หมอเผยเคส ครูอนุบาลสาววัย 30 ปี ไม่สูบบุหรี่-ไม่มีอาการไอ แต่ตรวจเจอก้อนเนื้อในปอดนับสิบ เผยเหตุไม่คาดคิด จากกิจวัตรในห้องเรียน
![ครูอนุบาลสาวไม่สูบบุหรี่ เจอก้อนเนื้อในปอดนับสิบ เผยเหตุไม่คาดคิด ครูอนุบาลสาวไม่สูบบุหรี่ เจอก้อนเนื้อในปอดนับสิบ เผยเหตุไม่คาดคิด]()
ภาพจาก เฟซบุ๊ก 蘇一峰
วันที่ 24 กรกฎาคม 2568 เว็บไซต์ Sin Chew เผยเรื่องราวเกี่ยวกับเคสคนไข้หญิงรายหนึ่งในไต้หวัน เธอเป็นคุณครูอนุบาลวัย 30 ปี ซึ่งไม่มีพฤติกรรมสูบบุหรี่หรือมีอาการไอ แต่กลับตรวจสอบความผิดปกติที่น่าตกใจ มีก้อนเนื้อกระจายอยู่ทั่วในปอดนับสิบจุด ก่อนที่สาเหตุจะถูกเปิดเผยว่า เกิดจากกิจวัตรที่คาดไม่ถึงในห้องเรียน
ซูอี้เฟิง แพทย์ผู้เชี่ยวชาญด้านโรคปอดและทรวงอกในไต้หวัน ได้โพสต์แชร์เรื่องราวนี้ผ่านทางโซเชียลมีเดียเมื่อวันที่ 23 กรกฎาคม ที่ผ่านมา เผยว่า ครูสาวรายนี้ได้ไปที่โรงพยาบาลขนาดใหญ่แห่งหนึ่งเพื่อตรวจสุขภาพ รวมถึงเข้ารับการตรวจคัดกรองมะเร็งปอดด้วย Low-dose CT scan หรือการตรวจเอกซเรย์คอมพิวเตอร์แบบใช้ปริมาณรังสีต่ำ
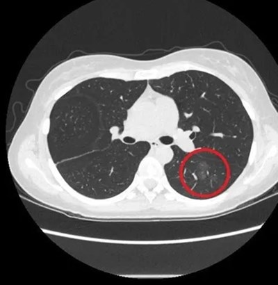
กระทั่งผลปรากฏว่า พบก้อนเนื้อในปอดที่มีลักษณะขุ่นมัวคล้ายฝ้ากระจก เป็นจำนวนมากกว่า 10 ตำแหน่ง และบางตำแหน่งมีขนาดใหญ่กว่า 1 เซนติเมตร หลังจากแพทย์ซักถามประวัติคนไข้โดยละเอียด ทำให้ทราบว่า เธอจำเป็นต้องใช้น้ำยาฟอกขาวสำหรับฆ่าเชื้อเป็นประจำในห้องเรียน แพทย์จึงวินิจฉัยว่า เธอเป็นโรคปอดอักเสบจากสารเคมี ปอดอักเสบที่เกิดจากการสูดดมน้ำยาฟอกขาว ไม่ใช่ก้อนเนื้อในปอดที่เกิดจากมะเร็ง
![ครูอนุบาลสาวไม่สูบบุหรี่ เจอก้อนเนื้อในปอดนับสิบ เผยเหตุไม่คาดคิด ครูอนุบาลสาวไม่สูบบุหรี่ เจอก้อนเนื้อในปอดนับสิบ เผยเหตุไม่คาดคิด]()
ภาพจาก เฟซบุ๊ก 蘇一峰
ต่อมาทางแพทย์ได้ดำเนินการรักษาด้วยยาที่เหมาะสม
และกำชับให้คนไข้รายนี้ลดปริมาณการสูดดมสารฟอกขาว
และหลังจากการรักษาและติดตามผลเป็นเวลา 1 ปี
พบว่าก้อนเนื้อในปอดของเธอหายไปทั้งหมด
โพสต์ดังกล่าวได้รับความสนใจและก่อให้เกิดการถกเถียงอย่างดุเดือดบนโลกออนไลน์ โดยเฉพาะประเด็นเรื่องการใช้สารฟอกขาวในโรงเรียน โดยหลายคนเข้าใจว่า โรงเรียนอนุบาลจำเป็นต้องใช้สารฟอกขาวในการฆ่าเชื้อไวรัสเอนเทอโรไวรัส (Enterovirus) ที่ก่อให้เกิดโรคโดยเฉพาะในเด็ก ตั้งแต่ ไข้หวัดธรรมดา ไปจนถึงอาการรุนแรง เช่น โรคมือ เท้า ปาก เยื่อหุ้มสมองอักเสบ หรือกล้ามเนื้อหัวใจอักเสบ
