ชวนสี้ที่ห้องพิศวง ! ผัวเมียแฉข้อมูลสุดช็อก พระอ้างชะตาขาด หลอกมีเพศสัมพันธ์ ได้ทั้งหญิง-ชาย แถมให้เล่นเซ็กส์หมู่ พบตำรวจยังโดน !
จากกรณีสองสามีภรรยา ร้อง "นายเอกภพ เหลืองประเสริฐ" ผู้ก่อตั้งเพจสายไหมต้องรอด หลังถูกพระที่สำนักสงฆ์แห่งหนึ่งใน จ.เพชรบูรณ์ หลอกลวงให้มีเพศสัมพันธ์ อ้างว่าเป็นการต่อดวงชะตาชีวิตให้พระรูปนั้น หลอกลวงให้มีเซ็กส์หมู่กับลูกศิษย์คนอื่น อีกทั้งพระรูปนั้นสามารถมีเพศสัมพันธ์ได้ทั้งหญิงและชาย
ล่าสุดรายการโหนกระแส ออกอากาศวันที่ 12 มิถุนายน 2567 ดำเนินรายการโดย "หนุ่ม กรรชัย กำเนิดพลอย" ผลิตในนามบริษัท ดีคืนดีวัน จำกัด ออกอากาศทุกวันจันทร์-ศุกร์ เวลา 12.35 น. ทางช่อง 3 กดหมายเลข 33 สัมภาษณ์ เอ-บี-ซี เหยื่อพระรูปดังกล่าว , เอกภพ เหลืองประเสริฐ, ดร.ประยุทธ ประเทศเสนา หรือมหาหมี รองประธานมูลนิธิทนายกองทัพธรรม
- คุณเอ เป็นภรรยาคุณบี ตอนแรกที่คุณเอกฟังตกใจมั้ย ?
เอกภพ : ตกใจมาก พยายามถามเขาหลายรอบว่ามันใช่เหรอ ขอดูหลักฐานต่าง ๆ ซึ่งหลักฐานที่เขามี มันค่อนข้างเยอะพอสมควร พอให้เขาเล่าลำดับเหตุการณ์ แต่ละคนก็เล่าสอดคล้องกัน มีโอกาสเป็นอย่างที่น้องเล่าให้ฟัง
- เรารู้จักพระรูปนี้ได้ยังไง ?
เอ : เริ่มแรกเขาเป็นพระเกจิที่มีชื่อเสียง เคยลงหนังสือแห่งนึง มีเพื่อน ๆ กันชวนไปเจอที่วัดเขา เจอเขาครั้งแรก เขาทักเราเลยว่าเฮ้ย มาได้ยังไง รอดได้ยังไง
- รู้จักนานหรือยัง ?
เอ : สิบปีได้ พอเขาทักแบบนี้ก็รู้สึกแปลกดี แต่เขามีชื่อเสียงระดับนึง เราก็รู้สึกอยากรู้จัก คำสอนคำพูดของเขาหลายอย่างค่อนข้างดี เราไม่ได้ศึกษาเยอะ ตอนนั้นเราเด็กมาก ไม่มีความรู้อะไรเลย เราไปกับเพื่อน ๆ เรามีโอกาสได้คุยกับเขา
- ทำไมเชื่อถือศรัทธาเขาขนาดนั้น ?
เอ : พอได้เจอเขา ผ่านระยะเวลาไป เขาบอกว่าเราเหมือนลูกสาวเขาในอดีตชาติ เขาต้องการมาดูแลชดเชย เขาตามหาเรามานานมากแล้ว เขามองเห็นว่าเราโดนของจากพ่อเลี้ยงเรามา เขาอยากช่วยเรานะ อ้างว่าเขาเป็นพ่อที่ต้องการช่วยแก้ในสิ่งที่เราโดนมา เขามีการเดินทางมากรุงเทพฯ เจอบรรดาลูกศิษย์ เราเคยได้เข้าไปสัมผัส ก็คิดว่าพระรูปนี้น่าจะเก่งมาก เพราะมีลูกศิษย์ลูกหาที่เชื่อถือเขาเยอะ
- สิบปีไปมาหาสู่กับพระรูปนี้บ่อยมั้ย ?
