หนุ่มจีนคันรูก้น คว้าขวดแก้วมาเกาแก้คัน ถูไปถูมาเพลินเกินไปหน่อย ขวดผลุบหายเข้ารู ทะลุถึงไส้ งานนี้รู้ซึ้งถึงความจุก เดินถ่างขาไปให้หมอช่วย แหกก้นเอาขวดออก
เมื่อวัน 19 ธันวาคม 2562 เว็บไซต์เดลี่เมล รายงานว่า แพทย์ประจำโรงพยาบาลแพทย์แผนตะวันตกและแพทย์แผนจีนในเมืองตงกวน มณฑลกวางตุ้ง ทางตอนใต้ของจีน ได้ช่วยนำ ขวดแก้ว ออกจากลำไส้ของคนไข้ชายรายหนึ่ง ซึ่งอ้างว่าเอาปากขวดมาเการูทวารเพื่อแก้อาการคัน แล้วผิดพลาด ไม่สามารถเอาออกมาเองได้ งานนี้เรียกได้ว่าทั้งเจ็บทั้งจุก แถมอาย
คนไข้รายดังกล่าวทราบชื่อคือ นายเหวิน ซึ่งหลังจากที่ขวดแก้วทะลุเข้าไปในก้น มันก็สร้างความลำบากแก่เขาไม่น้อย โดยเฉพาะเวลาเดิน กระทั่งวันที่ 12 พฤศจิกายน เขาก็ตัดสินใจเดินถ่างขาไปหาหมอ
ภาพจาก pttweb.cc
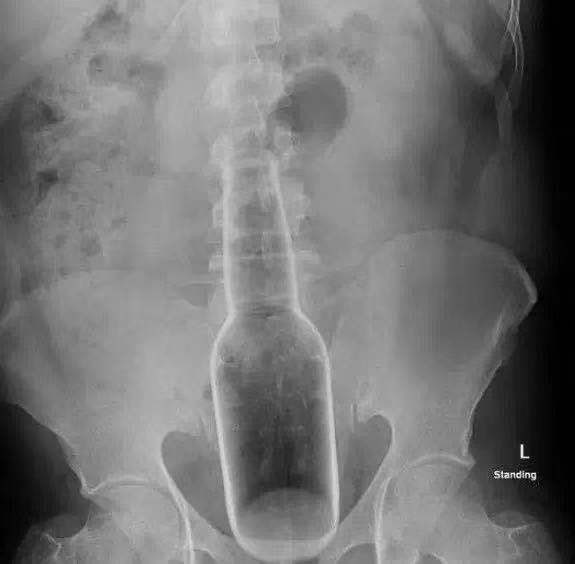
นายแพทย์หลิน หมอที่ดูแลเคสนี้ ได้ตรวจสอบดูรูทวารของเหวิน พบเห็นวัตถุบางอย่างอยู่ลึกจากรูทวารเข้าไปราว 2 นิ้ว จากนั้นจึงได้ทำการเอกซเรย์ดู ก็พบขวดแก้ว ความยาว 18 เซนติเมตร อยู่ในอุ้งเชิงกรานของเหวิน ซึ่งก้นขวดอยู่ห่างจากรูทวารของเหวินประมาณ 2 นิ้ว
หมอหลินได้ทำการผ่าตัดถ่างก้นเหวิน นำขวดแก้วดังกล่าวออกมาทันที ซึ่งทุกอย่างผ่านพ้นไปได้ด้วยดี ขวดแก้วผลุบออกมาโดยง่ายและใช้เวลาไม่นาน รายงานระบุว่า ขวดแก้วดังกล่าวเป็นขวดบรรจุยากันยุงแบบจีน รวมทั้งใช้เป็นยาแก้คัน ทั้งนี้ เคราะห์ดีที่มันเป็นขวดเปล่าแล้ว ไม่มีน้ำยาอยู่ข้างใน







