ดาราสาวญี่ปุ่นชื่อดัง เจ้าของหน้าอกคัพ L โดนถามไม่ไหว ของแท้แม่ให้มาไหม คับอกคับใจ โชว์ให้ดูถึงกระดูก ตบ ๆ กันไป
ภาพจาก ทวิตเตอร์ @suzukifumina
วันที่ 22 ตุลาคม 2565 เว็บไซต์ Hk01 เผยเรื่องราวของ ซูซูกิ ฟูมินะ (Suzuki Fumina) ดารา-นางแบบสาวเซ็กซี่ชาวญี่ปุ่นชื่อดัง เจ้าของหุ่นสุดแซ่บ ที่มาพร้อมกับขนาดหน้าอกหน้าใจขนาดใหญ่ถึงคัพ L ทำให้เธอกลายเป็นที่รู้จักและมีแฟนคลับติดตามเป็นจำนวนมาก ถึงขนาดมีฉายาว่า "สาวหน้าอกมหัศจรรย์" หรือสาวที่มีหน้าอกที่ทรงพลังที่สุดในอุตสาหกรรมภาพถ่ายของญี่ปุ่น
ภาพจาก ทวิตเตอร์ @suzukifumina
ด้วยความที่หน้าอกของเธอนั้นใหญ่แบบอลังการ ทำให้ดาราสาวสุดแซ่บรายนี้ มักจะเจอแต่คำถามเดิม ๆ อยู่บ่อยครั้ง นั่นคือ "หน้าอกนี้เป็นธรรมชาติ เป็นของแท้หรือเปล่า" จนล่าสุด เมื่อไม่นานมานี้ ฟูมินะ ได้ออกมาโพสต์ภาพยืนยันกันแบบจัดเต็ม ให้เห็นกันถึงไส้ถึงพุงกันเลยทีเดียว
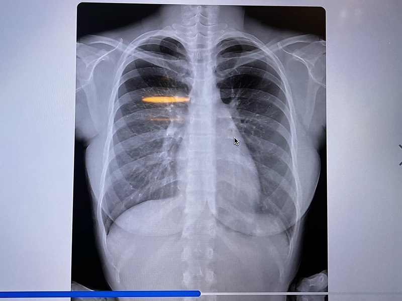
ภาพจาก ทวิตเตอร์ @suzukifumina
โดยจากภาพเอกซเรย์ดังกล่าว แสดงให้เห็นว่า ไม่มีวัสดุเต้านมเทียม หรือสารแปลกปลอมที่หน้าอกของเธอ จึงพิสูจน์ได้ชัดว่าคัพ L ของเธอ เป็นของแท้แม่ให้มาแน่นอน

ภาพจาก ทวิตเตอร์ @suzukifumina
ภาพจาก ทวิตเตอร์ @suzukifumina
ทั้งนี้ มีผู้ใช้โซเชียลรายหนึ่งเข้าไปแสดงความคิดเห็นขำขัน ระบุว่า "แม้จะแสดงให้เห็นถึงภายใน แต่ก็ยังวางใจไม่ได้ ยังไงก็ต้องขอดูภายนอกให้ชัดเจนด้วย"
ภาพจาก ทวิตเตอร์ @suzukifumina

ภาพจาก ทวิตเตอร์ @suzukifumina

ภาพจาก ทวิตเตอร์ @suzukifumina

ภาพจาก ทวิตเตอร์ @suzukifumina
ติดตามอ่าน ข่าวต่างประเทศ ที่น่าสนใจได้ที่นี่
ขอบคุณข้อมูลจาก Hk01









