เน็ตไอดอลสาวโพสต์ภาพ X-Ray ทำคนหลุดโฟกัส กลายเป็นประเด็นร้อน คนคอมเมนต์สนั่น บางคนไม่ชอบใจ แต่หน่วยงานด้านสุขภาพชี้ข้อดี

ภาพจาก Threads
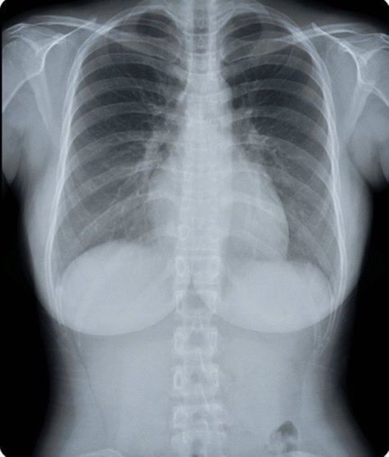
เมื่อวันที่ 3 สิงหาคม 2568 เว็บไซต์ ETtoday เผยว่า เน็ตไอดอลสาวรายหนึ่งในไต้หวันชื่อว่า ทู่ทู่ ซึ่งเป็นที่รู้จักบนโซเชียลมีเดีย มีแฟน ๆ ผู้ติดตามมากกว่า 210,000 ฟอลโลเว่อร์ ได้สร้างความตกตะลึงฮือฮาและกลายเป็นไวรัลชั่วข้ามคืน ภายหลังจากเธอโพสต์รูปภาพเอกซเรย์ช่วงบน จนทำให้หลายคนหลุดโฟกัส พากันเข้าไปถกเถียงกันอย่างดุเดือด
โดยเธอได้โพสต์ภาพผ่านทางแพลตฟอร์ม Threads เมื่อวันที่ 2 สิงหาคม ที่ผ่านมา พร้อมกับข้อความระบุว่า "ภาพเอกซเรย์ของฉันตลกมาก..." ซึ่งภาพถ่ายดังกล่าวมาจากผลการตรวจสุขภาพของเธอ โดยแสดงให้เห็นรายละเอียดโครงสร้างภายในบริเวณช่วงหน้าอก ทั้งนี้เธอยังได้แนบภาพเซลฟี่ของเธอเปรียบเทียบให้เห็นภายนอกด้วย
ภาพจาก Threads
หลังจากภาพนี้ถูกนำมาเผยแพร่ได้เพียงไม่นาน ก็กลายเป็นประเด็นร้อนแรงบนโลกออนไลน์ มียอดผู้เข้าไปชมมากกว่า 1.25 ล้านครั้ง และรีโพสต์มากกว่า 3,000 ครั้ง ภาพเอกซเรย์หน้าอกของเธอดึงดูดความสนใจให้คนเข้าไปพูดถึง มีทั้งส่วนที่ตั้งข้อสังเกตบางจุดแปลก ๆ ในขณะที่บางส่วนก็รู้สึกไม่ชอบใจกับภาพดังกล่าว
"สังเกตก้อนสีขาวที่ด้านล่างคืออะไร"
"เธอมีซิลิโคนเสริม 2 ข้างใช่ไหม"
"เธอตั้งใจจะโชว์ผลเอกซเรย์ หรือจะโชว์หน้าอก"
"ภาพเปิดเผยอะไรขนาดนี้"
"ความคมชัดสูงทะลุถึงภายใน"
"ไม่ต่างอะไรจากภาพเปลือย"
อย่างไรก็ดี รายงานเผยว่า ความจริงแล้วภาพถ่ายนี้เป็นการตรวจเอกซเรย์เต้านมด้วยเครื่องดิจิตอลแมมโมแกรม (Digital Mammogram) เป็นเทคโนโลยีการตรวจเอกซเรย์เต้านม เพื่อค้นหามะเร็งเต้านมโดยเฉพาะ โดยใช้รังสีปริมาณต่ำกว่าการเอกซเรย์ทั่วไป แต่ได้ภาพที่มีความละเอียดสูงและคมชัด สามารถตรวจพบการสะสมของแคลเซียมหรือเนื้องอกในเต้านม รวมถึงมะเร็งเต้านมระยะ 0 ที่ไม่มีอาการ
ด้วยเหตุนี้ ทางสำนักงานบริหารสุขภาพแห่งชาติของไต้หวัน จึงมีโครงการสนับสนุนให้ประชาชนที่มีสิทธิ์เข้ารับการตรวจคัดกรองมะเร็งเต้านมเป็นประจำ เพื่อตรวจพบและรักษาตั้งแต่ระยะเริ่มต้น
ขอบคุณข้อมูลจาก ETtoday, Mirror Media






