อุทาหรณ์ คนชอบกินกุ้งทั้งเปลือก อันตรายมาก เผยเคสหญิงวัย 60 กินแกงส้มกุ้ง ซัดกุ้งทั้งเปลือกอย่างเอร็ดอร่อย ก่อนต้องเจ็บปวดระดับ 10 เต็ม 10 สุดทรมานเปลือกกุ้งแทงหลอดอาหาร
วันที่ 17 กุมภาพันธ์ 2564 นพ.อารักษ์ วงศ์วรชาติ ผู้อำนวยการโรงพยาบาลสิชล จ.นครศรีธรรมราช โพสต์เล่าเคสน่าสนใจของผู้ป่วยรายหนึ่ง เพื่อช่วยเตือนภัยคนที่ชอบกินกุ้งทั้งเปลือก ที่ทำให้ต้องพบกับความเจ็บปวดอย่างมาก ซึ่งแพทย์ลงความเห็นว่าเจ็บปวดระดับ 10 เต็ม 10 เลยทีเดียว
โดยเป็นเคสของหญิงอายุ 60 ปี ที่กำลังรับประทานอาหารร่วมกับครอบครัว ซึ่งมีเมนูเด็ด แกงส้มกุ้งใส่ดอกแค กินกับข้าวสวยร้อน ๆ เป็นกุ้งขนาดกลาง ๆ แต่ที่สำคัญคือไม่ได้แกะเปลือกออก มีหัวกุ้งติดอยู่ด้วย เวลารับประทานอาหารก็ถอดหัวกุ้งออก แต่ลำตัวและหางยังติดเปลือกอยู่ ผู้ป่วยรับประทานกุ้งตัวแรกและตัวที่สองผ่านไปสบาย ๆ เคี้ยวได้อย่างเอร็ดอร่อย
กระทั่งกุ้งตัวที่ 3 เคี้ยวไม่ดีเท่าไร พอกลืนลงไปก็เหมือนมีอะไรติดคอตรงตำแหน่งลูกกระเดือก พยายามปั้นข้าวเป็นก้อนกลืนลงไป ยิ่งกลืนยิ่งปวดมากขึ้นเรื่อย ๆ ดื่มน้ำตามก็ปวด กลืนน้ำลายก็ปวด อยู่เฉย ๆ ก็ยังปวด ทำให้ความอร่อยหายไปทันที จึงลุกจากโต๊ะอาหารไปนั่งพักเผื่อจะดีขึ้น แต่อาการกลับรุนแรงมากขึ้นจนไม่กล้ากลืนน้ำลาย ต้องบ้วนน้ำลายทิ้งแทน ต่อมาญาติจึงรีบนำส่งโรงพยาบาลสิชล
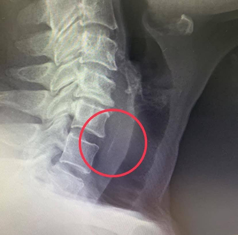
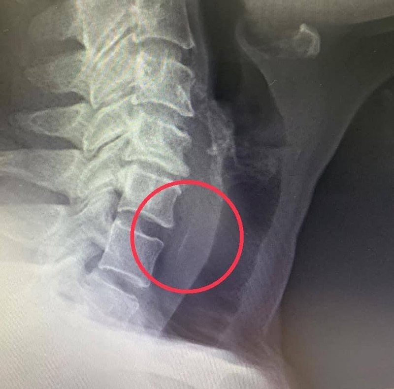
ผู้ป่วยเข้าห้องฉุกเฉิน พยาบาลซักประวัติ วัดสัญญานชีพ และประเมินความเจ็บปวดให้ระดับ 10 เต็ม 10 ถือเป็นความเจ็บปวดระดับสูงสุด จากนั้นแพทย์ส่องในลำคอไม่พบสิ่งแปลกปลอมใด ๆ จึงส่งเอกซเรย์ด่วนที่ลำคอและฉีดยาแก้ปวดให้ไปก่อน เมื่อดูจากที่เอกซเรย์แล้ว แพทย์พบว่ามีเงาทึบแสงสีขาว ๆ ขนาดประมาณ 2.5 เซนติเมตร ขวางอยู่ที่หลอดอาหารส่วนบน จึงรีบนำตัวผู้ป่วยกลับห้องฉุกเฉินเพื่อให้น้ำเกลือ และปรึกษาแพทย์ผู้เชี่ยวชาญด้าน หู คอ จมูก จากนั้นได้ส่งเข้าห้องผ่าตัดทันที
