พ่อแม่วอนช่วยเหลือ น้องเดย์ตั้น วัย 2 ขวบ ป่วยโรคหายาก พัฒนาการถดถอยเรื่อย ๆ หมอเผยอาจอยู่ได้อีกไม่กี่ปี พบค่ารักษากว่า 140 ล้าน
![วอนช่วยน้องเดย์ตั้น วอนช่วยน้องเดย์ตั้น]()
ภาพจาก เดย์ตั้นน้อยสู้ MLD Metachromatic Leukodystrophy
วันที่ 26 มกราคม 2568 เพจเฟซบุ๊ก เดย์ตั้นน้อยสู้ MLD Metachromatic Leukodystrophy โพสต์เรื่องราวของลูกชายวัย 2 ขวบ 4 เดือน ป่วยเป็นโรค MLD โรคพันธุกรรมหายาก ค่ายาและค่ารักษาแพงกว่า 140 ล้านบาท จึงวอนให้ผู้ใจบุญช่วยเหลือน้องให้ได้รับการรักษาด้วย
โพสต์ดังกล่าวระบุว่า "สวัสดีครับ ผมชื่อ ดช.คินทร์ หรือเรียกผมว่า เดย์ตั้น ชื่อผมแปลว่าฤดูที่สดใสของพ่อกับแม่ ผมเป็นลูกคนที่สอง ผมมีพี่ชาย ชื่อวินท์ ผมชอบเล่นกับพี่ และแม่ชอบพาผมไปเที่ยวบ่อย ๆ
ตอนนี้ผมอายุ 2.4 ขวบ คุณหมอบอกว่าผมเป็นโรคร้ายแรง โรคหายากมาก ๆ ค่ายาและการรักษาแพงถึง 100 กว่าล้านบาท เกินกว่าที่พ่อแม่ผมฐานะปานกลางมนุษย์เงินเดือนธรรมดาจะหาทางรักษาได้ ผมโชคร้าย ที่โรคนี้ มันให้เวลาผมได้อยู่กับพ่อแม่พี่ชายอีกแค่ไม่เกิน 2 ปี พัฒนาการของผม มันจะถดถอยลงทุกระบบ ผมอาจจะนั่งไม่ได้ กินกลืนไม่ได้ จนถึงอาจจะหายใจเองไม่ได้ในที่สุด
![วอนช่วยน้องเดย์ตั้น วอนช่วยน้องเดย์ตั้น]()
ภาพจาก เดย์ตั้นน้อยสู้ MLD Metachromatic Leukodystrophy
หมอบอกผมว่า มันมียารักษาอยู่ต่างประเทศ ไกลถึงอเมริกา และประเทศอังกฤษ พ่อแม่เตรียมตัวพาผมเดินทางไกลแล้วครับ แต่ติดนิดเดียวครับ ติดตรงที่ไม่รู้เค้าจะรับเคสผมไหม หมอบอกว่าเขาจะรับคนที่ยังไม่มีอาการ และติดอย่างที่สอง ไม่รู้ว่าพ่อแม่ผมจะหาเงินมารักษาได้ไหม 140 กว่าล้านบาท
ย้อนเรื่องไปตอนแม่ท้องผม แม่ตั้งใจดูแลตัวเองอย่างดี และเลี้ยงผมมาอย่างดี แม่ทำทุกอย่างให้มีน้ำนม ผมกินนมแม่จน 1 ขวบ ผมเติบโตมาด้วยน้ำหนักที่ดี และสุขภาพที่แข็งแรง พัฒนาตามวัย หน้าตาผมจิ้มลิ้มน่ารัก ผมขี้เล่น ผมชอบสัตว์ ผมเริ่มพูดได้บ้างแล้ว แต่ผมเดินไม่เก่ง ทำได้แค่เกาะยืน จน 1 ขวบ กว่า ๆ แม่พาผมไปตรวจพัฒนาการ หมอบอกว่าผมเก่ง ตามวัยดีทุกอย่าง ผมแค่เดินช้า ผมขี้เกียจ แม่พาไปหาหลายหมอ ผมทำอัลตราซาวด์ ดูน้ำในสมอง หมอบอกว่าน้ำเยอะนิดหน่อย เพราะหัวผมดูค่อนข้างโต กระหม่อมก็ยังไม่ปิด แต่ก็ไม่พบว่ามีอะไรผิดปกติ