ด้วยเหตุดังกล่าว จึงส่งผลให้ครูต้องสัมผัสกับสารฟอกขาวบ่อยครั้ง ผู้ใช้โซเชียลจึงแสดงความเป็นกังวลและเป็นห่วงสุขภาพของครูในโรงเรียน ภายหลังจากตระหนักถึงผลที่ตามมาของการใช้สารฟอกขาวเป็นเวลานานและบ่อยครั้งเช่นนี้ ทั้งนี้ มีชาวเน็ตรายหนึ่งถามว่า "แล้วแอลกอฮอล์จะมีผลกระทบไหม ?" ซูอี้เฟิง ได้เข้าไปตอบว่า "แอลกอฮอล์ปลอดภัยกว่า"
ขอบคุณข้อมูลจาก Sin Chew, Next Apple

ภาพจาก เฟซบุ๊ก 蘇一峰
วันที่ 24 กรกฎาคม 2568 เว็บไซต์ Sin Chew เผยเรื่องราวเกี่ยวกับเคสคนไข้หญิงรายหนึ่งในไต้หวัน เธอเป็นคุณครูอนุบาลวัย 30 ปี ซึ่งไม่มีพฤติกรรมสูบบุหรี่หรือมีอาการไอ แต่กลับตรวจสอบความผิดปกติที่น่าตกใจ มีก้อนเนื้อกระจายอยู่ทั่วในปอดนับสิบจุด ก่อนที่สาเหตุจะถูกเปิดเผยว่า เกิดจากกิจวัตรที่คาดไม่ถึงในห้องเรียน
ซูอี้เฟิง แพทย์ผู้เชี่ยวชาญด้านโรคปอดและทรวงอกในไต้หวัน ได้โพสต์แชร์เรื่องราวนี้ผ่านทางโซเชียลมีเดียเมื่อวันที่ 23 กรกฎาคม ที่ผ่านมา เผยว่า ครูสาวรายนี้ได้ไปที่โรงพยาบาลขนาดใหญ่แห่งหนึ่งเพื่อตรวจสุขภาพ รวมถึงเข้ารับการตรวจคัดกรองมะเร็งปอดด้วย Low-dose CT scan หรือการตรวจเอกซเรย์คอมพิวเตอร์แบบใช้ปริมาณรังสีต่ำ
กระทั่งผลปรากฏว่า พบก้อนเนื้อในปอดที่มีลักษณะขุ่นมัวคล้ายฝ้ากระจก เป็นจำนวนมากกว่า 10 ตำแหน่ง และบางตำแหน่งมีขนาดใหญ่กว่า 1 เซนติเมตร หลังจากแพทย์ซักถามประวัติคนไข้โดยละเอียด ทำให้ทราบว่า เธอจำเป็นต้องใช้น้ำยาฟอกขาวสำหรับฆ่าเชื้อเป็นประจำในห้องเรียน แพทย์จึงวินิจฉัยว่า เธอเป็นโรคปอดอักเสบจากสารเคมี ปอดอักเสบที่เกิดจากการสูดดมน้ำยาฟอกขาว ไม่ใช่ก้อนเนื้อในปอดที่เกิดจากมะเร็ง

ภาพจาก เฟซบุ๊ก 蘇一峰
โพสต์ดังกล่าวได้รับความสนใจและก่อให้เกิดการถกเถียงอย่างดุเดือดบนโลกออนไลน์ โดยเฉพาะประเด็นเรื่องการใช้สารฟอกขาวในโรงเรียน โดยหลายคนเข้าใจว่า โรงเรียนอนุบาลจำเป็นต้องใช้สารฟอกขาวในการฆ่าเชื้อไวรัสเอนเทอโรไวรัส (Enterovirus) ที่ก่อให้เกิดโรคโดยเฉพาะในเด็ก ตั้งแต่ ไข้หวัดธรรมดา ไปจนถึงอาการรุนแรง เช่น โรคมือ เท้า ปาก เยื่อหุ้มสมองอักเสบ หรือกล้ามเนื้อหัวใจอักเสบ
ด้วยเหตุดังกล่าว จึงส่งผลให้ครูต้องสัมผัสกับสารฟอกขาวบ่อยครั้ง ผู้ใช้โซเชียลจึงแสดงความเป็นกังวลและเป็นห่วงสุขภาพของครูในโรงเรียน ภายหลังจากตระหนักถึงผลที่ตามมาของการใช้สารฟอกขาวเป็นเวลานานและบ่อยครั้งเช่นนี้ ทั้งนี้ มีชาวเน็ตรายหนึ่งถามว่า "แล้วแอลกอฮอล์จะมีผลกระทบไหม ?" ซูอี้เฟิง ได้เข้าไปตอบว่า "แอลกอฮอล์ปลอดภัยกว่า"
ขอบคุณข้อมูลจาก Sin Chew, Next Apple