เอ : สองสามเดือนทีนึง ทุกครั้งที่เขามากรุงเทพฯ ก็จะมีไปบ้าง แต่ช่วงแรก ๆ ไม่ได้เข้าไปเยอะ เพราะเราไม่ได้ชอบแนวแบบนี้ เราได้ฟังคำสอนเขาบางอย่างเรารู้สึกว่ามันน่าสนใจดีนะ เราไม่เชื่อเรื่องพวกมูเตลู แต่เขาดันมาทายเราถูก
- เรารู้จักบีได้ไง ?
บี : ช่วงประมาณปี 51-52 ผมยังเรียนอยู่ เห็นเขาลงหนังสือพระ ผมก็อ่านประวัติเขา มีเรื่องราวของเขา ผมรู้สึกอยากไปเจอ ก็ไปเจอเขา ได้พูดคุยกับเขา รู้สึกว่าเขาเป็นคนพูดจาได้ดี มีความน่าเชื่อถือ เขาเล่าเรื่องราวต่าง ๆ ฟังแล้วเราคล้อยตาม ฟังแล้วเพลิน สนุก เช่น เขาไปเรียนวิชามา เจอเรื่องราวอย่างนี้มา
- โชว์สกิลอภินิหาร ?
บี : เทพองค์นั้นองค์นี้เสียไปแล้วมาสอน ในนิมิตบ้าง เราฟังแล้วเพลิน ตอนนั้นอายุผมก็ยังเด็ก ๆ อยู่ ก็รู้สึกว่าฟังแล้วเรื่องนี้น่าสนใจดี อยากฟังอีก ส่วนตัวผมชื่นชอบเรื่องแนวนี้อยู่แล้ว เรื่องอภินิหาร ความเชื่อ
- คุณรู้จักคุณเอหรือยัง ?
บี : ยังครับ เราไปเจอกันที่วัดนั้น แล้วที่รู้จักกัน เขาบอกว่าเขาเป็นคนดึงผมมาให้เขา เหมือนเป็นเนื้อคู่ เหมือนเขาใช้วิชา ใช้พลังที่เขามี ให้ผมมาคบกับเอ
- สิบปีเหมือนกัน ต่างคนต่างเจอพระรูปนี้ แล้วคุณก็มาเจอกันที่วัดแห่งนี้ เขาผลักดันให้คบหากัน ?
บี : เขาบอกว่าเขาคัดสรรมาให้อย่างดีที่สุดแล้ว
- คุณเลยคบหากัน ?
บี : ปี 51-52 ผมพาซี เพื่อนผมไป ครั้งแรกเขาบอกว่าคนนี้ทีหลังอย่าพามาอีกนะ ถามผมก่อนว่าคนนี้สนิทมั้ย รักเขาเป็นเพื่อนจริง ๆ ใช่มั้ย ถ้าไม่รักจริงไม่ต้องพามาอีกนะ เพราะเขาเห็นว่าจริง ๆ แล้วซีเหมือนชะตาจะขาดแล้ว ไม่ต้องพามาอีก เขาจี้มาแบบนี้ เราก็เพื่อนรักผมเลยครับ ช่วยหน่อยเถอะ ขอร้องให้เขาช่วยหน่อย ก็เลยพาเขาไปหา เขาก็บอกว่าจริง ๆ ชะตาขาดไปแล้ว แต่ไม่ต้องห่วงแล้ว มาอยู่กับเขา ไม่ต้องกลัวแล้ว ไม่เป็นไร
- คุณซีเชื่อมั้ย ?
ซี : ผมก็งงเหมือนกัน ไม่ได้มู ไม่เคยเจอใครทักแบบนี้มาก่อนในชีวิต บวกกับที่บ้านผมมีแผลอยู่แล้ว พ่อติดการพนัน พี่เป็นบ้า ทำให้ผมรู้สึกว่าหรือครอบครัวเรา ตัวเราโดนของจริง ๆ ชีวิตถึงได้แย่ขนาดนี้ แล้วเขาทักมาอีก มันก็สะกิดแผลใจเราด้วย ตอนนั้นเขาเปิดบ้านใช้ไข่กับเหล้าขาวในการถอนของ ให้เข้าไปในห้องกับลูกศิษย์สองคน เอาผ้าขายม้า เอาไข่ไก่มาดูดที่ตัว ตามจุดต่าง ๆ แล้วตอกออกมาให้ดู ถ้ามีอะไรดำ ๆ จะบอกว่ามันเป็นของไม่ดี ซึ่งมันก็มี ตอนนั้นก็คิดว่าอาจเป็นไปได้ เขาเอาไข่มาถึงจุดที่ลับด้วย เขาอ้างว่าที่ลับเป็นจุดวาสนา อะไรดีไม่ดีอยู่ตรงนั้น ทำอะไรไม่สำเร็จ อาภัพรักก็อยู่ตรงนี้ด้วย เขาเอาไข่มาแตะตรงที่ลับด้วย แล้วใช้เหล้าขาวล้าง
- ทำไมเรื่องราวเกิดรุนแรง ?
