แม่อุรังอุตัง ปกป้องลูกน้อยจนถูกนักล่ายิง 74 นัด สุดสลดแม้ช่วยชีวิตได้ แต่ต้องตาบอด ส่วนลูกอุรังอุตังอยู่ในสภาพย่ำแย่ ไม่รอดชีวิต

ภาพจาก AFP PHOTO / BKSDA

ภาพจาก AFP PHOTO / BKSDA
วันที่ 18 มีนาคม 2562 เว็บไซต์เซาธ์ไชน่ามอร์นิ่งโพสต์ รายงานว่า สัตวแพทย์จากกลุ่มอนุรักษ์อุรังอุตังสุมาตรา ได้ทำการผ่าตัดเพื่อช่วยเหลืออุรังอุตังแม่ลูก ที่ถูกมนุษย์ใช้ปืนลมยิงใส่จนได้รับบาดเจ็บหนัก หลังจากที่แม่อุรังอุงตังพยายามปกป้องลูกจากนักล่า โดยมีคนพบเห็นพวกมันอยู่ที่ฟาร์มในอำเภอซูบูลูสซาลาม จังหวัดอาเจะห์ ประเทศอินโดนีเซีย จึงได้ตามหน่วยอนุรักษ์เข้าช่วยเหลือ
น่าเศร้าที่ลูกอุรังอุตังอายุ 1 เดือน ซึ่งอยู่ในสภาพขาดสารอาหารอย่างหนักได้ตายไปแล้ว ส่วนแม่อุรังอุตังนั้นแม้จะช่วยชีวิตไว้ได้ แต่ก็ต้องอยู่ในสภาพตาบอด และไม่อาจปล่อยมันกลับคืนสู่ธรรมชาติได้อีกต่อไป
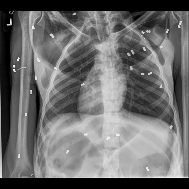
ด้าน เยนนี สรัสวาตี สัตวแพทย์ผู้ทำการผ่าตัด เผยว่า อุรังอุตังตัวแม่ที่ทีมช่วยเหลือตั้งชื่อว่า "โฮป" ได้รับบาดเจ็บจากการถูกกระสุนปืนลมยิงใส่ไม่ต่ำกว่า 74 นัด ภาพกระสุนที่ฝังอยู่ในตัวของมันสามารถมองเห็นได้อย่างชัดเจนจากภาพเอกซเรย์ โดยมี 4 นัด ฝังอยู่บริเวณตายซ้าย และ 2 นัดฝังอยู่ที่ตาขวา นอกจากนี้ตามตัวของเจ้าโฮปก็ยังมีบาดแผลจากการถูกวัตถุแหลมคมทำร้ายด้วย
ภาพจาก AFP PHOTO / BKSDA
ขณะนี้ เจ้าโฮปได้รับการผ่าตัดเพื่อนำกระสุนออกแล้ว 7 นัด
และแพทย์ก็ได้ทำการรักษากระดูกไหปลาร้าที่หักให้
ตอนนี้มันยังอยู่ระหว่างพักฟื้นโดยมีความเสี่ยงที่จะติดเชื้ออยู่
ซึ่งทุกคนหวังเป็นอย่างยิ่งว่ามันจะผ่านพ้นช่วงเวลาวิกฤตในตอนนี้ไปได้ สำหรับเจ้าโฮปและลูกน้อย เป็นอุรังอุตังสุมาตรา สายพันธุ์ท้องถิ่นของเกาะสุมาตรา ที่ทางสหภาพระหว่างประเทศเพื่อการอนุรักษ์ธรรมชาติ (IUCN) จัดให้อยู่ในกลุ่มสิ่งมีชีวิตที่มีความเสี่ยงขั้นวิกฤตต่อการสูญพันธุ์ อย่างไรก็ตามแม้จะเป็นเช่นนั้น แต่ก็ยังคงมีเหตุชาวบ้านใช้ปืนลมยิงอุรังอุตังอย่างต่อเนื่อง โดยในช่วง 10 ปีที่ผ่านมา สัตวแพทย์ได้ทำการรักษาอุรังอุตังที่ถูกปืนลมยิงมาแล้วไม่ต่ำกว่า 15 ตัว และมีอีกหลายตัวที่ไม่สามารถช่วยเหลือได้ทัน จนต้องตายไปอย่างน่าสงสาร
ความขัดแย้งระหว่างอุรังอุตังกับชาวบ้าน
ทวีหนักขึ้นจากการขยายตัวของอุตสาหกรรมปาล์มน้ำมันและการผลิตกระดาษ
ที่รุกคืบเข้าไปยังพื้นที่ป่าอันเป็นถิ่นอาศัยของสัตว์ป่าเหล่านี้
โดยผลจากการศึกษาในปี 2561 พบว่าอุรังอุตังบนเกาะเบอร์เนียว
มีจำนวนลดน้อยลงกว่า 1 แสนตัว นับตั้งแต่ปี 2542
ซึ่งปัจจุบันคาดว่ามีอุรังอุตังสุมาตราที่หลงเหลืออยู่ตามธรรมชาติเพียงแค่ราว
13,400 ตัวเท่านั้น






