หมอมนูญ เปิดเคสวัณโรคปอดเทียม คาดสาเหตุรับเชื้อจากน้ำประปา สูดละอองเชื้อเข้าไปตอนใช้ฝักบัวอาบน้ำ ชี้มีจุดและพังผืดที่ปอด แม้ไม่ไอ ไม่มีไข้
![วัณโรคปอดเทียม วัณโรคปอดเทียม]()
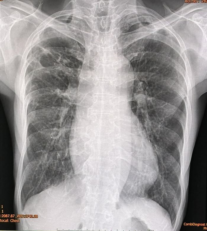
วันที่ 15 ตุลาคม 2567 นพ.มนูญ ลีเชวงวงศ์ แพทย์เฉพาะทางด้านโรคระบบทางเดินหายใจ โรงพยาบาลวิชัยยุทธ โพสต์ข้อความผ่านเฟซบุ๊ก หมอมนูญ ลีเชวงวงศ์ FC เผยกรณีของผู้ป่วยชาย อายุ 75 ปี ซึ่งไม่สูบบุหรี่ ไม่มีอาชีพทำสวนทำไร่ มาขอรับคำปรึกษาหลังเอกซเรย์ปอดผิดปกติ มีจุดและพังผืดที่ปอดข้างขวากลีบบน กลีบกลาง และปอดข้างซ้ายกลีบบน
รายงานเผยว่า ผู้ป่วยเคยเป็นวัณโรคปอดเมื่ออายุ 25 ปี รักษาหายแล้ว แต่ในเดือนเมษายน 2567 ได้ไปพบแพทย์ที่โรงพยาบาลใกล้บ้าน ด้วยอาการเบื่ออาหาร น้ำหนักลด ไม่มีไข้ ไม่ไอ ไม่มีเสมหะ แต่เอกซเรย์ปอดผิดปกติ มีจุดและพังผืดที่ปอดข้างขวากลีบบน กลีบกลาง และปอดข้างซ้ายกลีบบน (ดูรูป)
แพทย์เก็บเสมหะไม่ได้ จึงทำการส่องกล้องเข้าไปในหลอดลม ดูดเสมหะในหลอดลม ส่งเพาะเชื้อ พบวัณโรคเทียม Mycobacterium kansasii เชื้อไวตัวยา clarithromycin, rifampicin, moxifloxacin, amikacin แพทย์ที่นั่นให้ยา INH, rifampicin และ ethambutol ตั้งแต่เดือนเมษายน 2567 แต่ผู้ป่วยยังเบื่ออาหาร น้ำหนักลด จากนั้นในเดือนมิถุนายน 2567 จึงเข้ามาปรึกษา
โดยวินิจฉัยว่าติดเชื้อ M.kansasii
ในปอดไม่ทราบว่ารับเชื้อจากที่ไหน ได้ปรับยาเป็น INH, rifampicin,
ethambutol, azithromycin และวิตามิน B6 คนไข้รับยาได้ ไม่แพ้ยา
หลังกินยามีการติดตามอาการในเดือนกันยายน 2567 พบว่าผู้ป่วยสบายดี
น้ำหนักขึ้น 3 กิโลกรัม ไม่ไอ ไม่เหนื่อย ไม่มีไข้
วางแผนให้ยารักษาอย่างน้อย 1 ปี
ทั้งนี้ ในสหรัฐอเมริกา เชื้อวัณโรคเทียม M. kansasii ไม่พบในดินและในน้ำตามธรรมชาติ แต่พบได้บ่อยในน้ำประปา โรคนี้พบไม่บ่อย ไม่ติดต่อจากคนสู่คน คนปกติไม่ติดเชื้อนี้จากสิ่งแวดล้อม ผู้ป่วยรายนี้อาจหายใจเชื้อโรคที่ปนเปื้อนอยู่ในละอองน้ำประปาเวลาใช้ฝักบัวอาบน้ำ เนื่องจากเคยป่วยเป็นวัณโรคปอดเชื้อนี้จึงเข้าไปเจริญเติบโตในรอยแผลเก่าจากวัณโรค โรคนี้สามารถรักษาให้หายได้

ภาพจาก หมอมนูญ ลีเชวงวงศ์ FC
วันที่ 15 ตุลาคม 2567 นพ.มนูญ ลีเชวงวงศ์ แพทย์เฉพาะทางด้านโรคระบบทางเดินหายใจ โรงพยาบาลวิชัยยุทธ โพสต์ข้อความผ่านเฟซบุ๊ก หมอมนูญ ลีเชวงวงศ์ FC เผยกรณีของผู้ป่วยชาย อายุ 75 ปี ซึ่งไม่สูบบุหรี่ ไม่มีอาชีพทำสวนทำไร่ มาขอรับคำปรึกษาหลังเอกซเรย์ปอดผิดปกติ มีจุดและพังผืดที่ปอดข้างขวากลีบบน กลีบกลาง และปอดข้างซ้ายกลีบบน
รายงานเผยว่า ผู้ป่วยเคยเป็นวัณโรคปอดเมื่ออายุ 25 ปี รักษาหายแล้ว แต่ในเดือนเมษายน 2567 ได้ไปพบแพทย์ที่โรงพยาบาลใกล้บ้าน ด้วยอาการเบื่ออาหาร น้ำหนักลด ไม่มีไข้ ไม่ไอ ไม่มีเสมหะ แต่เอกซเรย์ปอดผิดปกติ มีจุดและพังผืดที่ปอดข้างขวากลีบบน กลีบกลาง และปอดข้างซ้ายกลีบบน (ดูรูป)
แพทย์เก็บเสมหะไม่ได้ จึงทำการส่องกล้องเข้าไปในหลอดลม ดูดเสมหะในหลอดลม ส่งเพาะเชื้อ พบวัณโรคเทียม Mycobacterium kansasii เชื้อไวตัวยา clarithromycin, rifampicin, moxifloxacin, amikacin แพทย์ที่นั่นให้ยา INH, rifampicin และ ethambutol ตั้งแต่เดือนเมษายน 2567 แต่ผู้ป่วยยังเบื่ออาหาร น้ำหนักลด จากนั้นในเดือนมิถุนายน 2567 จึงเข้ามาปรึกษา
ทั้งนี้ ในสหรัฐอเมริกา เชื้อวัณโรคเทียม M. kansasii ไม่พบในดินและในน้ำตามธรรมชาติ แต่พบได้บ่อยในน้ำประปา โรคนี้พบไม่บ่อย ไม่ติดต่อจากคนสู่คน คนปกติไม่ติดเชื้อนี้จากสิ่งแวดล้อม ผู้ป่วยรายนี้อาจหายใจเชื้อโรคที่ปนเปื้อนอยู่ในละอองน้ำประปาเวลาใช้ฝักบัวอาบน้ำ เนื่องจากเคยป่วยเป็นวัณโรคปอดเชื้อนี้จึงเข้าไปเจริญเติบโตในรอยแผลเก่าจากวัณโรค โรคนี้สามารถรักษาให้หายได้






