พบผู้ป่วยไทยรายแรก เป็นปอดอักเสบเฉียบพลัน หลังสูบสารกัญชา ด้วยบุหรี่ไฟฟ้า เตือนอย่าหลงเชื่อการสูบสารกัญชาด้วยบุหรี่ไฟฟ้า รักษาโรคมะเร็งปอดไม่ได้
วันที่ 24 พฤศจิกายน 2562 นพ.มนูญ ลีเชวงวงศ์ หัวหน้าห้องไอซียู เฉพาะทางด้านโรคระบบการหายใจ ผู้ป่วยหนัก และโรคผู้สูงอายุ โรงพยาบาลวิชัยยุทธ ได้โพสต์ข้อความผ่านเฟซบุ๊ก หมอมนูญ ลีเชวงวงศ์ FC ระบุว่า มีชายไทยอายุ 48 ปี ป่วยเป็นโรคมะเร็งปอด ได้รับการรักษามาตั้งแต่ช่วงเดือนกุมภาพันธ์ 2562 จนมะเร็งมีขนาดเล็กลงเรื่อย ๆ แต่ช่วงหลังผู้ป่วยลดยาเองโดยไม่ได้บอกแพทย์ เพราะเชื่อว่าหากกินยารักษามะเร็งมาก ๆ จะไม่เกิดผลดี อีกทั้งได้รับข้อมูลทางโซเชียลมีเดียเกี่ยวกับการสูบน้ำมันกัญชาด้วยบุหรี่ไฟฟ้าจะช่วยรักษามะเร็งปอด
โดยผู้ป่วยสูบมาตั้งแต่วันที่
3 พฤศจิกายน ที่ผ่านมา สูบวันละ 2 ครั้ง ตอนเช้า และก่อนนอน
โดยใช้ร่วมกับการหยดน้ำมันกัญชาใต้ลิ้น แต่หลังจากสูบสารกัญชา CBD, THC
ด้วยบุหรี่ไฟฟ้ามาเรื่อย ๆ กลับพบว่ามีอาการเหนื่อยมากขึ้น กระทั่งวันที่
15 พฤศจิกายน ที่ผ่านมา ก็ได้เข้ารับการรักษา แต่ผ่านไป 3 วัน
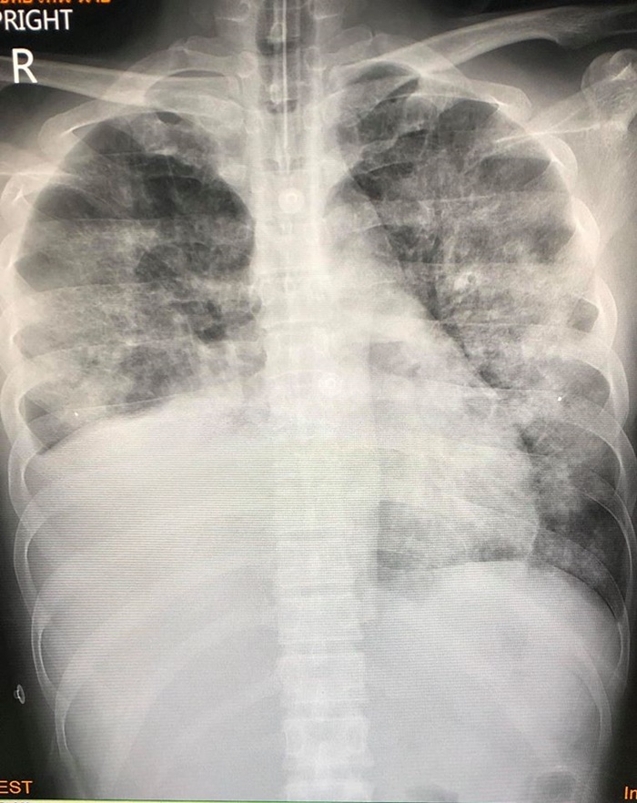
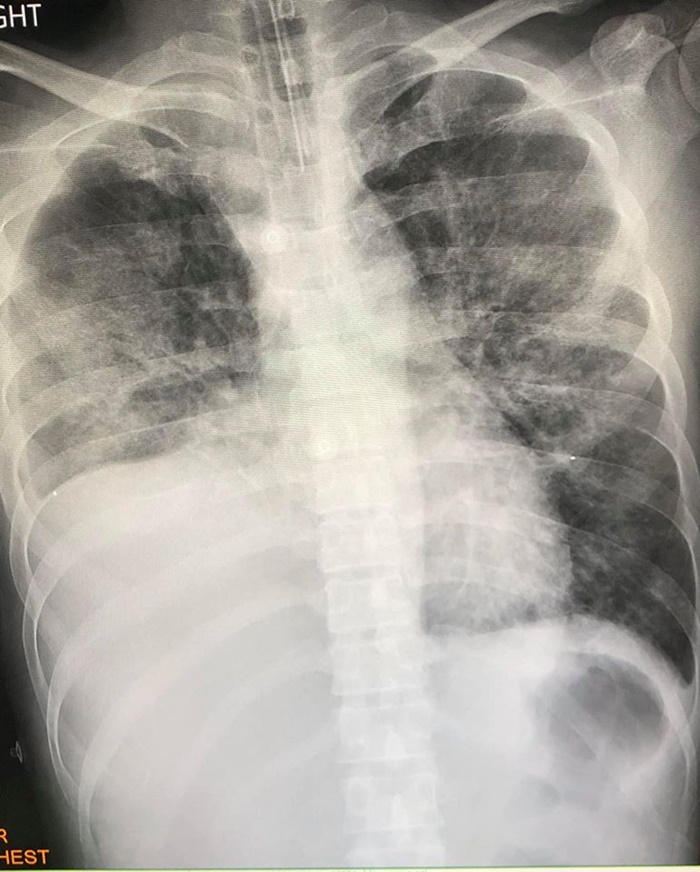
อาการไม่ดีขึ้น เมื่อเอกซเรย์ปอดก็พบว่ามีฝ้าขาวทั้งสองข้าง
ส่วนปอดเดิมที่เป็นมะเร็ง ก็พบว่าก้อนมะเร็งมีขนาดใหญ่กว่าเดิม
เมื่อส่งตรวจทางห้องปฏิบัติการก็วินิจฉัยได้ว่าเป็นปอดอักเสบจากการใช้กัญชาด้วยบุหรี่ไฟฟ้า
