หญิงป่วยเข้าโรงพยาบาล แพทย์หลอนเจอเข็มเสน่ห์ ฝังในตา-หน้า-คอ-อก เตือนให้เอาออกไม่ยอม ก่อนเสียชีวิต
วันที่ 28 กันยายน 2566 เว็บไซต์ Hk01 เผยเรื่องราวน่าตกตะลึง โดยแพทย์รายหนึ่งในประเทศมาเลเซีย ชื่อว่า ดร.ราซิฟ เขาได์โพสต์ TikTok แชร์ประสบการณ์ฝังใจที่จำไม่ลืมตอนสมัยเป็นแพทย์ฝึกหัดเมื่อหลายปีก่อน ที่โรงพยาบาลในรัฐเกดะห์ มีเคสของหญิงรายหนึ่งอายุ 60 ปี เธอถูกพาตัวส่งมารักษาด้วยโรคหลอดเลือดสมอง ร่างกายซีกหนึ่งเป็นอัมพาต พูดไม่ได้ แต่ยังมีสติรับรู้ และสามารถตอบสนองได้
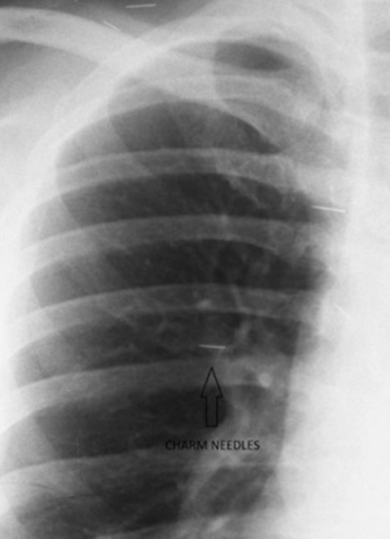
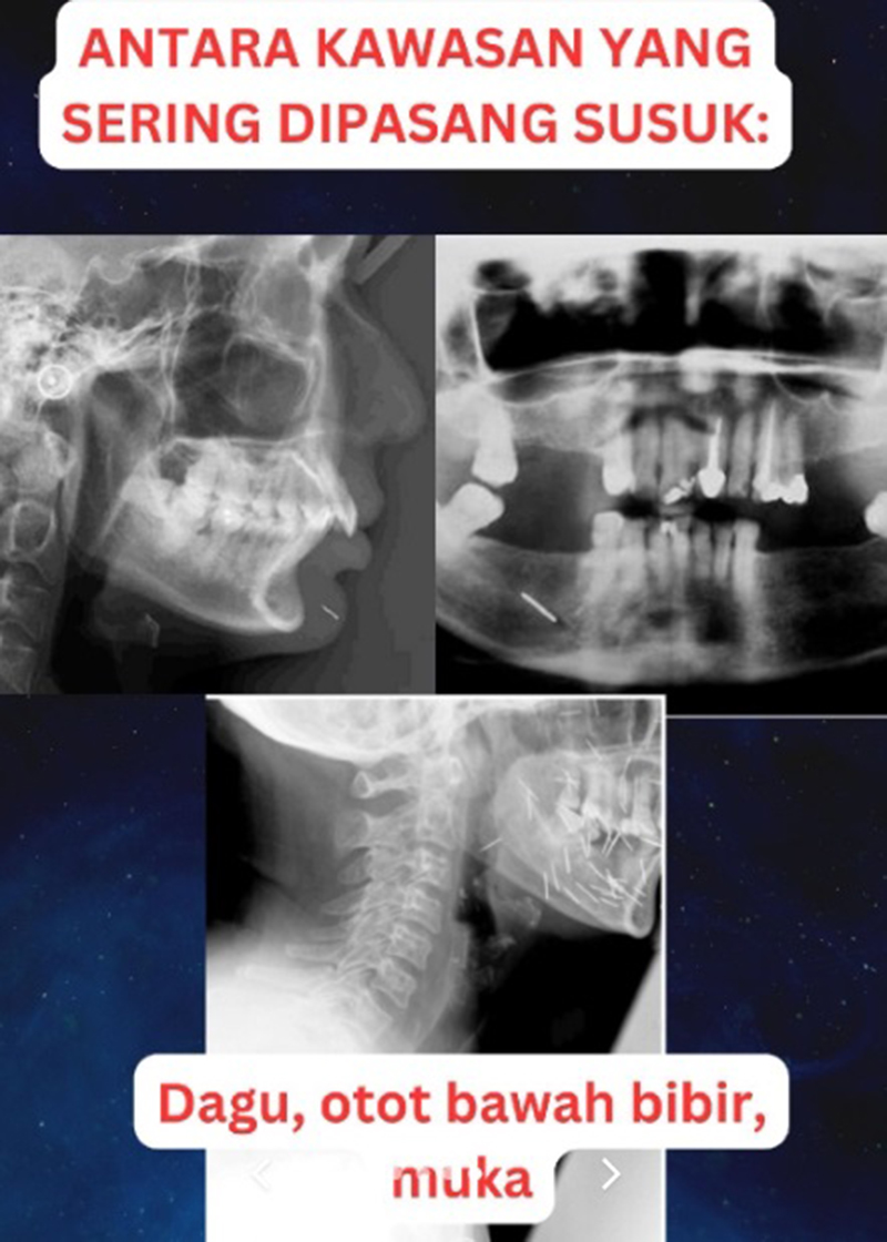
ภายหลังจากการตรวจร่างกาย ตรวจเลือด ทำซีทีสแกน และเอกซเรย์ ทางทีมแพทย์ต่างก็ประหลาดใจไม่น้อยเมื่อพบว่า มีเข็มฝังอยู่ทั่วร่างกายของเธอ กระจายอยู่ 4 ส่วน ได้แก่ บริเวณดวงตา ใบหน้า ลำคอ และหน้าอก โดยเข็มดังกล่าวนี้ เป็นเข็มบาง ๆ ทำด้วยทองหรือวัสดุโลหะอื่น ๆ เรียกกันว่า ซูสุก (Susuk) หรือเข็มเสน่ห์ ตามความเชื่อท้องถิ่นที่ได้รับอิทธิพลมาจากอินโดนีเซีย ผู้หญิงหลายคนเชื่อว่าการสอดเข็มเล็ก ๆ นี้ เข้าไปในส่วนต่าง ๆ ของร่างกายจะช่วยให้ผู้คนเกิดความลุ่มหลง ทำอะไรก็จะสำเร็จดั่งที่ใจปรารถนา