เอ : หลังเจอเขาปีแรก ๆ เขายังมีการพูดเรื่องความเชื่อ บอกว่าเราโดนของ จะถอนของ ใช้ไข่ไปเรื่อย ๆ แล้วค่อย ๆ ขยับพิธีการมากขึ้น เขาอ้างว่าตอนนี้ถอนที่อยู่ข้างนอก เหมือนแก้วน้ำที่มีน้ำดำ ๆ อยู่ในนั้น ต้องค่อย ๆ ใส่น้ำใสลงไปเรื่อย ๆ ต้องถอน ถอดออกเรื่อย ๆ ค่อย ๆ หนักขึ้น ๆ จากที่ใส่ผ้าถุงธรรมดาถอนไข่ ก็เริ่มมีขั้นตอนแปลก ๆ ขึ้น เราก็มีคำถามทุกครั้ง เขาก็จะตอบแค่ว่าให้เชื่อมั่น อย่ากังขา อย่าสงสัย ถ้าเราสงสัยการถอนจะไม่สัมฤทธิ์ผล
- เรื่องใหญ่โตมาได้ยังไง ?
เอ : เขาเริ่มทำพิธีแปลก ๆ เช่นที่เจอกับตัว ให้เรานอนหลับตา เอาผ้ามาคลุม เขาก็เอาตัวเขามาทับเรา ซึ่งเขาบอกว่าวิชาที่เราโดน เป็นเดรัจฉานวิชา ที่พ่อเลี้ยงหรืออะไรก็ตาม อาถรรพ์ในตัวเรา ต้องโดนแบบนี้แบบนั้นตลอด มันต้องใช้วิธีการแบบนี้ อันนี้คือเรารู้จักเขาประมาณ 6-7 ปีได้ ก่อนหน้านั้นเขาส่งภาพลูกศิษย์เขา ที่ทำพิธีแบบนี้ ๆ กับคนนั้นคนโน้นมาให้เราดู
- ต้องนอนลงแล้วตัวเขาทับ เขาผ้ามาปิดเรามั้ย ?
เอ : ช่วงแรกเอาผ้ามาปิดไว้ เราก็ตกใจ ไม่กล้าถามเลยเพราะเราเชื่อ คิดว่าคงไม่มีอะไร จากนั้นเขาส่งภาพมาเรื่อย ๆ เหมือนบอกว่าเราโดนของ ต้องถอนหนักขึ้น ๆ นะ
- เราเห็นภาพเขากระทำกับคนอื่นเหมือนกัน ?
เอ : ค่ะ ก็คิดว่าเป็นทางแก้ ถึงจุดนึงที่มาถึงวันนี้ได้ เขาบอกว่าเขาเอาพลังทั้งหมด หรือวิชาที่เขามี มาช่วยดูดสิ่งไม่ดีจากตัวเราเข้าหาตัวเขา จนตอนนี้ร่างกายเขาไม่สามารถรับอะไรได้แล้ว เขาต้องการมีชีวิตต่อ เพื่อให้ได้อยู่กับเราทุกคน
- เขาส่งข้อความบอกว่าเขากำลังจะตาย สมองไม่คล่องตัวเหมือนเดิม พูดไม่เหมือนที่คิด ถ้ามัวแต่จับผิดก็จะมีแต่เรื่องผิดอยู่ตลอด เหตุทำให้เสียใจคงมีตลอด เพราะอาจารย์มันไม่ดี คิดมาหลายวันแล้วเข้าไปอยู่ในป่าดีมั้ย แต่เพราะรักครอบครัว เลยพยายามฝืนเต็มที่แค่ความเชื่อใจทำให้เข้าใจไม่ได้ ทุกวันต้องสู้กับความเจ็บป่วย แต่คงไม่ดีพอจริง ๆ เพราะไม่มีใครไว้ใจ อาจารย์ไม่ดีพอ คงไปทบทวน ?
