เปิดเคสปริศนา เมื่อสุภาพบุรุษคนน่าเชื่อถือ
นิสัยเปลี่ยนภายใน 1 เดือน กลายเป็นคนโกหกเก่ง แถมระแวงเมียมีชู้
จึงมีเมียน้อย สุดท้ายตรวจพบก้อนเนื้อในสมองส่วนหน้า
เป็นสาเหตุทำนิสัยเปลี่ยน
วันที่ 27 กรกฎาคม 2566 เฟซบุ๊ก Somros MD Phonglamai ของ นพ.สมรส พงศ์ละไม แพทย์เฉพาะทางเวชศาสตร์ฟื้นฟู
มีการโพสต์ข้อความเล่าเรื่องราวของคนไข้รายหนึ่ง ระบุว่า
คนไข้คนนี้เป็นสุภาพบุรุษ ซื่อสัตย์ พูดจาน่าเชื่อถือ แต่ จู่ ๆ
แค่ภายในระยะเวลา 1 เดือน ชายคนนี้กลับเปลี่ยนไปขั้วตรงข้าม จากคนพูดจาดี
เป็นพูดไม่สมเหตุสมผล กลับกลอก โกหก ลืมบ่อย
จำไม่ได้ว่าตัวเองเคยพูดอะไรไว้ คำนวณตัวเลขบวกลบง่าย ๆ ก็ผิด
จนถึงขั้นระแวงว่าภรรยาตัวเองมีชู้ คนไข้จึงไปหาสาวคนใหม่เพิ่มอีก 4 คน
หยุดตัวเองไม่ได้ ไม่สนใจใคร ไม่รู้สึกผิดที่ทำให้คนอื่นเดือดร้อน
เมื่อตรวจร่างกายหาความผิดปกติ ก็ไม่พบความผิดปกติทางระบบประสาทชัดเจน คนไข้แค่ชอบยิ้มบ่อย ๆ และเวลาตรวจ คนไข้ก็ชอบเอามือมาจับมือหมอบ่อย ๆ แบบยับยั้งตัวเองไม่ได้ ส่วนผลการตรวจอื่น ๆ ก็ยังอยู่เกณฑ์ปกติ สภาพสมองเบื้องต้น ตรวจด้วยแบบสอบถาม MMSE คะแนนก็ไม่ได้แย่ ได้ 26 เต็ม 30
เมื่อตรวจร่างกายหาความผิดปกติ ก็ไม่พบความผิดปกติทางระบบประสาทชัดเจน คนไข้แค่ชอบยิ้มบ่อย ๆ และเวลาตรวจ คนไข้ก็ชอบเอามือมาจับมือหมอบ่อย ๆ แบบยับยั้งตัวเองไม่ได้ ส่วนผลการตรวจอื่น ๆ ก็ยังอยู่เกณฑ์ปกติ สภาพสมองเบื้องต้น ตรวจด้วยแบบสอบถาม MMSE คะแนนก็ไม่ได้แย่ ได้ 26 เต็ม 30
ความผิดปกติอยู่ที่ไหน
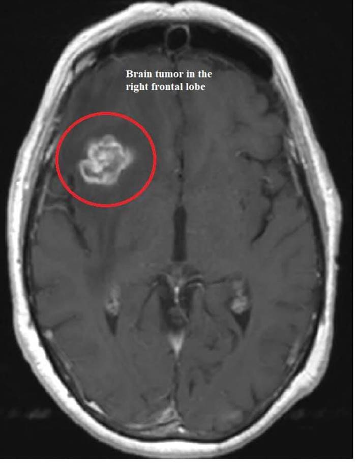
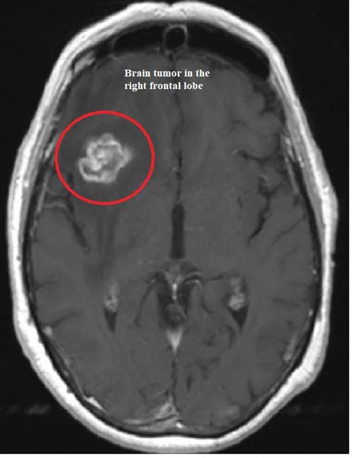
ผลสุดท้าย สแกนสมองพบเนื้องอกสมองส่วนหน้า ทำให้หมอสรุปได้ว่า
1. เนื้องอกสมองด้านหน้า สามารถเป็นสาเหตุนิสัยแปลก ๆ ที่เกิดขึ้นได้ เช่นความจำเสื่อมเร็ว พฤติกรรมเปลี่ยนไปมาก ยิ่งถ้ากลั้นปัสสาวะไม่ค่อยได้ ควรรีบพบหมอ
2. เนื้องอกถ้าไม่รุกราน ตัดทิ้ง คนไข้สามารถดีขึ้นได้ แล้วมาฟื้นฟูสมองต่อเนื่องให้กลับมาได้มากที่สุด แต่ถ้าเป็นมะเร็งเนื้อร้ายระยะรุกราน ก็ต้องรักษายาว ๆ ต่อไป
เรื่องนี้ สิ่งที่ยากที่สุดคือ คนไข้มักไม่รู้ตัวว่านิสัยเปลี่ยนไป ไม่ยอมมาโรงพยาบาล อาละวาด ดื้อ ทำให้ญาติ ๆ หนักใจ