เวลาผ่านไปเรื่อย ๆ ผมก็ยังไม่เดิน แม่พาไป CT Scan สมอง ก็ยังไม่พบอะไรอีก ระหว่างเกือบขวบ จนขวบกว่า พัฒนาการผมถดถอยลง จากที่ยืน นั่ง เดินได้นิดหน่อย กลายเป็นผมเริ่มนั่งเองไม่ได้ หยิบจับอะไรมากไม่ได้ ผมพูดได้น้อยลง ความสดใสผมน้อยลง ผมเอาแต่งอแงร้องไห้ ผมป่วยบ่อย เพราะพี่ชายผม เข้าเนิร์สเซอรี ปีแรก ผมเป็นโควิด เป็น RSV 2 ครั้ง ลำไส้อักเสบ และป่วยน้ำมูกใสอยู่บ่อย ๆ แต่การป่วยเหล่านั้นก็ไม่ใช่สาเหตุที่ทำให้ผมไม่เดิน
แม่พยายามพาผมหาหมอ จนหมอขอ MRI ไขสันหลัง เพราะสงสัยเผื่อมีอะไรผิดปกติ ก็ยังไม่เจออะไร ขาผมเหยียดเกร็งมากขึ้น ผมเริ่มทรงตัวไม่อยู่มากขึ้น แทบไม่ยกแขนทำอะไรเลย ผมเริ่มทำตามคำสั่งแม่ได้น้อยลงเรื่อย ๆ ตาเริ่มลอย คอผมอ่อน เหมือนเด็กแรกเกิด ผมนอนยาก กินยาก เพราะผมแพ้อาหารหลายอย่าง ผมแพ้ Top 8 ผมกินนมวัวไม่ได้ กินไข่ กินถั่วไม่ได้ ผมกินแต่น้ำนมข้าว ผมมีปัญหาการขับถ่ายอีกด้วยครับ ผมจะร้องไห้ทุกครั้งที่ผมจะอึ ถึงผมจะเลี้ยงยากขนาดไหน พ่อแม่ก็พร้อมใจกันช่วยดูแลเลี้ยงดูผมอย่างดี และไม่ว่าอย่างไง แม่ก็พาผมกับพี่วิน เที่ยวบ่อยมาก ผมมีความสุข ผมชอบไปทะเลกับแม่กับป๊าและพี่วิน ผมชอบเล่นน้ำ ผมอยากวิ่งเล่นแล้ว ผมอยากหายป่วยแล้วครับ
แม่พยายามหาทางพาผมไปตรวจโรงพยาบาลหลาย ๆ ที่ คุณหมอให้ตรวจเมตาบอลิก เพราะผมขับถ่ายยาก ผลก็ยังไม่มีอะไรผิดปกติ คุณหมอให้แม่ผมตรวจ MRI สมองอีกครั้ง และตรวจเลือด Genes Genetics เพื่อเป็นการตรวจหาความผิดปกติทางพันธุกรรม เพราะขาแขนผม ตึงเกร็งมากขึ้นเรื่อย ๆ แถมร่างกายของผมยังทำอะไรได้น้อยลงมาก ๆ เหมือนเด็กอายุแค่ 4-6 เดือนเท่านั้น
ผมใช้เวลาตรวจอยู่ร่วมปี พี่ ๆ อยากรู้ไหมครับ ว่าผมเป็นอะไร ผมป่วยเป็นโรค MLD ครับ เป็นโรคพันธุกรรมที่หายากมาก ๆ ชื่อว่า Metachromatic Leukodystrophy
![วอนช่วยน้องเดย์ตั้น วอนช่วยน้องเดย์ตั้น]()
ภาพจาก เดย์ตั้นน้อยสู้ MLD Metachromatic Leukodystrophy
ทางเดียวที่จะหาย หรือดีขึ้น ก็คือ ยีนส์บำบัด Gene therapy ที่ราคา ราว ๆ 140 ล้านบาท โรคนี้มันคือ MLD : Metachromatic leukodystrophy เป็นโรคจากการขาดเอนไซม์ Arylsulfatase A (ARSA) ซึ่งทำหน้าที่สำคัญในกระบวนการสร้างเยื่อหุ้มเซลล์ประสาท (Myelin) โดยมีหน้าที่ Recycle โปรตีน Sphingomyelin (ที่บริษัทนมผงชอบเอามาโฆษณา ปกติร่างกายเราสร้างเองได้) เยื่อหุ้มเซลล์ประสาทมีความสำคัญมากโดยช่วยทำให้การนำกระแสประสาทเร็วขึ้น เมื่อสร้างเยื่อหุ้มได้ไม่ดี+มีสารคั่งในเซลล์จากการขาดเอนไซม์ เซลล์ประสาทก็จะทำงานผิดปกติ เสื่อมลง และถดถอยลงในที่สุด