บี : มีคนสงสัยว่าแปลก ๆ เขาก็เลยพิมพ์มาในลักษณะนี้
เอ : ที่หนักคือถึงขั้นเขาวิดีโอคอลมา ใส่ออกซิเจนใส่จมูกว่าเขาไม่ไหวแล้ว เขาทำเป็นพูดไม่รู้เรื่อง พร้อมน็อกได้เสมอ หนูสงสัยแล้วชอบถาม มันผิดปกติ ค่อย ๆ หนักขึ้นเรื่อย ๆ เขาใส่สายออกซิเจน นอนอยู่ที่วัดนั่นแหละค่ะ ที่ทำให้รู้สึกผิดมาก ว่านี่คืออาจารย์ผู้มีพระคุณ พอเราถามเขาเยอะ ๆ จี้เขาไปว่าใช่หรือไม่ใช่ยังไง เขาแกล้งล้มน็อกต่อหน้าเรา ชักใส่เราก็มี
บี : อยู่ดี ๆ ก็ล้ม คิดว่าพอถึงจุดที่เขาหาคำอธิบายได้ยาก หลอกลวง เหมือนบอกเป็นนัย ๆ ว่าอย่าถามเยอะ ถ้าไม่อยากให้เขาป่วย ไม่อยากให้เขาเจ็บ
เอ : ประมาณปลายปี 64 ที่เกิดเหตุ ขออนุญาตแก้ข่าวนะคะ ไม่ใช่เวลา 2 ปี เป็นระยะเวลาไม่กี่เดือนที่เขาแสดงตัวตน ธาตุแท้ออกมา เขาค่อย ๆ ใส่ข้อมูล ค่อย ๆ สอน ค่อย ๆ บอก ให้เรารู้สึกว่ามันเป็นเรื่องปกติธรรมดา ธรรมชาติ เขาสอนเรื่องสังขาร 5 เป็นเรื่องปกติที่วันนึงร่างกายนี้ก็ไม่ได้ใช้ประโยชน์แล้ว เขาพยายามกล่อมจนประมาณปลายปี 64 เขาให้เรากับสามีเข้าไป เขาพูดคำแรกว่าเขากำลังจะตายแล้วจริง ๆ เขาหมดทางเลือกแล้ว รักเขามั้ย เชื่อเขามั้ย ศรัทธาเขามั้ย จุดธูปสาบาน บอกวิธีทำให้เขามีชีวิตต่อ พอจุดปุ๊บเขาบอกว่าอย่าสงสัย อย่ามีคำถาม อย่ามีข้อกังขา ให้เชื่อว่าทุกอย่างที่ทำเป็นสิ่งที่ดี แล้วเขาจะขอบคุณทีเราเสียสละเพื่อเขา เป็นการตอบแทนที่ยิ่งใหญ่มาก เขาก็ให้เรากับสามี มีอะไรกัน ต่อหน้าเขา เพื่ออยู่หน้าหิ้งครู ดึงพลังจากเบื้องบนมา
- ตอนนั้นยอมมั้ย ?
เอ : ตอนแรกไม่ได้เต็มใจขนาดนั้น
บี : เขาเป็นครูบาอาจารย์ เราก็เชื่อเขา
เอ : เรามีคำถาม แต่ระยะเวลาที่อยู่กับเขามา 7-8 ปีมันนานมากแล้ว ก็เชื่อว่าที่ผ่านมาเขาหวังดี เขาคงมีเหตุผลของเขา ก็พยายามจะมีอะไร แต่เผอิญสามีไม่พร้อม
- ตอนนี้สึกแล้ว ชื่อพระโอ วันนั้นจบมั้ย ?
บี : ไม่จบ เขาบอกว่าพิธีนี้ไม่จบไม่ได้ ต้องทำให้สำเร็จ ไม่งั้นองค์คุรุที่เขานับถือ เขาอ้างสายวัชรยาน ถ้าพิธีไม่เสร็จไม่ได้ องค์คุรุจะพิโรธ จะโกรธ พวกเราจะแย่กัน จะถูกลงโทษ เขาเลยบอกว่างั้นให้เขาทำแทน
- เราก็ต้องจำยอม ?
