หมอเปิดเคสคนไข้ชายวัย 15 มีอาการเจ็บหน้าอก เอกซเรย์ปอดเจอโพรงฝีหนองในปอดขวา ตรวจดูดี ๆ ถึงกับอึ้ง พยาธิยั้วเยี้ย คาดสาเหตุจากปูดิบในส้มตำทำพิษ
ทว่า สายแซ่บอาจต้องเบรกความอร่อยเอาไว้ก่อน เมื่อล่าสุด (21 กันยายน 2566) นายแพทย์สุรพันธ์ เจริญธัญรักษ์ อายุรแพทย์โรคระบบหายใจและเวชบำบัดวิกฤต ได้เปิดเคสคนไข้วัย 15 ปี ที่มาหาหมอด้วยอาการเจ็บหน้าอก แต่เมื่อตรวจดูกลับพบเรื่องน่าตกใจ เพราะเจอพยาธิยั้วเยี้ยอยู่ในปอด และคาดว่าสาเหตุมาจากส้มตำปูปลาร้า โดยได้โพสต์ข้อความเตือนว่า "ตั้งสติก่อนกิน ตำปูปลาร้าดิบ"
คนไข้เจ็บหน้าอก นึกว่ากล้ามเนื้ออักเสบ แต่ไม่ใช่ สุดท้ายเจอแจ็กพ็อต ว้าวุ่นเลย !
นพ.สุรพันธ์ เปิดเผยว่า คนไข้รายนี้เป็นเด็กชายอายุ 15 ปี จากประเทศลาว จากการซักถามประวัติพบว่า คนไข้มีการดื่มสุรา ใช้บุหรี่ไฟฟ้า ไม่มีโรคประจำตัว แต่มีอาการเจ็บหน้าอกชายโครงด้านขวาล่าง ปวดไปด้านหลังนานกว่า 10 วัน จึงไปหาหมอที่คลินิก โดยแพทย์ได้ฉีดยากล้ามเนื้ออักเสบให้ ก่อนที่ 4 วันต่อมาจะมีไข้สูง หนาวสั่น ไอ และมีอาการปวดมากขึ้นจนนอนไม่ได้
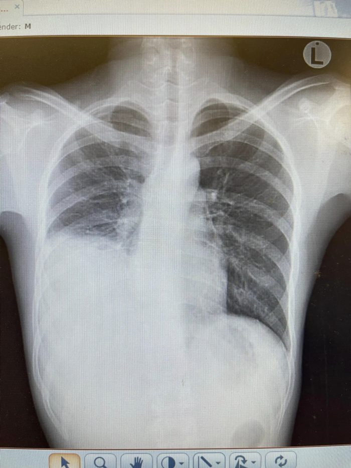
จากนั้นคนไข้ได้มาที่โรงพยาบาล นพ.สุรพันธ์ จึงมีการเอกซเรย์ปอดดู จนพบว่ามีโพรงฝีหนองในปอดขวาประมาณ 10 เซนติเมตร หมอรู้สึกแปลก ๆ เพราะโรคฝีในปอด (Lung abscess) ส่วนใหญ่มักจะเจอแบคทีเรียมากมาย แต่คนไข้รายนี้อายุยังน้อย แข็งแรงดี ไม่มีโรคประจำตัว แถมปอดยังไม่เหมือนอาการที่เกิดจากบุหรี่ไฟฟ้าอีกด้วย ซึ่งการดื่มเหล้าอาจจะทำให้ปอดอักเสบจากสารระคาย แต่ไม่น่าจะมีฝีในตับที่เกิดจากการติดเชื้อแบคทีเรีย
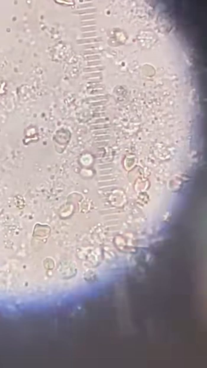
ถามประวัติคนไข้ว่ามีการกินของดิบไหม คนไข้เผยว่า ตอนปกติไม่กิน แต่ตอนเมาไม่รู้ ทำให้แพทย์สงสัยว่าอาการที่เกิดขึ้นอาจจะเป็นเพราะกลุ่มพยาธิ จึงทำการส่องกล้องหลอดลม ก็เจอแจ็กพ็อตว้าวุ่นเลย มีพยาธิใบไม้ปอดวิ่งไปวิ่งมาเต็มไปหมด
โดยพยาธิชนิดนี้
เป็นพยาธิชนิดหนึ่งที่อาศัยในปูน้ำจืด คนชอบเอาไปใส่ตำปูปลาร้า
เพราะคิดว่าดองเค็มแล้วพยาธิจะตาย แต่ความจริงมันไม่ตาย เมื่อคนกินเข้าไป
พยาธิก็จะไชออกมาจากลำไส้ จากนั้นก็ขึ้นไปตับ ขึ้นไปในปอด
เกิดโพรงฝีในปอดนั่นเอง