นอกจากนี้ ยังมีความเชื่อดั้งเดิมที่ว่า ก่อนจะตายต้องเอาเข็มซูสุกออกจากร่างกายเสียก่อน ไม่เช่นนั้นจะทำให้เสียชีวิตอย่างทรมาน
อย่างไรก็ดี ในกรณีของผู้ป่วยหญิงรายนี้เข็มดังกล่าวเป็นอันตรายต่อร่างกายของเธอ ดร.ราซิฟ เผยว่า เขาได้แจ้งให้ทางผู้ป่วยนำเข็มเหล่านั้นออกจากร่างกายให้เร็วที่สุดเพื่อความปลอดภัย ทว่าเธอปฏิเสธอย่างหนักแน่น เธอเลือกที่จะเก็บเข็มไว้ทั้งหมดจนถึงนาทีสุดท้ายของชีวิต แม้ว่าก่อนหน้านั้นเขาจะพยายามโน้มน้าวให้เธอเปลี่ยนใจ แต่ก็ไม่เป็นผลสำเร็จ และเขาไม่สามารถแจ้งเรื่องนี้ให้ทางครอบครัวของเธอทราบได้ เนื่องจากเป็นความประสงค์ของผู้ป่วยที่ต้องการเก็บเรื่องนี้เป็นความลับ
ดร.ราซิฟ ยอมรับว่า เคสดังกล่าวยังคงหลอกหลอนเขามาจนถึงทุกวันนี้ เขารู้สึกเสียใจที่ไม่ได้แจ้งเรื่องนี้ให้กับทางลูกสาวของเธอทราบ โดยในขณะนั้น ลูกสาวของเธอเป็นผู้ที่คอยดูแลเธอในโรงพยาบาล แต่เขาทำเพียงแค่ถามเกี่ยวกับประวัติการรักษาของแม่ การใช้ยา และคำถามอื่น ๆ ที่เกี่ยวข้องกับสุขภาพเท่านั้น
ติดตามอ่าน ข่าวต่างประเทศ ที่น่าสนใจได้ที่นี่
ขอบคุณข้อมูลจาก Hk01, China Press