บี : ใช่ครับ เราเชื่อเขา ไม่ได้อยากจะยอม แต่ด้วยเหตุการณ์ต่อเนื่องมา ที่เขาอ้างว่าเขาป่วย จะตาย ต้องอาศัยพลังทำพวกนี้เพื่อมีชีวิตต่อ ทำให้ผมรู้สึกว่าเขาเป็นผู้มีพระคุณของผม เป็นเหมือนพ่อ เรื่องราวทั้งหมดที่เขาอ้างว่าช่วยเราไว้ มันเยอะ เรามีเรื่องปรึกษาเขา ว่าเจอเรื่องอย่างนี้ ๆ เขาก็จะบอกว่าที่ผ่านมาได้เพราะเขา ที่ดีขึ้นได้เพราะเขา ถ้าเรื่องไหนไม่เปลี่ยน เขาก็บอกว่าจริง ๆ ต้องหนักกว่านี้ แต่เขารับแทนให้ เรารู้สึกเขาเป็นผู้มีพระคุณ เป็นครูบาอาจารย์ ต้องตอบแทนเขาเมื่อมีโอกาส เขาบอกเขากำลังจะตาย ไม่สามารถผ่านไปได้ถ้าไม่ใช้วิธีกรรมพวกนี้ ถ้าไม่มีเราช่วย ผมก็เหมือนน้ำท่วมปาก
เอ : เขาให้สาบานด้วย ให้รู้ว่าเป็นความศักดิ์สิทธิ์
บี : ก่อนหน้านี้เขาปลูกฝังความเชื่อว่าเสพกามเป็นพิธีที่ลดอัตตาตัวตน ไม่มีเพศหญิงเพศชาย ไม่มีบาปบุญ ไม่มีผิดถูก ร่างกายนี้เป็นแค่สังขาร แค่เนื้อ แค่กระดูก เป็นการปลูกฝังไปเรื่อย ๆ หลาย ๆ ปัจจัยรวมกัน
- สุดท้ายยอมมีสัมพันธ์กับเขาไปแล้ว แต่มันไม่จบ ?
บี : เขาบอกพิธีแบบนี้ต้องปฏิบัติไปเรื่อย ๆ เพื่อให้ร่างกายเขาดีขึ้นเรื่อย ๆ ไม่ใช่แค่ครั้งเดียวหายเป็นปลิดทิ้ง เป็นการเยียวยา รักษาไปเรื่อย ๆ ถ้าทุกคนเต็มใจ ไม่มีข้อสงสัย ไม่มีข้อกังขา รวมเป็นหนึ่งเดียวกัน องค์คุรุที่เขานับถือก็จะประทานพรให้แก่ผู้ร่วมพิธี และการปฏิบัติพิธีทั้งหมดนี้ เป็นลักษณะการละอัตตาตัวตน เพื่อเข้าสู่ธรรมชั้นสูงไปในตัวด้วย ก็ตรงกับสิ่งที่เขาสอนมาตลอดกับลูกศิษย์ในกลุ่ม ว่าพระพุทธเจ้าสอนเอาไว้ 3 ทาง วิธีบรรลุธรรม หนึ่งคือฟังธรรม สองวิปัสสนากรรมฐาน สามวิธีเสพกาม แต่วิธีนี้จะไม่แพร่งพรายต่อบุคคลภายนอก เขาบอกว่าพระพุทธเจ้าบอกว่าธรรมข้อนี้เป็นธรรมที่ละเอียด ห้ามแสดงต่อบุคคลที่มีอินทรีย์ไม่พร้อม เพราะถ้าเขาปรามาส เขาจะบาปมาก จะมีบาปติดตัว
เอ : เขาก็เริ่มเอาลูกศิษย์อีกคนนึงที่เขาบอกว่าคนนี้ชีวิตกำลังจะหมดอายุขัย ป่วยไม่สบาย เขาเอาคนนั้นมาร่วม เป็นคนที่เรารู้จัก รัก รู้จักเหมือนพี่เหมือนน้องกัน เขาเอามาร่วมในพิธี แล้วถามทางนี้ว่าโอเคมั้ย ณ ตอนนั้นเหมือนเราอยู่ในจุดที่ไม่สามารถปฏิเสธได้ เหมือนเขาอ้างแค่ว่ามันต้องตาย อีกอย่างเขาบอกว่าต้องครบองค์ ค่อย ๆ ขยับไปเรื่อย ๆ เขาเอาข้อมูลมาจากที่ไหนไม่รู้ว่าธรรมนี้มีมาเป็นพัน ๆ หมื่น ๆ ปีแล้ว ต้องมีผู้หญิงผู้ชายเพื่อให้ถึงพลังขั้นสูงที่จะทำให้พิธีนี้เสร็จสมบูรณ์ครบได้ เขาอ้างว่าสมัยอดีตกาลมีอยู่จริง เอารูปมาเยอะมากเพื่อเกลี้ยกล่อมเรา ก่อนหน้านี้เขาสอนโน้มน้าวเราให้เชื่อแบบนี้
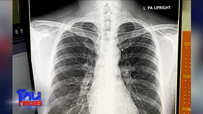
- ภาพมีเยอะมาก เห็นแล้วคุณพระช่วย มีเรื่องฟิล์มเอกซเรย์ ?