จึงเริ่มให้สเตียรอยด์ตั้งแต่วันที่ 20-22 พฤศจิกายน ที่ผ่านมา
ทั้งนี้ ข้อมูลดังกล่าวเผยแพร่เพื่อเป็นการเตือนคนไทย อย่าหลงเชื่อการสูบสารกัญชาด้วยบุหรี่ไฟฟ้า เพราะเป็นการทำร้ายปอด ทำให้ปอดอักเสบเฉียบพลันถึงขั้นระบบหายใจล้มเหลว อย่างไรก็ตาม ก่อนหน้านี้ นพ.มนูญ เคยโพสต์เตือนอันตรายเกี่ยวกับการสูบสารกัญชาด้วยบุหรี่ไฟฟ้ามาแล้ว โดยระบุว่า มีโอกาสป่วยถึงตาย
วันที่ 24 พฤศจิกายน 2562 นพ.มนูญ ลีเชวงวงศ์ หัวหน้าห้องไอซียู เฉพาะทางด้านโรคระบบการหายใจ ผู้ป่วยหนัก และโรคผู้สูงอายุ โรงพยาบาลวิชัยยุทธ ได้โพสต์ข้อความผ่านเฟซบุ๊ก หมอมนูญ ลีเชวงวงศ์ FC ระบุว่า มีชายไทยอายุ 48 ปี ป่วยเป็นโรคมะเร็งปอด ได้รับการรักษามาตั้งแต่ช่วงเดือนกุมภาพันธ์ 2562 จนมะเร็งมีขนาดเล็กลงเรื่อย ๆ แต่ช่วงหลังผู้ป่วยลดยาเองโดยไม่ได้บอกแพทย์ เพราะเชื่อว่าหากกินยารักษามะเร็งมาก ๆ จะไม่เกิดผลดี อีกทั้งได้รับข้อมูลทางโซเชียลมีเดียเกี่ยวกับการสูบน้ำมันกัญชาด้วยบุหรี่ไฟฟ้าจะช่วยรักษามะเร็งปอด
ทั้งนี้ ข้อมูลดังกล่าวเผยแพร่เพื่อเป็นการเตือนคนไทย อย่าหลงเชื่อการสูบสารกัญชาด้วยบุหรี่ไฟฟ้า เพราะเป็นการทำร้ายปอด ทำให้ปอดอักเสบเฉียบพลันถึงขั้นระบบหายใจล้มเหลว อย่างไรก็ตาม ก่อนหน้านี้ นพ.มนูญ เคยโพสต์เตือนอันตรายเกี่ยวกับการสูบสารกัญชาด้วยบุหรี่ไฟฟ้ามาแล้ว โดยระบุว่า มีโอกาสป่วยถึงตาย











