ทาสแมวหายห่วง อ.ซิฟู แมวหนัก 8.5 กิโลกรัม ตกจากชั้น 6 คอนโด ใส่กระจกรถแตก ปลอดภัยไม่ช้ำใน มีเพียงแค่เล็บหลุด 2 นิ้ว และเป็นห้อเลือด แต่เจ้าของแมวโป๊ะแตก เจอนิติฯ เคลียร์แล้ว
ภาพจาก เฟซบุ๊ก Apiwat Toyothaka
กลายเป็นข่าวสุดอึ้งไปเลยเมื่อเจ้าของรถคันหนึ่งโพสต์ภาพรถของตนเองซึ่งเกิดอุบัติเหตุขณะจอดอยู่ที่คอนโด พบว่าถูกบางอย่างตกลงมากระแทกบริเวณกระจกหลังจนแตกเป็นวงกว้าง แต่สาเหตุที่กระจกกลายเป็นรูขนาดใหญ่นั้นไม่ได้มาจาก ก้อนหิน หรือลูกมะพร้าว แต่มาจาก น้องแมว ซึ่งมีน้ำหนัก 8.5 กิโลกรัม ที่ตกลงมาจากชั้น 6 ของคอนโด งานนี้หลายคนเป็นห่วงทั้งเจ้าของรถและน้องแมวว่าเป็นอย่างไรบ้าง
อ่านข่าว : จอดรถที่คอนโด นิติโทร. แจ้งมีแมวตกใส่ ตะลึงถึงขั้นกระจกแตก ที่แท้แมว 8 กก.
ภาพจาก เฟซบุ๊ก Apiwat Toyothaka
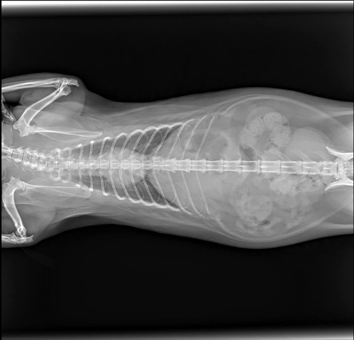
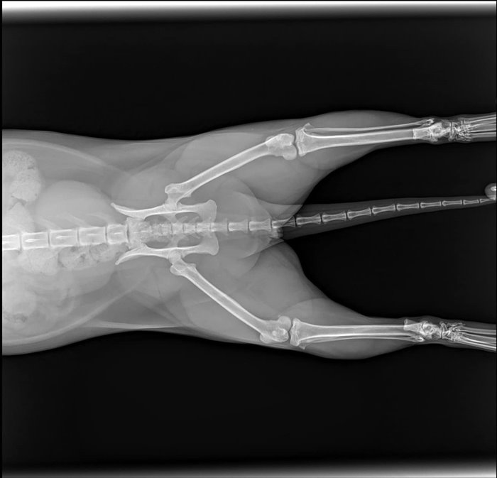
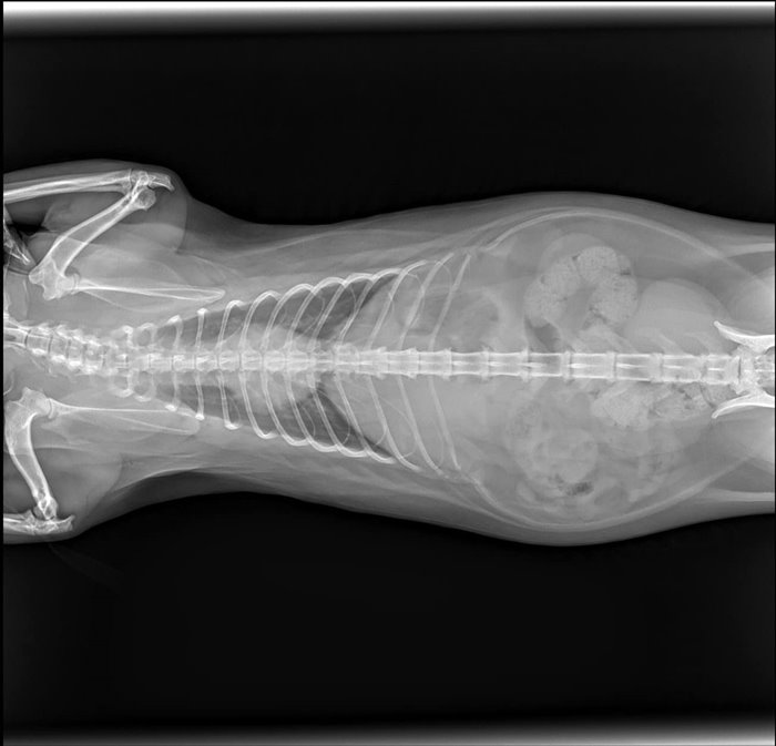
วันที่ 28 พฤษภาคม 2566 สรยุทธ สุทัศนะจินดา รายงานว่า ได้มีการอัปเดตอาการ น้องซิฟู เหมียวน้อยตัวดังกล่าวว่า "อัปเดตอาการน้องซิฟู หรืออาจารย์ซิฟู ในกังฟูแพนด้านั่นเอง น้องปกติทุกอย่าง กินข้าวได้ อึขับถ่ายปกติ ไม่มีอาการบวมหรือช้ำในใด ๆ มีเพียงแค่เล็บหลุด 2 นิ้ว และเป็นห้อเลือดเท่านั้นครับ"
ภาพจาก เฟซบุ๊ก Apiwat Toyothaka
ขณะที่ คุณธนกร ผู้จัดการนิติฯ กล่าวว่า ในส่วนของโครงการที่ทางบริษัทดูแลอยู่นั้นไม่ได้อนุญาตให้มีการเลี้ยงสัตว์เลี้ยง และเป็นข้อบังคับของนิติฯ ด้วย ทางนิติฯ ได้ปรับเจ้าของห้องซึ่งเลี้ยงแมว 1,000 บาท พร้อมฝากถึงลูกบ้านไม่ให้นำสัตว์เลี้ยงเข้ามาเลี้ยง เพราะการเลี้ยงสัตว์อาจมีผลกระทบกับเพื่อนบ้าน และถ้าเกิดเหตุอย่างนี้จะลำบาก

ภาพจาก เฟซบุ๊ก Apiwat Toyothaka

ภาพจาก เฟซบุ๊ก Apiwat Toyothaka







