หมอเผยภาพอุทาหรณ์ คนไข้วัย 23 จัดฟันแฟชั่นมานานถึง 5 ปี ไร้การดูแลที่ถูกวิธี สภาพช่องปากเละเทะ จนต้องถอนฟันทิ้ง ใส่ฟันปลอมอย่างเดียว
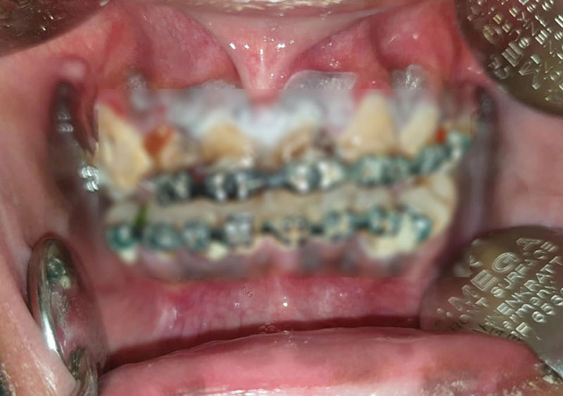
จากกรณีเฟซบุ๊กของคุณหมอท่านหนึ่ง เผยให้เห็นสภาพช่องปากที่น่าสยดสยอง ของคนไข้ที่จัดฟันแฟชั่น และไร้การดูแลที่ถูกวิธี จนต้องเข้ารับการรักษาสภาพช่องปากอย่างเร่งด่วน
ล่าสุด (20 กุมภาพันธ์ 2563) เรื่องเล่าเช้านี้ ได้สอบถามไปยังคุณหมอที่โพสต์ภาพดังกล่าว ชื่อ ทันตแพทย์หญิงพรพุทธิ ภัทรวุฒิพร ทันตแพทย์เฉพาะทางด้านจัดฟัน โรงพยาบาลบุรีรัมย์ ซึ่งเผยว่า คนไข้รายนี้อายุ 23 ปี ต้องการนำลวดและอุปกรณ์จัดฟันออก ซึ่งเจ้าตัวจัดมาแล้ว 5 ปี ที่ร้านจัดฟันแฟชั่นแห่งหนึ่งในกรุงเทพฯ
เมื่อตรวจช่องปากก็พบว่า เป็นเครื่องมือไม่ได้มาตรฐาน ส่งผลให้เกิดคราบสีขาว ซึ่งเป็นเชื้อราเกาะอยู่บริเวณเหงือกทั่วทั้งปาก จึงได้ทำความสะอาดและขูดหินปูน พร้อมกับสอนวิธีแปรงฟันอย่างถูกต้อง
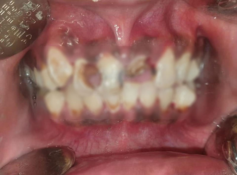
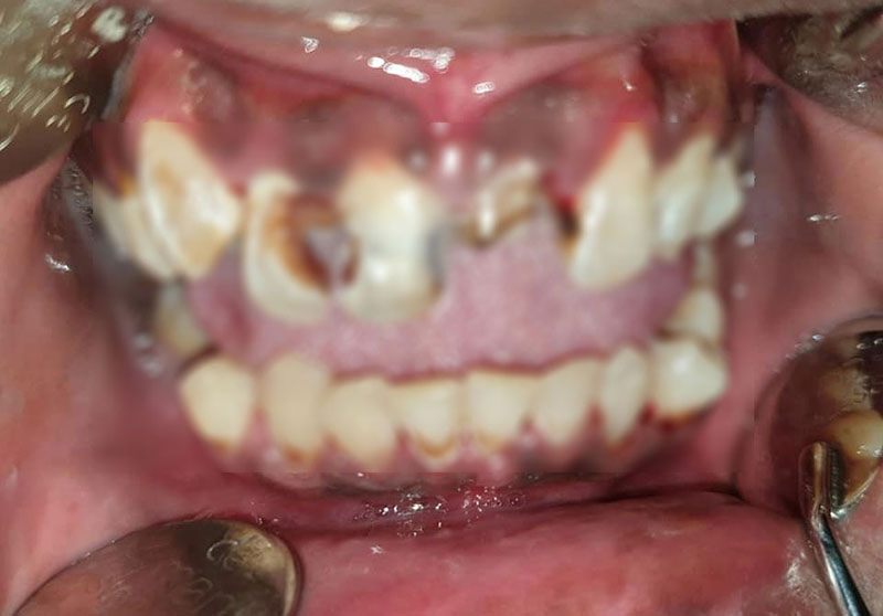
ทั้งนี้ ยังพบว่า ฟันหน้า 2 ซี่ ของคนไข้ มีเชื้อแบคทีเรียลามลึกลงไปทะลุโพรงประสาทฟัน ทำให้มีหนอง จึงต้องถอนทิ้งทั้ง 2 ซี่ และทดแทนด้วยการทำฟันปลอมขึ้นมาให้กับคนไข้
