อดีตครูวัย 67 โพสต์อุทาหรณ์เตือนคนใช้ฟันปลอมต้องระวัง หลังหลุดติดคอตอนกินข้าว ต้องระดมหมอ 5 คน ช่วยส่องกล้องดึงออกมา ชี้หากหลวมควรไปหาหมอฟันเปลี่ยนใหม่ด่วน
จากนั้นจึงเรียกภรรยาและลูก ๆ มาช่วยกัน จนภรรยาของตนถามว่า ฟันปลอมหายไปไหน จึงทำให้รู้ทันทีว่าสิ่งแปลกปลอมที่หลุดไปติดลำคอก็คือฟันปลอม ด้วยความตกใจจึงรีบขับรถด้วยตนเองไปยังโรงพยาบาลที่อยู่ใกล้เคียงเพื่อให้แพทย์ช่วยเหลือเอาฟันปลอมที่หลุดติดคอออกโดยเร็ว หลังจากแพทย์มีการเอกซเรย์และทำซีทีสแกนอย่างละเอียด แล้วก็พบว่ามีฟันปลอมหลุดไปติดที่หลอดอาหาร โชคดีที่ไม่หลุดไปติดที่หลอดลม จึงมีการระดมแพทย์ทั้งศัลยกรรมและแพทย์หู คอ จมูก จำนวน 5 คน มาช่วยกันทำการส่องกล้องดึงเอาฟันปลอมออกจากคอได้อย่างปลอดภัย จึงอยากฝากเตือนไปยังผู้ใช้ฟันปลอมทุกคนว่าควรมีการตรวจสอบตลอด ถ้าหากมีอาการหลวมก็ขอให้ไปพบทันตแพทย์ทำใหม่ อย่าประมาท
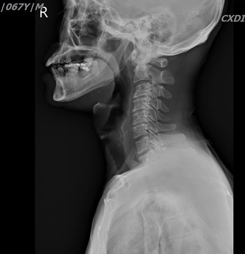
หมอจึงส่งเอกซเรย์คอมพิวเตอร์ จึงพบว่ามีฟันเทียมติดค้างในลำคอจริง
พอรู้ตำแหน่งแน่นอนจึงนำคนไข้เข้าห้องผ่าตัดและใช้กล้องสอดไปคีบฟันเทียมออกมาได้สำเร็จ
ต้องเตือนกันนะครับ ใครใส่ฟันเทียมสภาพไม่ดี หลวมหลุดง่าย ควรไปให้ทันตแพทย์ทำให้ใหม่ เพราะถ้าหลุดไปติดส่วนสำคัญ เช่น
เข้าไปในหลอดลม นี่จะอันตรายถึงชีวิตเลยทีเดียวครับ คุณหมอ วรปรัชญ์ สามารถ
หมอศัลยกรรมเจ้าของเคส"
ขอบคุณข้อมูลจาก Doctor กล้วย, โหนกระแส