Gene therapy คืออะไร คือการเอายีนที่ปกติเข้าไปในเซลล์ของผู้ป่วย เพื่อแก้ไขสาเหตุของโรค ในการรักษาโรค MLD นี้คือต้องทำให้เซลล์ของผู้ป่วยนั้นสามารถสร้าง Enzyme ARSA ได้นั่นเอง
แม่ผมคาดหวังว่า จะติดต่อศูนย์วิจัยโรงพยาบาลที่อเมริกาหรือ UK หรือที่ใดบนโลกใบนี้ ได้รับการรักษาผมโดยเร็ว เพราะโรคนี้ จะทำให้ผมถดถอยลงเรื่อย ๆ และวันนั้นของผมจะมาถึงเร็วมากขึ้น
คุณหมอจึงแนะนำให้ครอบครัวผม ทำการระดมทุนรับบริจาคเพื่อเป็นค่ารักษาและค่าใช้จ่ายของผมครับ ขอบคุณผู้ใหญ่ใจดีล่วงหน้าเลยครับ เดี่ยวแม่ผมจะรีบจัดการโดยเร็วที่สุด ให้ถูกต้องและโปร่งใสที่สุด ผมอยากกลับมาเดินได้ กินได้ พูดได้ เที่ยวเล่นกับพี่ชายผมได้เหมือนเดิม ผมไม่อยากต้องจากไปในวัยแค่ไม่กี่ขวบ ขอให้มีปาฏิหาริย์
ขณะที่ผู้ใช้เฟซบุ๊กชื่อ Meya คุณแม่ของน้องเดย์ตั้น
โพสต์เฟซบุ๊กแชร์เรื่องราวของน้องเพิ่มว่า "สวัสดีค่ะทุกคน
เรามีเรื่องที่ทุกข์ใจที่สุดในชีวิต อยากมาเล่า มาแชร์
พร้อมกับอยากมาขอความช่วยเหลือจากเพื่อนทุก ๆ คนด้วยค่ะ
มีหลายคนถามว่าช่วงนี้เราเป็นอะไรหรือเปล่า มีหลายคนส่งกำลังใจมาให้มากมาย ทั้งที่ยังไม่รู้ว่าเกิดอะไรขึ้นด้วยซ้ำ อีกทั้งมีอีกหลายคนร่วมอนุโมทนาไปกับเราทุกครั้งที่เราทำบุญ และขอให้เราสมหวังกับสิ่งที่เราปรารถนา เราทราบซึ้งใจอยากขอบคุณทุกกำลังใจจริงๆ ทุกคำปลอบ และกำลังใจที่ส่งมา มันส่งผลต่อจิตใจเราและครอบครัวมาก ๆ จริง ๆ ค่ะ แต่เราไม่รู้จะผ่านเหตุการณ์เรื่องนี้ไปยังไงดี
![วอนช่วยน้องเดย์ตั้น วอนช่วยน้องเดย์ตั้น]()
ภาพจาก เดย์ตั้นน้อยสู้ MLD Metachromatic Leukodystrophy
ถ้าเป็นเพื่อน ๆ จะทำยังไงดี ถ้าได้รับรู้จากคุณหมอว่าลูกคุณป่วย เป็นโรคทางพันธุกรรม เป็นโรคหายาก โรคร้ายแรง ที่ไม่มีทางรักษา และโรคนี้ มันให้เวลาน้องไม่เกินอายุ 5 ขวบ เท่านั้น และหมอก็บอกว่าเดย์ตั้นอาจจะมีอายุอยู่ไม่ถึง 2 ปีนี้ด้วยซ้ำ มันเศร้ามากนะ หัวใจเราผู้เป็นแม่แตกสลายไปหมดแล้ว อุ้มลูกมองหน้าลูกทุกวัน ทำไมมันต้องมาเกิดกับเดย์ตั้นด้วย