เอ : เป็นการยืนยัน การไปตรวจร่างกายเป็นช่วงปลายปี 64 หลังเกิดเหตุมาเดือนสองเดือนแล้ว เขาเอาฟิล์มเอกซเรย์มายืนยันกับเราว่าร่างกายเขาแข็งแรงแล้ว เขาดีมากนะ ขอบคุณทุกคนมากที่เสียสละ
- คุณก็โดนละเมิด ?
บี : ใช่ครับ มันก็เป็นแผลของพวกผมนิดนึง ในพิธีที่เขาอ้างว่าทำเพื่อรักษาอาการป่วยเขา ทำเพื่อบรรลุธรรมขั้นสูง ถวายองค์คุรุให้เมตตาประทานพรให้ เขาได้ทั้งผู้ชายและผู้หญิง
- บังคับให้เราถวายตัวให้มัน ?
เอ : อ้างว่าไม่มีเพศสภาพ ไม่มีชายหญิง
- คุณโดนอะไร ?
ซี : ตอนแรกแค่เหล้ากับไข่ในการถอนของ แต่เขาค่อย ๆ ขยับไปทีละสเต็ป มีการให้ช่วยตัวเอง อ้างคำเดิม การเข้าถึงพลังขั้นสูงต้องปฏิบัตินาทีชีวิตก่อนตาย การสำเร็จความใคร่ดึงพลัง ขับออก ตอนแรกจะค่อย ๆ ให้ผมช่วยตัวเองไปในพิธี ถอนของ แต่ว่ามีการลงเสน่ห์ด้วย บางทีการลงเสน่ห์เขาก็ให้กล่าวคำสาบาน สัญญากับครูบาอาจารย์ก่อนว่าอย่าไปบอกใคร ถ้าแพร่งพรายชีวิตจะมีความเป็นไป ไม่เจริญรุ่งเรือง เหมือนสะกดจิตให้สาบานก่อน ตอนแรกเราเข้าใจว่าเป็นการทำพิธีลงเสน่ห์ เอาทองมาปิดตามจุดต่าง ๆ สุดท้ายเหมือนให้ไปห้องน้ำสองคน ไปกับมันที่ลับตาคน ช่วงที่ไม่มีใครเห็น
- ทำไมวันนี้ตัดสินใจออกมาบอกประชาชนว่าเราโดนหลอกแบบนี้ ?
เอ : อย่างแรกเลย เราเคยพลาด เราเคยเจอ ประสบเหตุการณ์ที่รุนแรง และเลวร้ายที่สุดในชีวิตเรามาแล้ว มุมเรา เรามองว่าความเชื่อศรัทธาบางอย่างมันสามารถทำร้ายเราได้ ขณะที่เราหวังดี เรามองว่าคนนั้นเป็นคนดี แต่จริง ๆ แล้วอาจไม่ได้เป็นอย่างที่เราคิดก็ได้ อะไรที่ไม่ถูกไม่ใช่ หลุดไปจากหลักธรรมเดิม จะด้วยความไม่รู้หรือรู้แล้ว ต้องออกมาจากจุดนั้นและตั้งสติ เราอยากให้ทุกคนรู้ว่าเหตุการณ์ที่เกิดกับเราตอนนี้อาจมีลูกศิษย์หรือใครก็ตาม ที่อยู่กับเขา มีคนอื่นอาจกำลังโดนแบบนี้ มีความรู้สึกว่าทำไมเจอคล้าย ๆ กับเราแบบนี้ อยากให้รู้ว่าความเชื่อและเหตุการณ์แบบนี้มันผิดพลาด อย่าหลงเชื่อแค่เขาเป็นคนดีหรือใส่เครื่องแบบอะไรก็ตาม ถ้าเราไม่มั่นใจอย่าไปฟังใคร ให้เรากลับมาทบทวน ให้เรามองอีกมุมว่าจริงหรือไม่จริง เชื่อว่าต้องมีคนเจอแบบนี้อีก เราไม่อยากให้ใครต้องมาเจอเหตุการณ์แบบนี้ ความเชื่อมีได้ แต่ความเชื่อในทางที่ผิดไม่มีอยู่จริง
- คุณกลับตัวได้ตอนไหน ?
