หมอมนูญ เผยพบเคสคนไข้ปอดอักเสบจากเชื้อราคริปโตคอคคัส ประวัติพบให้อาหารนกพิราบแถวบ้าน ร่างกายรับเชื้อจากมูลนก
ภาพจาก เฟซบุ๊ก หมอมนูญ ลีเชวงวงศ์ FC
เรียกว่าเป็นภัยใกล้ตัวกว่าที่คิดสำหรับ นกพิราบ ซึ่งมักใช้ชีวิตตามชุมชนและบ้านเรือน ซึ่งบางครั้งการใจบุญให้อาหารนกพิราบก็อาจสร้างอันตรายต่อตัวเองและผู้อื่นได้ เนื่องจากนกพิราบเป็นพาหะนำโรคร้ายจำนวนมาก
ภาพจาก เฟซบุ๊ก หมอมนูญ ลีเชวงวงศ์ FC
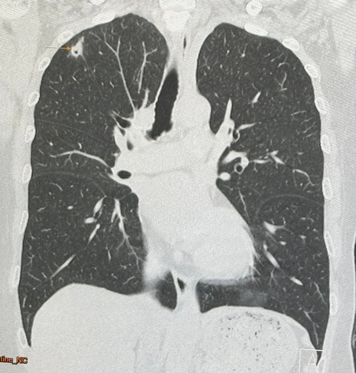
วันที่ 3 มิถุนายน 2567 นพ.มนูญ ลีเชวงวงศ์ แพทย์เฉพาะทางด้านโรคระบบการหายใจ โรงพยาบาลวิชัยยุทธ โพสต์ผ่านเฟซบุ๊ก หมอมนูญ ลีเชวงวงศ์ FC ระบุว่า พบเคสผู้ป่วยหญิงอายุ 52 ปี บ้านอยู่ กทม. ปกติแข็งแรงดี ไม่ไอ ไม่มีไข้ ไม่เบื่ออาหาร น้ำหนักไม่ลด ไม่ปวดหัว ไม่เคยสูบบุหรี่ ไม่มีโรคประจำตัว ไปตรวจร่างกายประจำปี เมื่อ 12 พฤษภาคม ที่ผ่านมา เอกซเรย์ปอดพบก้อนเล็ก ๆ เกิดขึ้นใหม่ที่ปอดขวากลีบบน
เอกซเรย์ปอดก่อนหน้านั้น 1 ปีปกติ ทำคอมพิวเตอร์ปอดพบก้อนขนาด 0.9 × 0.9 × 1.7 เซนติเมตร เห็นโพรงอยู่ข้างในก้อนที่ปอดขวากลีบบน ตรวจเลือดไม่ติดเชื้อเอชไอวี
ภาพจาก เฟซบุ๊ก หมอมนูญ ลีเชวงวงศ์ FC
ภาพจาก เฟซบุ๊ก หมอมนูญ ลีเชวงวงศ์ FC
โชคดีที่เชื้อราไม่ได้กระจายออกนอกปอด เนื่องจากร่างกายแข็งแรง มีภูมิคุ้มกันดี วางแผนให้ยาฆ่าเชื้อราฟลูโคนาโซลชนิดกินอีกประมาณ 6 เดือน แนะนำให้อยู่ห่าง และหลีกเลี่ยงให้อาหารนกพิราบ

ภาพจาก เฟซบุ๊ก หมอมนูญ ลีเชวงวงศ์ FC