เราใช้เวลาเสียใจ และเราพยายามกลับมาตั้งสติและพยายามหาข้อมูลเกี่ยวกับโรคบ้า ๆ นี้ แทบไม่มีในไทยเลย ไม่มีการรักษาอะไรเลย จะมีก็แต่ยารักษาอยู่ที่เมืองนอก อเมริกา และ UK ก็คือการักษาด้วยยีนส์ บำบัด ราคา 4.25 ล้านเหรียญ หรือ 140 ล้านบาท เศร้าเข้าไปอีก จะทำยังไงให้ลูกได้รักษา จะทำยังไงที่จะเข้าถึงโรงพยาบาลศูนย์วิจัยที่เมืองนอกได้เร็วที่สุด มันเป็นยาใหม่ และแพงมาก ๆ และจะหาเงินจากไหน 140 ล้านบาท กับครอบครัวเรา พ่อแม่ก็มนุษย์เงินเดือนธรรมดา จะหาเงินจากไหนมารักษาลูก หรือจะรอคอยวันนั้นของลูกมาถึงโดยไม่ทำอะไรเลยเหรอ ได้เหรอ พ่อแม่จะทำยังไงดี นอนไม่หลับ คิดไม่ตก ทำอะไรต้องทำให้เร็วที่สุด เพราะน้องมีเวลาน้อยมาก ๆ
วันนี้จึงตั้งใจมาก ๆ อยากมาเล่า มาแชร์ รวมถึงมาขอความช่วยเหลือจากเพื่อน ๆ เพราะหัวอกคนเป็นแม่ เป็นพ่อ คงจะต้องทำให้เต็มที่ที่สุด ก่อนวันนั้นของลูกเราจะมาถึงจริง ๆ มี 5 อย่างที่เราตั้งใจทำในช่วงเวลาที่เหลือน้อยนิดจากนี้
![วอนช่วยน้องเดย์ตั้น วอนช่วยน้องเดย์ตั้น]()
ภาพจาก เดย์ตั้นน้อยสู้ MLD Metachromatic Leukodystrophy
ข้อที่ 1 เราอยากติดต่อโรงพยาบาลศูนย์วิจัย บริษัทยา ที่อเมริกา ให้ได้โดยเร็วที่สุด ใครพอแนะนำติดต่อให้ได้บ้างไหมคะ มีใครอยู่อเมริกา พอจะไปถามหรือติดต่อให้ได้ไหมคะ ib เข้ามาได้นะคะ
ข้อที่ 2 ถ้าหลังจากได้รับอนุมัติเรื่องการรักษา สำหรับค่ายาและการรักษาที่แพงมาก หลักร้อยล้านบาท เราอยากจะขอเปิดรับบริจาคให้ลูกเราได้ยาอย่างเร็วที่สุด ก่อนที่น้องจะถดถอยไปมากกว่านี้ แล้วสุดท้ายจะไม่มียาไหนรักษาได้ เราไม่อยากทำแบบนี้ เราไม่อยากรบกวนคนอื่น ๆ เลย แต่มันเกินกว่ากำลังเราจริง ๆ และเรื่องนี้มันสำคัญกับเรามาก ๆ ผู้เป็นแม่คงทำเต็มที่ที่สุด
ข้อที่ 3 เราอยากขอให้เพื่อน ๆ กด like กดแชร์ เพจน้องเดย์ตั้นสู้ MLD Metachromatic Leukodystrophy เราตั้งใจทำเพจขึ้น เพื่อให้ความรู้ และแชร์เรื่องราวที่ลูกเราเป็น ไม่อยากให้ต้องเกิดขึ้นกับคนอื่น ๆ เลย
ข้อที่ 4 เราตั้งใจจะใช้เวลาที่เหลือจากนี้ให้คุ้มค่า และมีความสุดกับลูกมากที่สุด แบบสุด ๆ เราจะพาลูกไปเที่ยวเหมือนเดิม แบบที่เรายังไม่รู้ว่าลูกเราป่วย เราตั้งใจเลี้ยงเขาแบบเด็กปกติคนหนึ่ง
