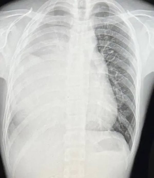
หนุ่มวัย 21 ปี ชอบเล่นกีฬา ไม่สูบบุหรี่ กลับเอกซเรย์เจอปอดขาวโพลน แพทย์ชี้ จะเหลือปอดข้างเดียวตลอดชีวิต
ภาพจาก Dcard
วันที่ 4 พฤศจิกายน 2566 เว็บไซต์ ETtoday เผยเรื่องราวชวนสะเทือนใจของชายหนุ่มรายหนึ่งในไต้หวัน เมื่อเร็ว ๆ นี้เขาได้ออกมาแชร์เรื่องราวผ่านทาง Dcard ชุมชนออนไลน์จนกลายเป็นประเด็นที่ได้รับความสนใจ โดยเขาเผยว่า เขาเป็นคนไม่สูบบุหรี่ และชอบเล่นกีฬา เป็นวัยรุ่นที่สุขภาพร่างกายแข็งแรงมาก แต่อยู่ ๆ วันหนึ่งกลับพบว่า ปอดของเขากลายเป็นสีขาวไปหมด และต้องเผชิญความจริงที่ว่า เขาจะเหลือปอดเพียงข้างเดียวไปตลอดชีวิต ในขณะที่เขาอายุแค่ 21 ปีเท่านั้น
ภาพจาก Dcard
ชายหนุ่มกล่าวว่า "หลังจากทำเคมีบำบัด ผมรู้สึกอาเจียน คลื่นไส้ เบื่ออาหาร และฝันร้าย มันเจ็บปวดจริง ๆ และอารมณ์ของผมเปลี่ยนไปทุกวัน มันแย่มากจริง ๆ"
นอกจากนี้ หลังจากให้เคมีบำบัดครบ 3 รอบ เนื้องอกก็ยังอยู่เหมือนเดิม ไม่ใหญ่ขึ้นหรือเล็กลง แต่กลายเป็นพังผืดที่กำลังจะเป็นเนื้อตาย สิ่งที่ทำให้เขายิ่งทุกข์ใจมากขึ้นคือ หมอบอกว่า เขาจะเหลือปอดแค่ข้างเดียวตลอดชีวิต เขารู้สึกตัวชาไปทั้งตัว แล้วร้องไห้ออกมาทันที คิดกับตัวเองว่า "อายุเราแค่ 21 ปีเท่านั้นเอง"
ชายหนุ่มเผยว่า เขาไม่รู้ว่าอนาคตจะเป็นอย่างไร สักวันหนึ่งมันอาจจะกลับมาอีก หรือมันจะส่งผลถึงชีวิตหรือไม่ ความกังวลเกิดขึ้นมากมายและทั้งหมดดังก้องอยู่ในใจ เขารู้สึกว่าการรักษาเหนื่อยมาก แต่ก็ยังคงรู้สึกขอบคุณครอบครัวและเพื่อน ๆ ทุกคนที่คอยอยู่เคียงข้างเป็นกำลังใจให้ รวมทั้งแพทย์และพยาบาล หากไม่มีพวกเขา ก็ไม่รู้ว่าจะมาถึงจุดนี้ได้อย่างไร
"ผมหวังว่าเรื่องของผม จะทำให้คุณทุกคนรักตัวเอง และปกป้องดูแลร่างกายของคุณเองให้ดีที่สุด" ชายหนุ่ม กล่าว
ภายหลังจากเรื่องราวนี้ถูกแชร์ออกไป ผู้คนจำนวนมากก็เข้าไปแสดงความรู้สึกเห็นใจ พร้อมทั้งให้กำลังใจเขาอย่างมากมาย
ติดตามอ่าน ข่าวต่างประเทศ ที่น่าสนใจได้ที่นี่
ขอบคุณข้อมูลจาก ETtoday





