หมอเปิดเคสช็อก เด็ก 14 ปอดอักเสบจนเป็นฝ้าขาว พิษจากบุหรี่ไฟฟ้า ซักจนรู้สูบบุหรี่ไฟฟ้ามา 1 ปี ห้อยคอไว้เลย อึ้งสูบหนักเดือนละ 9,000 สูบ
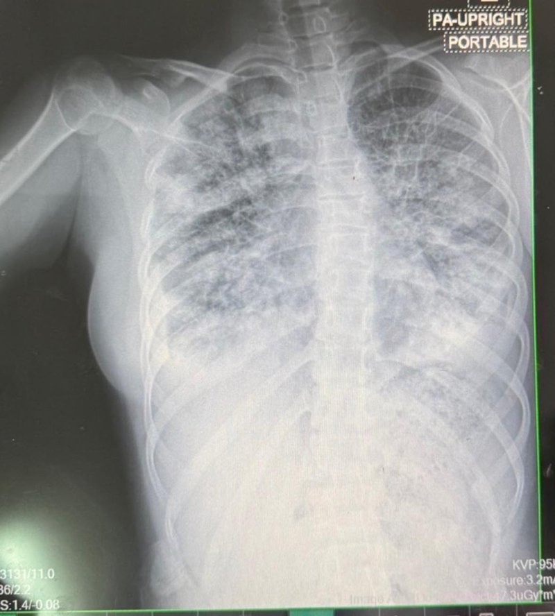
ขณะที่ล่าสุด (21 เมษายน 2568) พญ.สุจิตรา เอกตาแสง ผู้เชี่ยวชาญสาขากุมารเวชศาสตร์ โพสต์ข้อความผ่านเฟซบุ๊ก Sujitra Eaktasang เล่าเคสอุทาหรณ์ถึงอันตรายของบุหรี่ไฟฟ้า หลังพบเด็กหญิงอายุ 14 ปี ป่วยโรคปอดอักเสบหลังใช้บุหรี่ไฟฟ้ามานาน 1 ปี พร้อมเผยพฤติกรรมการสูบที่น่าตกใจ
โดยระบุว่า "บุหรี่ไฟฟ้ามันร้ายจริง ๆ เด็กหญิง 14 ปี ใช้บุหรี่ไฟฟ้า 1 ปี เลิกใช้มา 2 เดือนเพราะร้านหยุดขาย มาด้วยเหนื่อย หายใจหอบ ซักประวัติกลับไปเริ่มสูบตอนอายุ 13 ปี ใช้เดือนละ 1 แท่ง สูบทุกวัน (9,000 สูบต่อเดือน) น้องบอกห้อยคอไปเลยอยากสูบตอนไหนก็ยกขึ้นมา EVALI เคสแรกเจอที่เลยค่ะ"
ปัจจุบันพบเคส EVALI ในเด็กไทยเยอะขึ้นเรื่อย ๆ เคสอายุน้อยสุดคือ 14 ขวบ
![ช็อก เปิดภาพปอดเด็ก 14 หลังสูบบุหรี่ไฟฟ้า 1 ปี ช็อก เปิดภาพปอดเด็ก 14 หลังสูบบุหรี่ไฟฟ้า 1 ปี]()
บุหรี่ไฟฟ้า นับเป็นภัยใกล้ตัวที่มีอันตรายต่อสุขภาพไม่แพ้บุหรี่ และยังเป็นประเด็นที่น่าวิตกในสังคม เมื่อพบการใช้บุหรี่ไฟฟ้าในกลุ่มเยาวชนมากขึ้น แถมยังมีการผลิตมาในรูปแบบหลากหลาย ง่ายต่อการพกพา ซึ่งเป็นเรื่องยากที่ผู้ปกครองยากจะสอดส่องดูแล
ขณะที่ล่าสุด (21 เมษายน 2568) พญ.สุจิตรา เอกตาแสง ผู้เชี่ยวชาญสาขากุมารเวชศาสตร์ โพสต์ข้อความผ่านเฟซบุ๊ก Sujitra Eaktasang เล่าเคสอุทาหรณ์ถึงอันตรายของบุหรี่ไฟฟ้า หลังพบเด็กหญิงอายุ 14 ปี ป่วยโรคปอดอักเสบหลังใช้บุหรี่ไฟฟ้ามานาน 1 ปี พร้อมเผยพฤติกรรมการสูบที่น่าตกใจ
โดยระบุว่า "บุหรี่ไฟฟ้ามันร้ายจริง ๆ เด็กหญิง 14 ปี ใช้บุหรี่ไฟฟ้า 1 ปี เลิกใช้มา 2 เดือนเพราะร้านหยุดขาย มาด้วยเหนื่อย หายใจหอบ ซักประวัติกลับไปเริ่มสูบตอนอายุ 13 ปี ใช้เดือนละ 1 แท่ง สูบทุกวัน (9,000 สูบต่อเดือน) น้องบอกห้อยคอไปเลยอยากสูบตอนไหนก็ยกขึ้นมา EVALI เคสแรกเจอที่เลยค่ะ"
ภาพจาก เฟซบุ๊ก Sujitra Eaktasang
ด้านเพจ Drama-addict ให้ข้อมูลเพิ่มเติมว่า EVALI คือภาวะปอดอักเสบจากการสูบบุหรี่ไฟฟ้า เกิดจากสารเคมีต่าง ๆ ในน้ำยาบุหรี่ไฟฟ้า ไปทำให้เกิดการอักเสบที่ปอด จนปอดขาวปื้ดแบบในภาพ ซึ่งจะตามมาด้วยอาการเจ็บ แน่นหน้าอก เหนื่อยง่าย บางเคสไอเป็นเลือด ระบบหายใจล้มเหลว และเสียชีวิต
ปัจจุบันพบเคส EVALI ในเด็กไทยเยอะขึ้นเรื่อย ๆ เคสอายุน้อยสุดคือ 14 ขวบ