ข้อที่ 5 ขอให้ปาฏิหาริย์ มีจริง ไม่ว่าจะเกิดอะไรขึ้น แม่จะรักและดูแลลูกให้ดีที่สุดเท่าที่แม่คนหนึ่งจะทำได้
ขอบคุณทุกคนที่คนที่อ่านมาถึงตรงนี้ ขอบคุณที่กำลังใจและ ความช่วยเหลือ เราและครอบครัวขอบคุณมาก ๆ จริง ๆ ส่วนเรากว่าจะเขียนเสร็จก็น้ำตาท่วมบ้าน

ภาพจาก เดย์ตั้นน้อยสู้ MLD Metachromatic Leukodystrophy
วันที่ 26 มกราคม 2568 เพจเฟซบุ๊ก เดย์ตั้นน้อยสู้ MLD Metachromatic Leukodystrophy โพสต์เรื่องราวของลูกชายวัย 2 ขวบ 4 เดือน ป่วยเป็นโรค MLD โรคพันธุกรรมหายาก ค่ายาและค่ารักษาแพงกว่า 140 ล้านบาท จึงวอนให้ผู้ใจบุญช่วยเหลือน้องให้ได้รับการรักษาด้วย
โพสต์ดังกล่าวระบุว่า "สวัสดีครับ ผมชื่อ ดช.คินทร์ หรือเรียกผมว่า เดย์ตั้น ชื่อผมแปลว่าฤดูที่สดใสของพ่อกับแม่ ผมเป็นลูกคนที่สอง ผมมีพี่ชาย ชื่อวินท์ ผมชอบเล่นกับพี่ และแม่ชอบพาผมไปเที่ยวบ่อย ๆ
ตอนนี้ผมอายุ 2.4 ขวบ คุณหมอบอกว่าผมเป็นโรคร้ายแรง โรคหายากมาก ๆ ค่ายาและการรักษาแพงถึง 100 กว่าล้านบาท เกินกว่าที่พ่อแม่ผมฐานะปานกลางมนุษย์เงินเดือนธรรมดาจะหาทางรักษาได้ ผมโชคร้าย ที่โรคนี้ มันให้เวลาผมได้อยู่กับพ่อแม่พี่ชายอีกแค่ไม่เกิน 2 ปี พัฒนาการของผม มันจะถดถอยลงทุกระบบ ผมอาจจะนั่งไม่ได้ กินกลืนไม่ได้ จนถึงอาจจะหายใจเองไม่ได้ในที่สุด

ภาพจาก เดย์ตั้นน้อยสู้ MLD Metachromatic Leukodystrophy
หมอบอกผมว่า มันมียารักษาอยู่ต่างประเทศ ไกลถึงอเมริกา และประเทศอังกฤษ พ่อแม่เตรียมตัวพาผมเดินทางไกลแล้วครับ แต่ติดนิดเดียวครับ ติดตรงที่ไม่รู้เค้าจะรับเคสผมไหม หมอบอกว่าเขาจะรับคนที่ยังไม่มีอาการ และติดอย่างที่สอง ไม่รู้ว่าพ่อแม่ผมจะหาเงินมารักษาได้ไหม 140 กว่าล้านบาท
ย้อนเรื่องไปตอนแม่ท้องผม แม่ตั้งใจดูแลตัวเองอย่างดี และเลี้ยงผมมาอย่างดี แม่ทำทุกอย่างให้มีน้ำนม ผมกินนมแม่จน 1 ขวบ ผมเติบโตมาด้วยน้ำหนักที่ดี และสุขภาพที่แข็งแรง พัฒนาตามวัย หน้าตาผมจิ้มลิ้มน่ารัก ผมขี้เล่น ผมชอบสัตว์ ผมเริ่มพูดได้บ้างแล้ว แต่ผมเดินไม่เก่ง ทำได้แค่เกาะยืน จน 1 ขวบ กว่า ๆ แม่พาผมไปตรวจพัฒนาการ หมอบอกว่าผมเก่ง ตามวัยดีทุกอย่าง ผมแค่เดินช้า ผมขี้เกียจ แม่พาไปหาหลายหมอ ผมทำอัลตราซาวด์ ดูน้ำในสมอง หมอบอกว่าน้ำเยอะนิดหน่อย เพราะหัวผมดูค่อนข้างโต กระหม่อมก็ยังไม่ปิด แต่ก็ไม่พบว่ามีอะไรผิดปกติ