บี : ตอนที่เขาไปตรวจสุขภาพ เขาถ่ายฟิล์มเอกซเรย์มาให้ดูว่าเขาดีขึ้นแล้ว แต่หลังจากนั้นเขายังมีความต้องการอยู่ ต้องการทำพิธีแบบเดิม ๆ อยู่เรื่อย ๆ จนเราสองคนคิดว่าน่าจะไม่ไหวแล้ว บอกตรง ๆ ผมรู้ว่าคุณเอเชื่อมั่นศรัทธารักและเคารพจริง ๆ ตอนแรกผมไม่กล้าเตือนเขา ถ้าเขาไปถามคนนั้น ถ้าคนนั้นสงสัย ผมไม่รู้ว่าคุณเอจะโดนคนนั้นหลอกอะไรอีก จนผมอาจไม่มีโอกาสได้พาเขาออกมาจากวงจรนั้นก็ได้ ผมก็เลยตัดสินใจ จนเขาบอกเองเลยว่าพอแล้วนะ ผมก็มั่นใจว่าเขาคงไม่เชื่อคนนั้นอีกแล้ว
- คุณหลงเชื่อในช่วงสุดท้ายที่มันบอกจะตายแล้ว นานแค่ไหน ?
บี : ประมาณ 4-5 เดือน พอคุณเอบอกว่าไม่ไหวแล้ว ผมถึงกล้าคุยกับเขาว่าจริง ๆ ควรหยุดตั้งนานแล้ว แต่ไม่กล้าเตือนเพราะเขาเชื่อคนนั้นเหมือนพ่อ
ซี : ผมก็อยากออกมาเตือนสังคม มีคนใช้ความเชื่อชักจูงคนหลอกเพื่อผลประโยชน์ของตัวเอง พวกผมโดนหลอกไปแล้ว สิ่งที่เกิดขึ้นเป็นแผลใจที่ไม่มีวันหายไปแน่นอน แต่เราก็รวบรวมความกล้ามาบอกสังคม พอเริ่มหลงทางไปหนึ่งก็เป๋ออกไปเรื่อย ๆ พอถึงจุดนึงเราก็ตั้งสติได้ว่าแบบนี้มันเกินไปแล้ว มันเกินกว่ามนุษย์ธรรมดาจะทำได้
- เขาส่งมาแล้วบอกพลังสี้ ห้องพิศวง มันคืออะไร ?
ประยุทธ : สี้คือเสพกาม ภาษาท้องถิ่น
- เห็นว่าน่าตกใจ มีตำรวจด้วยเหรอ ?
บี : หนึ่งในผู้ร่วมพิธีเป็นตำรวจ
- บ้าน่า คนร่วมพิธีที่มีอะไรด้วย หนึ่งในนั้นคือตำรวจมีหลักฐานมั้ย ?