อย่างไรก็ตาม ทางคุณหมอได้โพสต์สภาพฟันหลังจากเอาอุปกรณ์จัดฟันออก ซึ่งสภาพช่องปากดูดีขึ้น พร้อมโพสต์ข้อความเตือนคนที่คิดจะจัดฟันแฟชั่น อยากให้ตระหนักถึงโทษและผลเสียของมันที่มีมากกว่าความสวยงาม
อ่านรายละเอียดเพิ่มเติมจาก

จากกรณีเฟซบุ๊กของคุณหมอท่านหนึ่ง เผยให้เห็นสภาพช่องปากที่น่าสยดสยอง ของคนไข้ที่จัดฟันแฟชั่น และไร้การดูแลที่ถูกวิธี จนต้องเข้ารับการรักษาสภาพช่องปากอย่างเร่งด่วน
ล่าสุด (20 กุมภาพันธ์ 2563) เรื่องเล่าเช้านี้ ได้สอบถามไปยังคุณหมอที่โพสต์ภาพดังกล่าว ชื่อ ทันตแพทย์หญิงพรพุทธิ ภัทรวุฒิพร ทันตแพทย์เฉพาะทางด้านจัดฟัน โรงพยาบาลบุรีรัมย์ ซึ่งเผยว่า คนไข้รายนี้อายุ 23 ปี ต้องการนำลวดและอุปกรณ์จัดฟันออก ซึ่งเจ้าตัวจัดมาแล้ว 5 ปี ที่ร้านจัดฟันแฟชั่นแห่งหนึ่งในกรุงเทพฯ
เมื่อตรวจช่องปากก็พบว่า เป็นเครื่องมือไม่ได้มาตรฐาน ส่งผลให้เกิดคราบสีขาว ซึ่งเป็นเชื้อราเกาะอยู่บริเวณเหงือกทั่วทั้งปาก จึงได้ทำความสะอาดและขูดหินปูน พร้อมกับสอนวิธีแปรงฟันอย่างถูกต้อง
ทั้งนี้ ยังพบว่า ฟันหน้า 2 ซี่ ของคนไข้ มีเชื้อแบคทีเรียลามลึกลงไปทะลุโพรงประสาทฟัน ทำให้มีหนอง จึงต้องถอนทิ้งทั้ง 2 ซี่ และทดแทนด้วยการทำฟันปลอมขึ้นมาให้กับคนไข้
อย่างไรก็ตาม ทางคุณหมอได้โพสต์สภาพฟันหลังจากเอาอุปกรณ์จัดฟันออก ซึ่งสภาพช่องปากดูดีขึ้น พร้อมโพสต์ข้อความเตือนคนที่คิดจะจัดฟันแฟชั่น อยากให้ตระหนักถึงโทษและผลเสียของมันที่มีมากกว่าความสวยงาม
อ่านรายละเอียดเพิ่มเติมจาก