เวลาผ่านไปเรื่อย ๆ ผมก็ยังไม่เดิน แม่พาไป CT Scan สมอง ก็ยังไม่พบอะไรอีก ระหว่างเกือบขวบ จนขวบกว่า พัฒนาการผมถดถอยลง จากที่ยืน นั่ง เดินได้นิดหน่อย กลายเป็นผมเริ่มนั่งเองไม่ได้ หยิบจับอะไรมากไม่ได้ ผมพูดได้น้อยลง ความสดใสผมน้อยลง ผมเอาแต่งอแงร้องไห้ ผมป่วยบ่อย เพราะพี่ชายผม เข้าเนิร์สเซอรี ปีแรก ผมเป็นโควิด เป็น RSV 2 ครั้ง ลำไส้อักเสบ และป่วยน้ำมูกใสอยู่บ่อย ๆ แต่การป่วยเหล่านั้นก็ไม่ใช่สาเหตุที่ทำให้ผมไม่เดิน
แม่พยายามพาผมหาหมอ จนหมอขอ MRI ไขสันหลัง เพราะสงสัยเผื่อมีอะไรผิดปกติ ก็ยังไม่เจออะไร ขาผมเหยียดเกร็งมากขึ้น ผมเริ่มทรงตัวไม่อยู่มากขึ้น แทบไม่ยกแขนทำอะไรเลย ผมเริ่มทำตามคำสั่งแม่ได้น้อยลงเรื่อย ๆ ตาเริ่มลอย คอผมอ่อน เหมือนเด็กแรกเกิด ผมนอนยาก กินยาก เพราะผมแพ้อาหารหลายอย่าง ผมแพ้ Top 8 ผมกินนมวัวไม่ได้ กินไข่ กินถั่วไม่ได้ ผมกินแต่น้ำนมข้าว ผมมีปัญหาการขับถ่ายอีกด้วยครับ ผมจะร้องไห้ทุกครั้งที่ผมจะอึ ถึงผมจะเลี้ยงยากขนาดไหน พ่อแม่ก็พร้อมใจกันช่วยดูแลเลี้ยงดูผมอย่างดี และไม่ว่าอย่างไง แม่ก็พาผมกับพี่วิน เที่ยวบ่อยมาก ผมมีความสุข ผมชอบไปทะเลกับแม่กับป๊าและพี่วิน ผมชอบเล่นน้ำ ผมอยากวิ่งเล่นแล้ว ผมอยากหายป่วยแล้วครับ
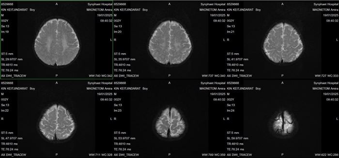
แม่พยายามหาทางพาผมไปตรวจโรงพยาบาลหลาย ๆ ที่ คุณหมอให้ตรวจเมตาบอลิก เพราะผมขับถ่ายยาก ผลก็ยังไม่มีอะไรผิดปกติ คุณหมอให้แม่ผมตรวจ MRI สมองอีกครั้ง และตรวจเลือด Genes Genetics เพื่อเป็นการตรวจหาความผิดปกติทางพันธุกรรม เพราะขาแขนผม ตึงเกร็งมากขึ้นเรื่อย ๆ แถมร่างกายของผมยังทำอะไรได้น้อยลงมาก ๆ เหมือนเด็กอายุแค่ 4-6 เดือนเท่านั้น
ผมใช้เวลาตรวจอยู่ร่วมปี พี่ ๆ อยากรู้ไหมครับ ว่าผมเป็นอะไร ผมป่วยเป็นโรค MLD ครับ เป็นโรคพันธุกรรมที่หายากมาก ๆ ชื่อว่า Metachromatic Leukodystrophy

ภาพจาก เดย์ตั้นน้อยสู้ MLD Metachromatic Leukodystrophy
