู่ในขั้นตอนติดตามอาการต่อไป โดยมีเนื้อหาดังต่อไปนี้
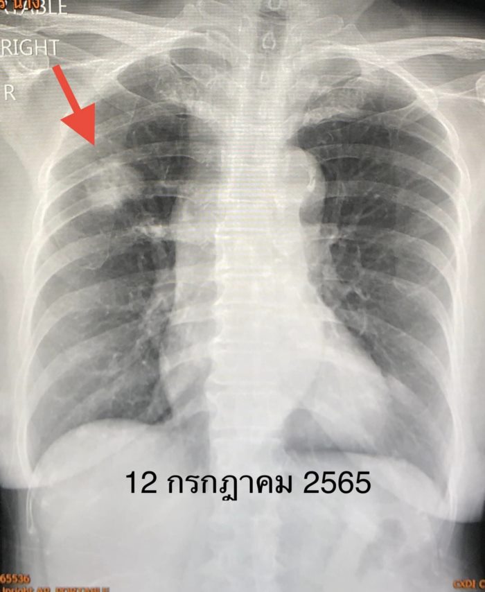
ผู้ป่วยหญิงไทย อายุ 69 ปี แข็งแรงดี ไม่มีอาการผิดปกติ ไม่สูบบุหรี่ ไม่มีโรคประจำตัว เอกซเรย์ปอดประจำปี พบก้อนในปอดข้างขวาด้านบนขนาด 2.2 × 2.7 × 2.5 เซนติเมตร เมื่อเอกซเรย์ด้วยคอมพิวเตอร์ พบต่อมน้ำเหลืองในช่องตรงกลางในทรวงอกโต ทำ PET scan ยืนยันก้อนในปอดและต่อมน้ำเหลืองบริเวณช่องตรงกลางในทรวงอก เจาะก้อนในปอดข้างขวา พบมะเร็งปอดชนิด adenocarcinoma ส่งตรวจการกลายพันธุ์ของยีนพบ EGFR exon 20 insertion mutation
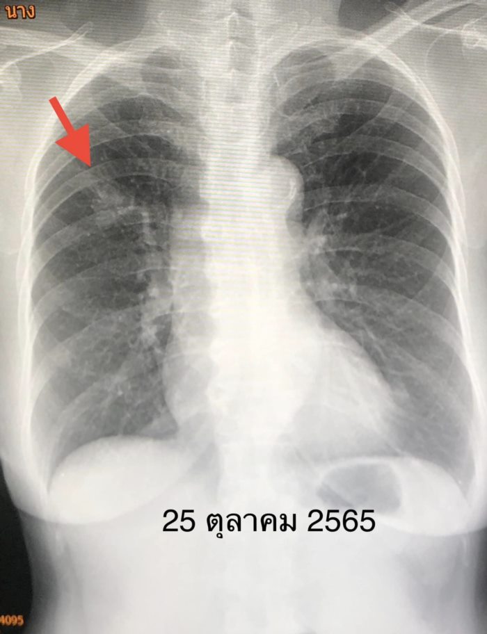
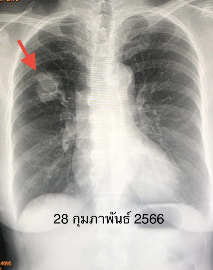
สรุปว่าป่วยเป็นมะเร็งปอดระยะแพร่กระจายแล้ว ผ่าตัดไม่ได้ เนื่องจากเวลานั้นยังไม่มียามุ่งเป้าที่ใช้กับยีนกลายพันธุ์ชนิดนี้ จึงได้เริ่มยาเคมีบำบัดตั้งแต่ต้นเดือนสิงหาคม 2565 โดยให้ยาเคมีบำบัด ALIMTA และ Carboplatin ทั้งหมด 8 ครั้ง ก้อนในปอด เดือนตุลาคม 2565 มีขนาดเล็กลง ต่อมาเดือนมกราคม 2566 ก้อนในปอดกลับโตขึ้นอีก เนื่องจากยาเคมีบำบัดใช้ไม่ได้ผลแล้ว
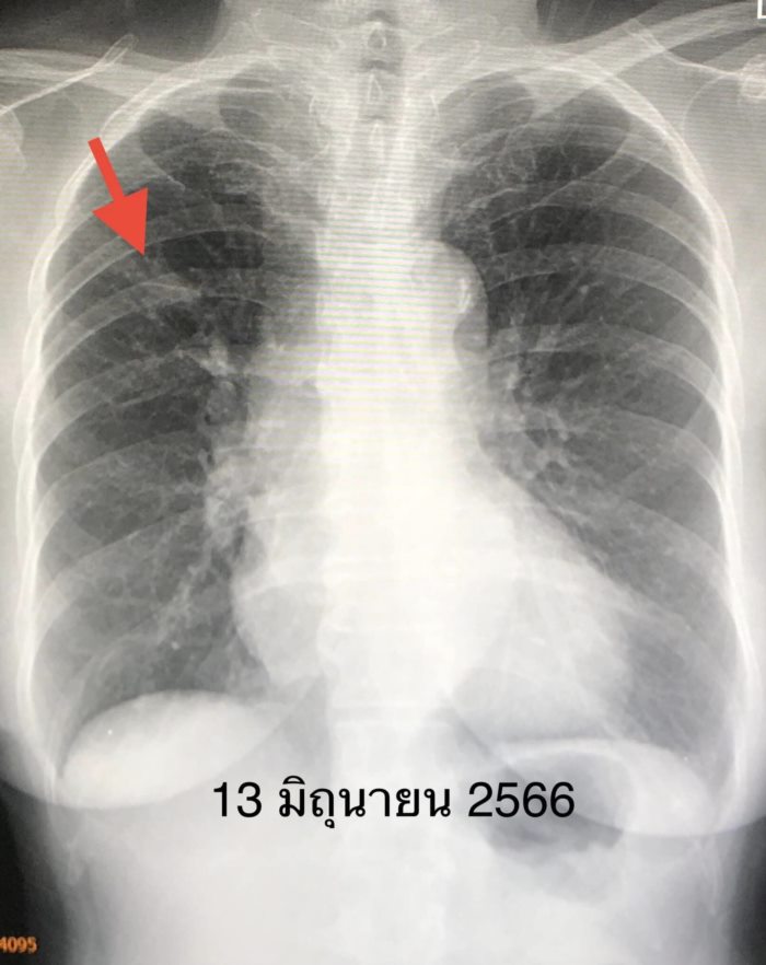
แพทย์จึงให้คนไข้เข้าโครงการช่วยเหลือให้เข้าถึงยารักษาโรคมะเร็งตัวใหม่ Mobocertinib (Exkivity) ที่โรงพยาบาลรามาธิบดี ให้ขนาด 40 มิลลิกรัม กิน 4 เม็ดวันละครั้งทุกวัน เริ่มเดือนเมษายน 2566 ระยะแรกมีผลข้างเคียงเล็กน้อย มีผื่นและแผลในปาก หลังปรับยาเหลือ 3 เม็ดวันละครั้ง ผลข้างเคียงลดลง เดือน มิถุนายน 2566 หลังกินยา 2 เดือน ผู้ป่วยตอบสนองต่อยาตัวใหม่นี้ดีมาก เอกซเรย์พบก้อนในปอดขนาดเล็กลงมาก ต้องติดตามต่อไปว่า ยาตัวใหม่นี้จะใช้ได้ผลนานแค่ไหน








