Kapook
HILIGHT
เมนู
หน้าแรก
ล่าสุด
เรื่องฮิต
รวมคลิป
หน้าแรก
ล่าสุด
เรื่องฮิต
รวมคลิป
อ่านเนื้อหาเต็ม
แชร์หน้านี้
ความคิดเห็นเรื่อง
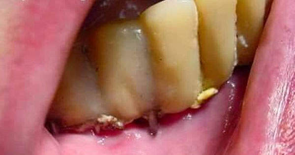
ฟันปลอมเถื่อนอย่างฮาร์ดคอร์ ตอกหมุดยึดเหงือกกันงี้เลย !!
2015-03-21 07:02:39