ทางเดียวที่จะหาย หรือดีขึ้น ก็คือ ยีนส์บำบัด Gene therapy ที่ราคา ราว ๆ 140 ล้านบาท โรคนี้มันคือ MLD : Metachromatic leukodystrophy เป็นโรคจากการขาดเอนไซม์ Arylsulfatase A (ARSA) ซึ่งทำหน้าที่สำคัญในกระบวนการสร้างเยื่อหุ้มเซลล์ประสาท (Myelin) โดยมีหน้าที่ Recycle โปรตีน Sphingomyelin (ที่บริษัทนมผงชอบเอามาโฆษณา ปกติร่างกายเราสร้างเองได้) เยื่อหุ้มเซลล์ประสาทมีความสำคัญมากโดยช่วยทำให้การนำกระแสประสาทเร็วขึ้น เมื่อสร้างเยื่อหุ้มได้ไม่ดี+มีสารคั่งในเซลล์จากการขาดเอนไซม์ เซลล์ประสาทก็จะทำงานผิดปกติ เสื่อมลง และถดถอยลงในที่สุด
Gene therapy คืออะไร คือการเอายีนที่ปกติเข้าไปในเซลล์ของผู้ป่วย เพื่อแก้ไขสาเหตุของโรค ในการรักษาโรค MLD นี้คือต้องทำให้เซลล์ของผู้ป่วยนั้นสามารถสร้าง Enzyme ARSA ได้นั่นเอง
แม่ผมคาดหวังว่า จะติดต่อศูนย์วิจัยโรงพยาบาลที่อเมริกาหรือ UK หรือที่ใดบนโลกใบนี้ ได้รับการรักษาผมโดยเร็ว เพราะโรคนี้ จะทำให้ผมถดถอยลงเรื่อย ๆ และวันนั้นของผมจะมาถึงเร็วมากขึ้น
คุณหมอจึงแนะนำให้ครอบครัวผม ทำการระดมทุนรับบริจาคเพื่อเป็นค่ารักษาและค่าใช้จ่ายของผมครับ ขอบคุณผู้ใหญ่ใจดีล่วงหน้าเลยครับ เดี่ยวแม่ผมจะรีบจัดการโดยเร็วที่สุด ให้ถูกต้องและโปร่งใสที่สุด ผมอยากกลับมาเดินได้ กินได้ พูดได้ เที่ยวเล่นกับพี่ชายผมได้เหมือนเดิม ผมไม่อยากต้องจากไปในวัยแค่ไม่กี่ขวบ ขอให้มีปาฏิหาริย์
มีหลายคนถามว่าช่วงนี้เราเป็นอะไรหรือเปล่า มีหลายคนส่งกำลังใจมาให้มากมาย ทั้งที่ยังไม่รู้ว่าเกิดอะไรขึ้นด้วยซ้ำ อีกทั้งมีอีกหลายคนร่วมอนุโมทนาไปกับเราทุกครั้งที่เราทำบุญ และขอให้เราสมหวังกับสิ่งที่เราปรารถนา เราทราบซึ้งใจอยากขอบคุณทุกกำลังใจจริงๆ ทุกคำปลอบ และกำลังใจที่ส่งมา มันส่งผลต่อจิตใจเราและครอบครัวมาก ๆ จริง ๆ ค่ะ แต่เราไม่รู้จะผ่านเหตุการณ์เรื่องนี้ไปยังไงดี

ภาพจาก เดย์ตั้นน้อยสู้ MLD Metachromatic Leukodystrophy
ถ้าเป็นเพื่อน ๆ จะทำยังไงดี ถ้าได้รับรู้จากคุณหมอว่าลูกคุณป่วย เป็นโรคทางพันธุกรรม เป็นโรคหายาก โรคร้ายแรง ที่ไม่มีทางรักษา และโรคนี้ มันให้เวลาน้องไม่เกินอายุ 5 ขวบ เท่านั้น และหมอก็บอกว่าเดย์ตั้นอาจจะมีอายุอยู่ไม่ถึง 2 ปีนี้ด้วยซ้ำ มันเศร้ามากนะ หัวใจเราผู้เป็นแม่แตกสลายไปหมดแล้ว อุ้มลูกมองหน้าลูกทุกวัน ทำไมมันต้องมาเกิดกับเดย์ตั้นด้วย
