นางแบบสาวจ่าย 5.7 ล้าน ผ่าตัดยืดขาเพิ่มความยาว 14 เซนติเมตร เอาใจสามี หลังบอกชอบผู้หญิงสูง ตอนนี้ได้แต่นึกเสียใจ

ภาพจาก Instagram theresiafischer
วันที่ 31 สิงหาคม 2566 เว็บไซต์เดลี่สตาร์ เผยเรื่องราวของ เทเรเซีย ฟิชเชอร์ นางแบบและอินฟลูเอนเซอร์สาววัย 31 ปี จากประเทศเยอรมนี เรื่องราวของเธอสร้างความตกตะลึงและกลายเป็นประเด็นที่ถูกพูดถึงบนสื่อออนไลน์ ภายหลังจากเธอออกมาเปิดใจพูดถึงการตัดสินใจเปลี่ยนแปลงตัวเองครั้งใหญ่ในชีวิต เพียงเพราะเชื่อคำพูดของ (อดีต) สามีที่บอกว่า "ชอบผู้หญิงสูง" จนทำให้ร่างกายของเธอเปลี่ยนไปตลอดกาล
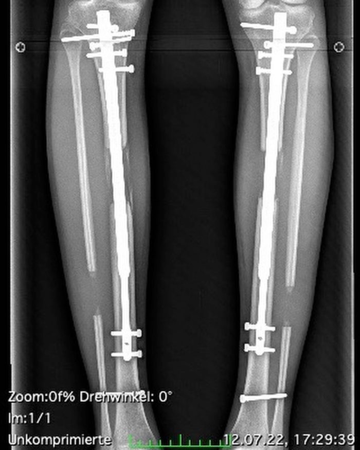
ย้อนกลับไปเมื่อตอนที่เทเรเซีย อายุ 24 ปี เธอเป็นนางแบบสาวที่รู้จักจากรายการเรียลลิตี้ German Celebrity Big Brother ในขณะนั้นสูง 5 ฟุต 6 นิ้ว หรือประมาณ 167 เซนติเมตร ก่อนที่เธอจะตัดสินใจจ่ายเงินจำนวนมากกว่า 130,000 ปอนด์ (ราว 5.7 ล้านบาท) เพื่อเข้ารับการผ่าตัดที่ไม่ปกติ นั่นคือการยืดขาต่อความยาว เพื่อให้ส่วนสูงของเธอเพิ่มขึ้นมา 5.5 นิ้ว หรือประมาณ 14 เซนติเมตร
ภาพจาก Instagram theresiafischer
เทเรเซีย ให้สัมภาษณ์กับรายการวิทยุท้องถิ่น เผยว่า อดีตสามีเป็นเหตุผลของการตัดสินใจครั้งนั้น เขาบอกเธอว่า เขาชอบผู้หญิงรูปร่างสูงใหญ่ แล้วเขาจะชอบเธอมาก หากเธอเพิ่มความสูงมากขึ้นได้อีก 14 เซนติเมตร เขาพูดเหมือนสะกดจิตเธออยู่ทุกวันว่า เธออยู่ไม่ได้หรอกหากไม่มีเขา เธอจึงพยายามทำทุกทางเพื่อให้เขาพอใจ
ภาพจาก Instagram theresiafischer
"ฉันรู้สึกละอายใจที่ยอมให้สิ่งนี้เกิดขึ้น ฉันรู้สึกเสียใจที่ตัดสินใจไปทำการผ่าตัดที่ไม่ควร" เทเรเซีย กล่าว
นอกจากนี้ เธอยังเล่าถึงความเจ็บปวดของการผ่าตัด ว่า กระดูกหน้าแข้งของเธอหักหมด และกล้ามเนื้อน่องก็แตก จากการสอดแท่งยืดเข้าไป และทุกวันเธอจะต้องคอยยืดขาส่วนล่าง จับเข่าด้วยมือข้างหนึ่ง ส่วนมืออีกข้างจับเท้าดึงเข้าด้านในจนกว่าจะได้ยินเสียงดังกริ๊ก แต่ละวันเธอต้องทำทั้งสองข้าง ในแต่ละข้างจะต้องได้ยินทั้งหมด 10 กริ๊ก เท่ากับความสูงที่จะได้เพิ่มขึ้นมา 0.5 มิลลิเมตร
ปัจจุบันการผ่าตัดก็ยังคงทิ้งรอยฟกช้ำตามหน้าแข้งของเธอ อย่างไรก็ดี เธอก็เริ่มปรับตัวได้มากขึ้น ขาของเธอมีความยืดหยุ่นและสามารถเคลื่อนไหวได้อย่างอิสระมากขึ้น แต่สิ่งที่เธอรู้สึกยังเจ็บปวดไม่น้อยคือด้านจิตใจ จากข้อความคอมเมนต์เชิงลบบนโลกออนไลน์ที่ต้องเผชิญอย่างหลีกเลี่ยงไม่ได้

ภาพจาก Instagram theresiafischer

ภาพจาก Instagram theresiafischer
ภาพจาก Instagram theresiafischer
ติดตามอ่าน ข่าวต่างประเทศ ที่น่าสนใจได้ที่นี่
ขอบคุณข้อมูลจาก Daily Star, Ladbible






