หมอมนูญ โพสต์เตือน ใครเจอก้อนเนื้อผิดปกติที่ขาและแขน อย่าชะล่าใจแม้ไม่มีอาการ สุดท้ายกลายเป็นเนื้อร้าย ที่เรียกว่า มะเร็งของเนื้อเยื่อเกี่ยวพัน พบน้อยมาก ๆ ในผู้สูงอายุ
เมื่อวันที่ 14 สิงหาคม 2566 เพจเฟซบุ๊ก หมอมนูญ ลีเชวงวงศ์ FC ได้ออกมาโพสต์เคสผู้ป่วยมะเร็ง Myxofibrosarcoma หรือ โรคมะเร็งของเนื้อเยื่อเกี่ยวพัน ซึ่งพบน้อยมาก ๆ ในคนสูงอายุ พร้อมเล่าถึงอาการแรกเริ่มที่มาในรูปแบบก้อนเนื้อโตผิดปกติบริเวณขา สู่ขั้นตอนการรักษาเนื้อร้าย
โดยหมอมนูญ อธิบายว่า Myxofibrosarcoma เป็นโรคมะเร็งของเนื้อเยื่อเกี่ยวพัน พบน้อยมาก ๆ ในคนสูงอายุ ส่วนใหญ่พบที่แขนและขา เป็นมะเร็งที่โตช้า อาจกลับมาเป็นอีกที่เดิมหลังผ่าตัด และสามารถแพร่กระจายสู่อวัยวะอื่น ๆ ได้
ส่วนการรักษาต้องผ่าก้อนนั้นออกให้หมดทั้งก้อน
ห้ามเจาะหรือตัดชิ้นเนื้อเพียงบางส่วนเพื่อนำไปส่งตรวจทางพยาธิวิทยา
เมื่อคลำได้ก้อนเนื้อผิดปกติที่บริเวณแขนหรือขา
ควรรีบพบแพทย์เพื่อวินิจฉัยว่า เป็นก้อนเนื้อทั่วไปที่ไม่ใช่มะเร็ง
หรือเป็นก้อนเนื้อมะเร็ง
ซึ่งการวินิจฉัยโรคได้ตั้งแต่ก้อนมะเร็งยังขนาดเล็ก และรักษาเร็ว
ลดโอกาสที่มะเร็งจะแพร่กระจายไปยังส่วนอื่น ๆ ของร่างกาย
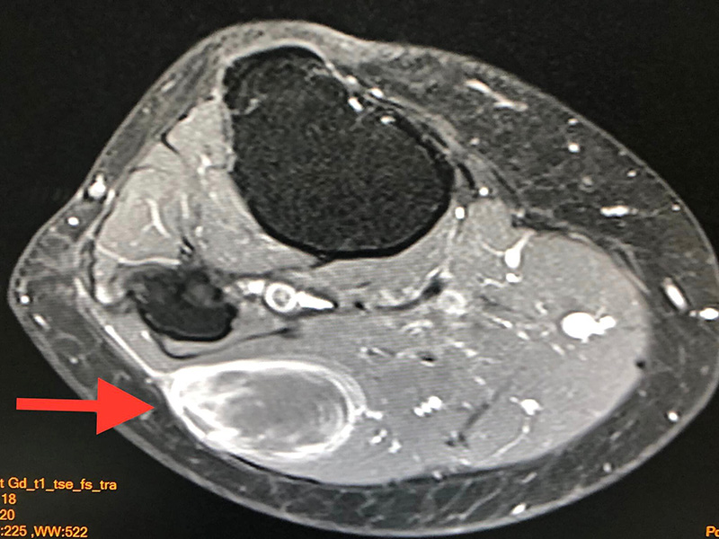
ภาพเคสตัวอย่างของ ผู้ป่วยหญิงวัย 61 ปี กับขั้นตอนการรักษา จากวันที่ตรวจพบก้อนเนื้อร้าย จนปัจจุบันหายดีแล้ว
- ผู้ป่วยหญิงอายุ 61 ปี ปกติแข็งแรงดี คลำได้ก้อนที่ขาใต้หัวเข่าข้างขวาด้านนอกขนาด 5 เซนติเมตร ก้อนนูนแข็ง ขยับก้อนได้ค่อย ๆ โตขึ้น ไม่เจ็บ
- เดือนมีนาคม 2565 ทำ MRI ตรวจคลื่นแม่เหล็กไฟฟ้า พบก้อนขนาด 3.5 x 2.2 x 5.1 เซนติเมตร อยู่ชั้นใต้ผิวหนังติดกับกล้ามเนื้อของขา สงสัยมะเร็งเนื้อเยื่ออ่อน (soft tissue sarcoma)
- เดือนเมษายน 2565 ผ่าตัดกว้านเอาก้อนเนื้อที่ขาออก ส่งตรวจพยาธิวิทยาเป็น Myxofibrosarcoma มะเร็งของเนื้อเยื่อเกี่ยวพัน ขนาด 4.8 x 4.2 x 6 เซนติเมตร เกรดสูงระดับ 3 ไม่พบมะเร็งที่ขอบรอบ ๆ ก้อนเนื้อที่ตัดออก แสดงว่าแพทย์ผ่าตัดเอาเนื้องอกออกได้ทั้งหมด