เราใช้เวลาเสียใจ และเราพยายามกลับมาตั้งสติและพยายามหาข้อมูลเกี่ยวกับโรคบ้า ๆ นี้ แทบไม่มีในไทยเลย ไม่มีการรักษาอะไรเลย จะมีก็แต่ยารักษาอยู่ที่เมืองนอก อเมริกา และ UK ก็คือการักษาด้วยยีนส์ บำบัด ราคา 4.25 ล้านเหรียญ หรือ 140 ล้านบาท เศร้าเข้าไปอีก จะทำยังไงให้ลูกได้รักษา จะทำยังไงที่จะเข้าถึงโรงพยาบาลศูนย์วิจัยที่เมืองนอกได้เร็วที่สุด มันเป็นยาใหม่ และแพงมาก ๆ และจะหาเงินจากไหน 140 ล้านบาท กับครอบครัวเรา พ่อแม่ก็มนุษย์เงินเดือนธรรมดา จะหาเงินจากไหนมารักษาลูก หรือจะรอคอยวันนั้นของลูกมาถึงโดยไม่ทำอะไรเลยเหรอ ได้เหรอ พ่อแม่จะทำยังไงดี นอนไม่หลับ คิดไม่ตก ทำอะไรต้องทำให้เร็วที่สุด เพราะน้องมีเวลาน้อยมาก ๆ
วันนี้จึงตั้งใจมาก ๆ อยากมาเล่า มาแชร์ รวมถึงมาขอความช่วยเหลือจากเพื่อน ๆ เพราะหัวอกคนเป็นแม่ เป็นพ่อ คงจะต้องทำให้เต็มที่ที่สุด ก่อนวันนั้นของลูกเราจะมาถึงจริง ๆ มี 5 อย่างที่เราตั้งใจทำในช่วงเวลาที่เหลือน้อยนิดจากนี้

ภาพจาก เดย์ตั้นน้อยสู้ MLD Metachromatic Leukodystrophy
ข้อที่ 1 เราอยากติดต่อโรงพยาบาลศูนย์วิจัย บริษัทยา ที่อเมริกา ให้ได้โดยเร็วที่สุด ใครพอแนะนำติดต่อให้ได้บ้างไหมคะ มีใครอยู่อเมริกา พอจะไปถามหรือติดต่อให้ได้ไหมคะ ib เข้ามาได้นะคะ
ข้อที่ 2 ถ้าหลังจากได้รับอนุมัติเรื่องการรักษา สำหรับค่ายาและการรักษาที่แพงมาก หลักร้อยล้านบาท เราอยากจะขอเปิดรับบริจาคให้ลูกเราได้ยาอย่างเร็วที่สุด ก่อนที่น้องจะถดถอยไปมากกว่านี้ แล้วสุดท้ายจะไม่มียาไหนรักษาได้ เราไม่อยากทำแบบนี้ เราไม่อยากรบกวนคนอื่น ๆ เลย แต่มันเกินกว่ากำลังเราจริง ๆ และเรื่องนี้มันสำคัญกับเรามาก ๆ ผู้เป็นแม่คงทำเต็มที่ที่สุด
ข้อที่ 3 เราอยากขอให้เพื่อน ๆ กด like กดแชร์ เพจน้องเดย์ตั้นสู้ MLD Metachromatic Leukodystrophy เราตั้งใจทำเพจขึ้น เพื่อให้ความรู้ และแชร์เรื่องราวที่ลูกเราเป็น ไม่อยากให้ต้องเกิดขึ้นกับคนอื่น ๆ เลย
ข้อที่ 4 เราตั้งใจจะใช้เวลาที่เหลือจากนี้ให้คุ้มค่า และมีความสุดกับลูกมากที่สุด แบบสุด ๆ เราจะพาลูกไปเที่ยวเหมือนเดิม แบบที่เรายังไม่รู้ว่าลูกเราป่วย เราตั้งใจเลี้ยงเขาแบบเด็กปกติคนหนึ่ง
ข้อที่ 5 ขอให้ปาฏิหาริย์ มีจริง ไม่ว่าจะเกิดอะไรขึ้น แม่จะรักและดูแลลูกให้ดีที่สุดเท่าที่แม่คนหนึ่งจะทำได้
ขอบคุณทุกคนที่คนที่อ่านมาถึงตรงนี้ ขอบคุณที่กำลังใจและ ความช่วยเหลือ เราและครอบครัวขอบคุณมาก ๆ จริง ๆ ส่วนเรากว่าจะเขียนเสร็จก็น้ำตาท่วมบ้าน






