
ในบ้านเรามีการรณรงค์เรื่องอนามัยช่องปากกันไม่น้อย นอกจากเทรนด์ในหมู่วัยรุ่นที่ดัดฟันแฟชั่นกันจนมีอันติดเชื้อให้วุ่นวาย ยังมีเรื่องของผู้เฒ่าผู้แก่หรือคนที่ฟันจากไปก่อนวัยอันควร เลยต้องหันไปพึ่งฟันปลอม แต่ดันเน้นถูกเข้าว่าหันไปหาฟันปลอมเถื่อน ก็ต้องเจอปัญหาฟันไม่สบไม่พอดี เกิดเสียดสีในช่องปากเป็นแผลติดเชื้อกันขึ้นมาอีก แค่ฟังก็น่ากลัวแล้ว แต่ที่คุณกำลังจะเห็นนี้น่ากลัวยิ่งกว่า นี่คือฟันปลอมเถื่อนแบบฉบับบราซิล มาเป็นแผงพร้อมตอกหมุดฝังเหงือกกันอย่างนี้เลย ฮาร์ดคอร์สุด ๆ !

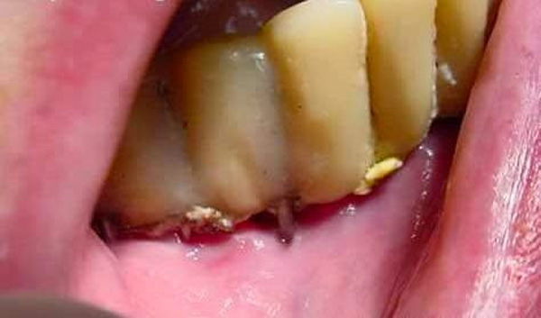
ต้นตอของภาพดังกล่าวยังไม่ทราบที่มาแน่ชัด แต่ข้อมูลเบื้องต้นทราบว่าเป็นคนไข้ในปี 2004 ของดอกเตอร์เอดัวรโด เปเรรา ทันตแพทย์ชาวบราซิล ที่มาพร้อมอาการเหงือกอักเสบตรงบริเวณที่ใส่ฟันปลอม ดูจากภายนอกพบอาการบวมแดงพร้อมขี้ฟันเพียบ แต่เมื่อเอกซเรย์ดูถึงกับผงะ เมื่อรากฟันปลอมนั้นไม่ใช่นอตทันตกรรม แต่เป็นตะปูปลายแหลมตัวยาวจิ้มฝังยึดแผงฟันไว้กับเหงือก เห็นแล้วจินตนาการไม่ออกจริง ๆ ว่าเจ้าของช่องปากใช้ชีวิตอยู่กับฟันปลอมเถื่อนแผงนี้มาได้อย่างไร
เอาเป็นว่าใครคิดจะทำฟันปลอมถูก ๆ เถื่อน ๆ ใช้ก็ดูไว้เป็นอุทาหรณ์ ถ้าจะเจอตะปูเสียบเหงือกเป็นแผงอย่างนี้ ยอมกัดฟันจ่ายแพงไปหาหมอฟันแต่แรกดีกว่าเนอะ
ภาพจาก ทวิตเตอร์ @HowardFarran, Den times





