หมอเผยเคส คนไข้ทนปวดหลังมา 5 ปี เข้าใจว่าเป็นเรื่องของกระดูก แต่หาหมอกลับไม่ดีขึ้น จนกระทั่งไปเอกซเรย์คอมพิวเตอร์และเจอสาเหตุจริง ๆ
คนที่มีปัญหาปวดหลังเรื้อรัง อาจจะคิดว่าสาเหตุนั้นเกิดจากโรคออฟฟิศซินโดรม บางคนก็รักษาด้วยการนวด หรือไปพบหมอจัดกระดูก หรือฝังเข็มและรักษาด้วยการแพทย์หลายวิธี แต่ล่าสุด 18 พฤศจิกายน 2566 เฟซบุ๊ก Sirianan Prasit แพทย์ท่านหนึ่ง ได้เผยภาพเอกซเรย์คอมพิวเตอร์ของคนไข้ ที่ทำให้เห็นว่าโรคปวดหลังเกิดได้จากหลายสาเหตุ ไม่ใช่เรื่องของกล้ามเนื้อหรือกระดูกเพียงอย่างเดียว
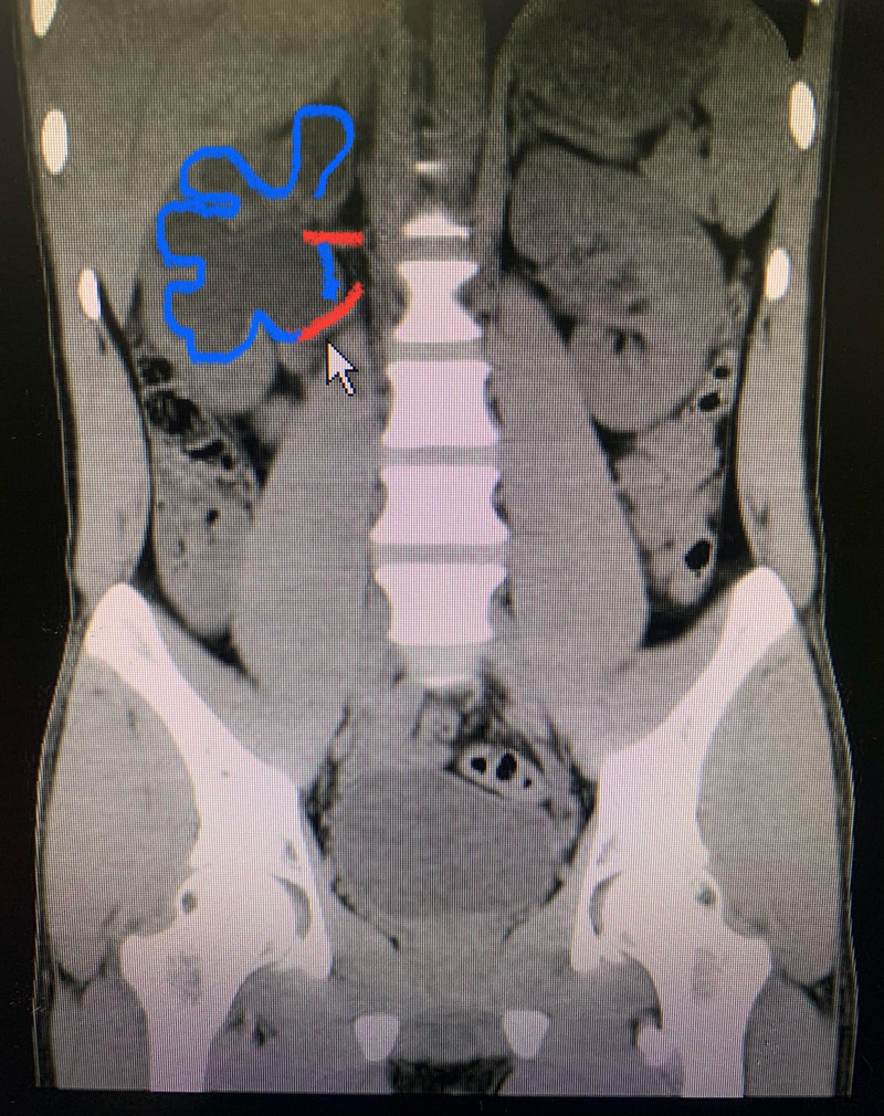
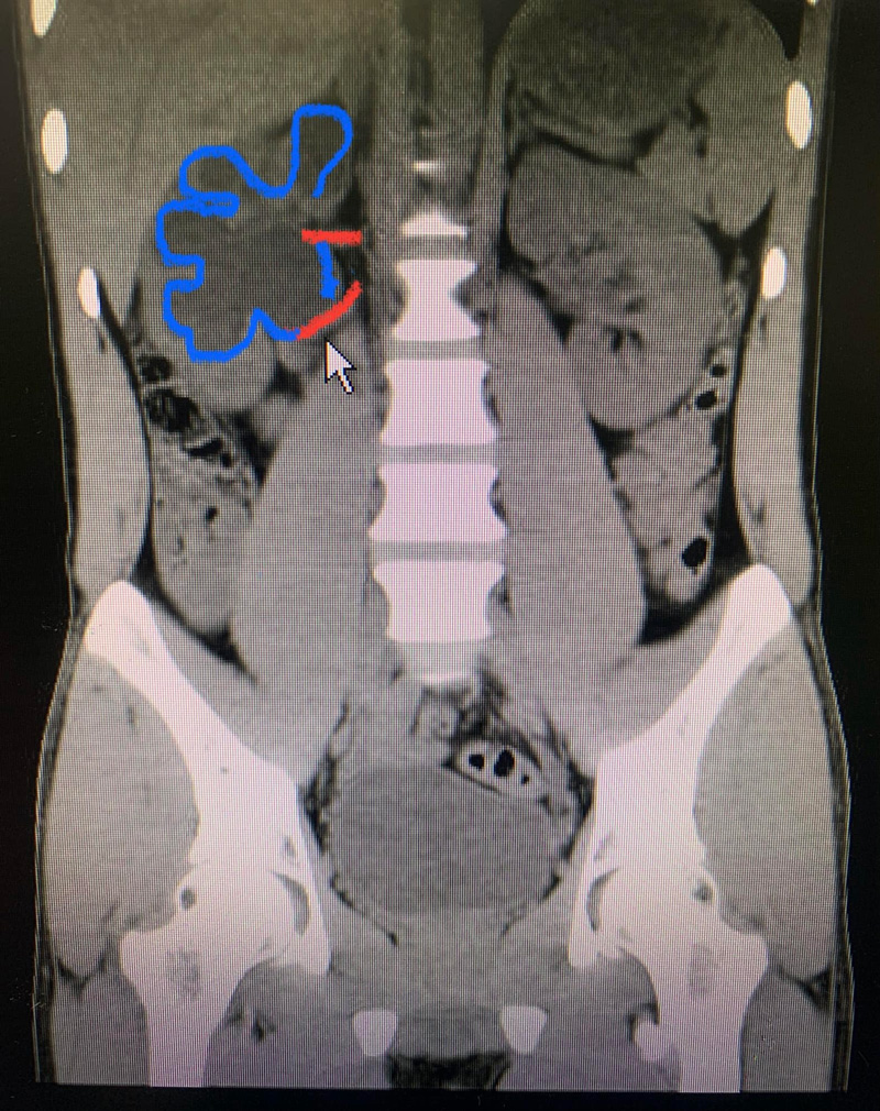
โดยที่คุณหมอบอกว่า คนไข้รายนี้ปวดหลังด้านขวามา 5 ปี และไปตรวจกับหมอกระดูกไม่เจอ เมื่อทำอัลตราซาวด์และเอกซเรย์คอมพิวเตอร์ ก็พบว่าไตขวาบวมเนื่องจากมีเส้นเลือดแดงเพิ่มมาอีกเส้น (เส้นสีแดงล่าง) และเส้นเลือดแดงนี้ไปกดทับท่อไต จนไตบวมน้ำ
