หญิงได้กลิ่นเหม็นเท้าตลอดเวลา ก่อนไปพบแพทย์ เจอสาเหตุของปัญหาไม่ใช่ที่เท้าแต่เป็นที่จมูก ความจริงถูกเผยสุดสะพรึง
วันที่ 22 กุมภาพันะ 2568 เว็บไซต์ ETtoday เผยว่า เมื่อเร็ว ๆ นี้ มีเคสคนไข้ที่น่าตกตะลึงในไต้หวัน ภายหลังจากเธอมีอาการแปลก ๆ ได้กลิ่นเหม็นเท้าอยู่ตลอดเวลา รวมถึงมีอาการน้ำมูกไหลและคัดจมูกเรื้อรัง จนทำให้เธอทุกข์ทรมานเป็นอย่างมาก แม้ว่าจะกินยาแต่ก็ไม่หาย ในที่สุดเธอจึงตัดสินใจไปตรวจอย่างละเอียด ก่อนจะได้พบ "ต้นเหตุสุดสะพรึง" ที่ซ่อนอยู่
ดร.เฉิน ซื่อซี แพทย์ผู้เชี่ยวชาญด้านหู คอ จมูก ในไต้หวัน ได้เปิดเผยเคสของคนไข้หญิงรายนี้ เธออายุ 50 ปี มีอาการน้ำมูกไหลลงคอและคัดจมูกบริเวณใบหน้าด้านขวามาเป็นเวลา 3 เดือน ก่อนหน้านี้เธอเคยไปที่คลินิก และรับยาปฏิชีวนะไปกิน แต่ทันทีที่เธอหยุดกินยา อาการน้ำมูกไหลลงคอก็กลับมาอีก จึงได้พบแพทย์เฉพาะทางเพื่อทำการรักษา
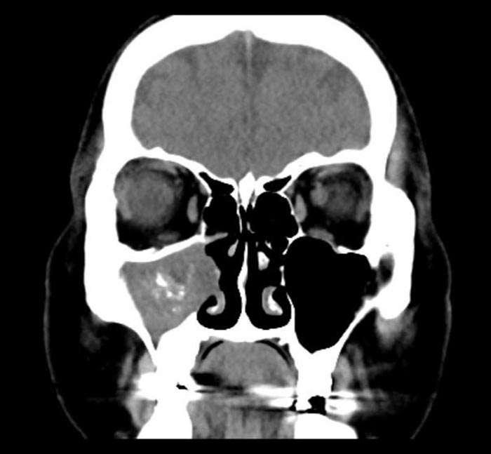
ดร.เฉิน เผยว่า หลังจากตรวจในเบื้องต้นเขาคาดว่าอาการของคนไข้น่าจะไม่ใช่แค่ไซนัสอักเสบเฉียบพลันแบบธรรมดา จึงได้ทำการตรวจซีทีสแกน จนได้พบว่า โพรงอากาศข้างจมูก หรือไซนัสฝั่งขวาของเธอถูกอุดตันด้วย ก้อนเชื้อราขนาดใหญ่ จึงวินิจฉัยว่า คนไข้หญิงรายนี้เป็น "ไซนัสอักเสบจากเชื้อรา" ต้องรักษาด้วยการผ่าตัด โดยแพทย์ได้นำก้อนเสมหะที่รวมอยู่กับเชื้อราออกจากโพรงจมูกของคนไข้อย่างระมัดระวัง จนสามารถนำออกมาได้ทั้งหมด ซึ่งพบว่ามีจำนวนมากอย่างน่าตกใจ

ภาพจาก เฟซบุ๊ก 耳鼻喉科 陳世璽醫師
สำหรับไซนัสอักเสบจากเชื้อรา ดร.เฉินอธิบายว่า เกิดจากการติดเชื้อราในโพรงไซนัส มักเกิดขึ้นในผู้ที่มีภูมิคุ้มกันต่ำ และอาศัยในที่มีความชื้นสูง โดยปกติหากมนุษย์สูดเชื้อราเข้าสู่ร่างกาย มันถูกกำจัดที่บริเวณโพรงจมูกและผ่านระบบภูมิคุ้มกัน อย่างไรก็ตาม หากโพรงจมูกทำหน้าที่ได้ไม่ดี หรือระบบภูมิคุ้มกันไม่สมดุล เชื้อราในโพรงจมูกจะก่อให้เกิดปัญหา ทำให้เกิดไซนัสอักเสบจากเชื้อราในที่สุด
ในกรณีของคนไข้หญิงรายนี้ ดร.เฉิน เผยว่า เป็นไซนัสอักเสบจากเชื้อราแบบไม่รุกราน โดยคาดว่าสาเหตุอาจเกี่ยวข้องกับการทำงานของขนอ่อนภายในโพรงไซนัส ที่ไม่สามารถทำหน้าที่กำจัดสปอร์เชื้อราได้ เมื่อเชื้อราในไซนัสก่อตัวขึ้นเป็นก้อนและมีขนาดใหญ่ การกำจัดจะทำได้ยาก สุดท้ายจึงจำเป็นต้องผ่าตัด และโชคดีที่หลังจากการผ่าตัด อาการได้กลิ่นเหม็นเท้าที่น่ารำคาญก็ถูกกำจัดหายไปด้วยเช่นเดียวกัน ทำให้เธอสามารถกลับมาใช้ชีวิตได้ตามปกติในที่สุด

ภาพจาก เฟซบุ๊ก 耳鼻喉科 陳世璽醫師

ภาพจาก เฟซบุ๊ก 耳鼻喉科 陳世璽醫師
ขอบคุณข้อมูลจาก ETtoday






