
ผู้ป่วยชายสูงอายุเข้ารับการผ่าตัดเร่งด่วน หลังปล่อยให้เกิดเนื้องอกขนาดเท่าลูกฟุตบอลในอัณฑะนานกว่า 12 ปี ทำเอาทีมแพทย์ผงะ เมื่อผ่าออกมาแล้วพบว่า ที่จริงแล้วเป็นอวัยวะจากโรคไส้เลื่อนที่ไหลมากองรวมกัน !!
วันที่ 30 พฤศจิกายน 2558 เว็บไซต์มิเรอร์ของอังกฤษ เปิดเผยข่าวชวนอึ้ง ที่อ้างอิงจากวารสารการแพทย์ Journal Case Reports ซึ่งระบุว่า ทีมแพทย์จากโรงพยาบาลแห่งมหาวิทยาลัยโมฮัมเหม็ด ประเทศโมร็อกโก ได้ทำการผ่าตัดนำเนื้องอกออกจากอัณฑะของชายสูงวัยรายหนึ่ง ที่ทนเจ็บปวดเรื้อรังมานานถึง 12 ปี

ก่อนหน้านี้ ผู้ป่วยรายนี้ปฏิเสธที่จะรับการรักษามาตลอด จนกระทั่งในที่สุดก็ทนไม่ไหว เพราะสิ่งที่เขาคิดว่าเป็นเนื้องอกขนาดใหญ่นั้นกระทบต่อการใช้ชีวิตประจำวันอย่างมาก ทั้งการขับถ่าย การเดิน และการมีเพศสัมพันธ์
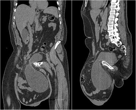
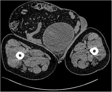
แต่ผล CT Scan แสดงให้เห็นว่า เนื้องอกขนาดใหญ่ราว 30 เซนติเมตรนี้ แท้จริงแล้วคืออาการจากโรคไส้เลื่อนที่ขาหนีบ ซึ่งเกิดขึ้นหลังจากลำไส้เล็กของคนไข้ได้เคลื่อนตัวออกจากบริเวณอุ้งเชิงกราน จนทำให้ลูกอัณฑะของเขาถูกกดทับและบวมเป่งจากภายใน

โดยในรายงานระบุว่า คณะแพทย์ได้ผ่าตัดเปิดผิวหนังออกมา และพบว่าภายในถุงอัณฑะที่บวมเป่งนั้นมีทั้งลำไส้เล็ก บางส่วนของลำไส้ใหญ่ และของเสียอีกจำนวนหนึ่ง
ส่วนการผ่าตัดเพื่อรักษาอาการดังกล่าวนั้นเต็มไปด้วยความเสี่ยงมหาศาล เพราะการย้ายอวัยวะต่าง ๆ กลับไปอยู่ในที่เดิมนั้นอาจนำมาซึ่งอาการแทรกซ้อน เช่น ความดันขึ้นสูงผิดปกติ ที่อาจทำให้หัวใจและปอดหยุดทำงานอย่างเฉียบพลัน แต่ทั้งนี้ ผลการผ่าตัดก็ประสบความสำเร็จลุล่วงไปได้ด้วยดี
ภาพจาก Journal Case Reports