โดยที่คุณหมอบอกว่า คนไข้รายนี้ปวดหลังด้านขวามา 5 ปี และไปตรวจกับหมอกระดูกไม่เจอ เมื่อทำอัลตราซาวด์และเอกซเรย์คอมพิวเตอร์ ก็พบว่าไตขวาบวมเนื่องจากมีเส้นเลือดแดงเพิ่มมาอีกเส้น (เส้นสีแดงล่าง) และเส้นเลือดแดงนี้ไปกดทับท่อไต จนไตบวมน้ำ
ภาพจาก เฟซบุ๊ก Sirianan Prasit
ทั้งนี้ คนเราจะมีเส้นเลือดแดงที่ไตด้านละเส้น หรือบางคนมีเส้นเลือดไตเส้นที่ 2 เข้ามาด้วย และถ้าเส้นเลือดนี้ไปกดทับท่อไต ก็จะส่งผลให้มีอาการปวดหลังเรื้อรังได้ และในเคสนี้ต้องเข้ารับการผ่าตัดเพื่อต่อท่อไตใหม่
นอกจากนี้ คุณหมอยังบอกว่า อาการปวดหลังอาจเกิดจาก นิ่วไต มะเร็งไต หนองรอบไต และถ้าติดเชื้อในทางเดินปัสสาวะบ่อย ๆ อาจจะทำให้เกิดนิ่วเขากวาง และสามารถปวดหลังได้เช่นกัน
นอกจากนี้ คุณหมอยังบอกว่า อาการปวดหลังอาจเกิดจาก นิ่วไต มะเร็งไต หนองรอบไต และถ้าติดเชื้อในทางเดินปัสสาวะบ่อย ๆ อาจจะทำให้เกิดนิ่วเขากวาง และสามารถปวดหลังได้เช่นกัน