- หลังผ่าตัด 2 สัปดาห์ เริ่มฉายรังสีที่ขาทั้งหมด 33 ครั้ง เพราะมะเร็งยังมีโอกาสกลับมาใหม่ เนื่องจากมะเร็งขนาดใหญ่กว่า 5 เซนติเมตร และมะเร็งเกรดสูงระดับ 3
- ติดตามผู้ป่วย 15 เดือนถึงปัจจุบัน วันที่ 11 สิงหาคม 2566 แผลหายดี ไม่พบก้อนกลับมาใหม่ที่บริเวณขาที่เคยผ่าตัด และไม่แพร่กระจายไปที่อวัยวะอื่น
เมื่อวันที่ 14 สิงหาคม 2566 เพจเฟซบุ๊ก หมอมนูญ ลีเชวงวงศ์ FC ได้ออกมาโพสต์เคสผู้ป่วยมะเร็ง Myxofibrosarcoma หรือ โรคมะเร็งของเนื้อเยื่อเกี่ยวพัน ซึ่งพบน้อยมาก ๆ ในคนสูงอายุ พร้อมเล่าถึงอาการแรกเริ่มที่มาในรูปแบบก้อนเนื้อโตผิดปกติบริเวณขา สู่ขั้นตอนการรักษาเนื้อร้าย
โดยหมอมนูญ อธิบายว่า Myxofibrosarcoma เป็นโรคมะเร็งของเนื้อเยื่อเกี่ยวพัน พบน้อยมาก ๆ ในคนสูงอายุ ส่วนใหญ่พบที่แขนและขา เป็นมะเร็งที่โตช้า อาจกลับมาเป็นอีกที่เดิมหลังผ่าตัด และสามารถแพร่กระจายสู่อวัยวะอื่น ๆ ได้
ภาพเคสตัวอย่างของ ผู้ป่วยหญิงวัย 61 ปี กับขั้นตอนการรักษา จากวันที่ตรวจพบก้อนเนื้อร้าย จนปัจจุบันหายดีแล้ว
- ผู้ป่วยหญิงอายุ 61 ปี ปกติแข็งแรงดี คลำได้ก้อนที่ขาใต้หัวเข่าข้างขวาด้านนอกขนาด 5 เซนติเมตร ก้อนนูนแข็ง ขยับก้อนได้ค่อย ๆ โตขึ้น ไม่เจ็บ
- เดือนมีนาคม 2565 ทำ MRI ตรวจคลื่นแม่เหล็กไฟฟ้า พบก้อนขนาด 3.5 x 2.2 x 5.1 เซนติเมตร อยู่ชั้นใต้ผิวหนังติดกับกล้ามเนื้อของขา สงสัยมะเร็งเนื้อเยื่ออ่อน (soft tissue sarcoma)
- เดือนเมษายน 2565 ผ่าตัดกว้านเอาก้อนเนื้อที่ขาออก ส่งตรวจพยาธิวิทยาเป็น Myxofibrosarcoma มะเร็งของเนื้อเยื่อเกี่ยวพัน ขนาด 4.8 x 4.2 x 6 เซนติเมตร เกรดสูงระดับ 3 ไม่พบมะเร็งที่ขอบรอบ ๆ ก้อนเนื้อที่ตัดออก แสดงว่าแพทย์ผ่าตัดเอาเนื้องอกออกได้ทั้งหมด
- หลังผ่าตัด 2 สัปดาห์ เริ่มฉายรังสีที่ขาทั้งหมด 33 ครั้ง เพราะมะเร็งยังมีโอกาสกลับมาใหม่ เนื่องจากมะเร็งขนาดใหญ่กว่า 5 เซนติเมตร และมะเร็งเกรดสูงระดับ 3
- ติดตามผู้ป่วย 15 เดือนถึงปัจจุบัน วันที่ 11 สิงหาคม 2566 แผลหายดี ไม่พบก้อนกลับมาใหม่ที่บริเวณขาที่เคยผ่าตัด และไม่แพร่กระจายไปที่อวัยวะอื่น