![เปลือกกุ้งแทงหลอดอาหาร เปลือกกุ้งแทงหลอดอาหาร]()
เนื่องจากผู้ป่วยรับประทานอาหารมาเพียง 2 ชั่วโมง ไม่ทันได้งดอาหารและงดน้ำก่อนการผ่าตัด วิสัญญีแพทย์ต้องใส่ท่อช่วยหายใจวิธีพิเศษเพื่อไม่ให้สำลักในระหว่างดมยาสลบ และส่องกล้องไปในหลอดอาหาร เมื่อส่องกล้องเข้าไปพบว่ามีเปลือกกุ้งสีเหลือง แทงติดอยู่ที่หลอดอาหารในแนวขวาง ตำแหน่งหูรูดระหว่างลำคอกับหลอดอาหาร จึงค่อย ๆ สอดใส่เครื่องมือคีบออกมาได้สำเร็จ และตรวจดูโดยละเอียดว่าไม่มีชิ้นส่วนอื่นตกค้าง จากนั้นฉีดน้ำล้างจุดดังกล่าว และให้ยาต้านเชื้อ 5 วัน ซึ่งตอนนี้หายเป็นปกติแล้ว
เคสดังกล่าวถือเป็นการรักษาภาวะสิ่งแปลกปลอมในหลอดอาหารที่มีความยุ่งยากซับซ้อน ต้องระมัดระวังในทุกขั้นตอน ความพร้อมของทีมแพทย์ พยาบาล สถานที่ เครื่องมือแพทย์ ก็สำคัญมาก ๆ เป็นบทเรียนให้กับทุกท่านที่ชอบกินกุ้งตัวโตทั้งเปลือก ควรหลีกเลี่ยงและต้องระวังให้มาก ๆ
ภาพจาก เฟซบุ๊ก Arak Wongworachat
ขอบคุณข้อมูลจาก เฟซบุ๊ก Arak Wongworachat
โดยเป็นเคสของหญิงอายุ 60 ปี ที่กำลังรับประทานอาหารร่วมกับครอบครัว ซึ่งมีเมนูเด็ด แกงส้มกุ้งใส่ดอกแค กินกับข้าวสวยร้อน ๆ เป็นกุ้งขนาดกลาง ๆ แต่ที่สำคัญคือไม่ได้แกะเปลือกออก มีหัวกุ้งติดอยู่ด้วย เวลารับประทานอาหารก็ถอดหัวกุ้งออก แต่ลำตัวและหางยังติดเปลือกอยู่ ผู้ป่วยรับประทานกุ้งตัวแรกและตัวที่สองผ่านไปสบาย ๆ เคี้ยวได้อย่างเอร็ดอร่อย
ผู้ป่วยเข้าห้องฉุกเฉิน พยาบาลซักประวัติ วัดสัญญานชีพ และประเมินความเจ็บปวดให้ระดับ 10 เต็ม 10 ถือเป็นความเจ็บปวดระดับสูงสุด จากนั้นแพทย์ส่องในลำคอไม่พบสิ่งแปลกปลอมใด ๆ จึงส่งเอกซเรย์ด่วนที่ลำคอและฉีดยาแก้ปวดให้ไปก่อน เมื่อดูจากที่เอกซเรย์แล้ว แพทย์พบว่ามีเงาทึบแสงสีขาว ๆ ขนาดประมาณ 2.5 เซนติเมตร ขวางอยู่ที่หลอดอาหารส่วนบน จึงรีบนำตัวผู้ป่วยกลับห้องฉุกเฉินเพื่อให้น้ำเกลือ และปรึกษาแพทย์ผู้เชี่ยวชาญด้าน หู คอ จมูก จากนั้นได้ส่งเข้าห้องผ่าตัดทันที