บี : มีรูปเขา ทุกคนต้องแก้ผ้าเหมือนกันหมด ต้องร่วมกันเป็นหนึ่งเดียว
![ผัวเมียแฉพระเกจิดัง ผัวเมียแฉพระเกจิดัง]()
![ผัวเมียแฉพระเกจิดัง ผัวเมียแฉพระเกจิดัง]()
![ผัวเมียแฉพระเกจิดัง ผัวเมียแฉพระเกจิดัง]()
![ผัวเมียแฉพระเกจิดัง ผัวเมียแฉพระเกจิดัง]()
![ผัวเมียแฉพระเกจิดัง ผัวเมียแฉพระเกจิดัง]()
![ผัวเมียแฉพระเกจิดัง ผัวเมียแฉพระเกจิดัง]()
จากกรณีสองสามีภรรยา ร้อง "นายเอกภพ เหลืองประเสริฐ" ผู้ก่อตั้งเพจสายไหมต้องรอด หลังถูกพระที่สำนักสงฆ์แห่งหนึ่งใน จ.เพชรบูรณ์ หลอกลวงให้มีเพศสัมพันธ์ อ้างว่าเป็นการต่อดวงชะตาชีวิตให้พระรูปนั้น หลอกลวงให้มีเซ็กส์หมู่กับลูกศิษย์คนอื่น อีกทั้งพระรูปนั้นสามารถมีเพศสัมพันธ์ได้ทั้งหญิงและชาย
ล่าสุดรายการโหนกระแส ออกอากาศวันที่ 12 มิถุนายน 2567 ดำเนินรายการโดย "หนุ่ม กรรชัย กำเนิดพลอย" ผลิตในนามบริษัท ดีคืนดีวัน จำกัด ออกอากาศทุกวันจันทร์-ศุกร์ เวลา 12.35 น. ทางช่อง 3 กดหมายเลข 33 สัมภาษณ์ เอ-บี-ซี เหยื่อพระรูปดังกล่าว , เอกภพ เหลืองประเสริฐ, ดร.ประยุทธ ประเทศเสนา หรือมหาหมี รองประธานมูลนิธิทนายกองทัพธรรม
- คุณเอ เป็นภรรยาคุณบี ตอนแรกที่คุณเอกฟังตกใจมั้ย ?
เอกภพ : ตกใจมาก พยายามถามเขาหลายรอบว่ามันใช่เหรอ ขอดูหลักฐานต่าง ๆ ซึ่งหลักฐานที่เขามี มันค่อนข้างเยอะพอสมควร พอให้เขาเล่าลำดับเหตุการณ์ แต่ละคนก็เล่าสอดคล้องกัน มีโอกาสเป็นอย่างที่น้องเล่าให้ฟัง
- เรารู้จักพระรูปนี้ได้ยังไง ?
เอ : เริ่มแรกเขาเป็นพระเกจิที่มีชื่อเสียง เคยลงหนังสือแห่งนึง มีเพื่อน ๆ กันชวนไปเจอที่วัดเขา เจอเขาครั้งแรก เขาทักเราเลยว่าเฮ้ย มาได้ยังไง รอดได้ยังไง
- รู้จักนานหรือยัง ?
เอ : สิบปีได้ พอเขาทักแบบนี้ก็รู้สึกแปลกดี แต่เขามีชื่อเสียงระดับนึง เราก็รู้สึกอยากรู้จัก คำสอนคำพูดของเขาหลายอย่างค่อนข้างดี เราไม่ได้ศึกษาเยอะ ตอนนั้นเราเด็กมาก ไม่มีความรู้อะไรเลย เราไปกับเพื่อน ๆ เรามีโอกาสได้คุยกับเขา
- ทำไมเชื่อถือศรัทธาเขาขนาดนั้น ?
เอ : พอได้เจอเขา ผ่านระยะเวลาไป เขาบอกว่าเราเหมือนลูกสาวเขาในอดีตชาติ เขาต้องการมาดูแลชดเชย เขาตามหาเรามานานมากแล้ว เขามองเห็นว่าเราโดนของจากพ่อเลี้ยงเรามา เขาอยากช่วยเรานะ อ้างว่าเขาเป็นพ่อที่ต้องการช่วยแก้ในสิ่งที่เราโดนมา เขามีการเดินทางมากรุงเทพฯ เจอบรรดาลูกศิษย์ เราเคยได้เข้าไปสัมผัส ก็คิดว่าพระรูปนี้น่าจะเก่งมาก เพราะมีลูกศิษย์ลูกหาที่เชื่อถือเขาเยอะ
- สิบปีไปมาหาสู่กับพระรูปนี้บ่อยมั้ย ?
เอ : สองสามเดือนทีนึง ทุกครั้งที่เขามากรุงเทพฯ ก็จะมีไปบ้าง แต่ช่วงแรก ๆ ไม่ได้เข้าไปเยอะ เพราะเราไม่ได้ชอบแนวแบบนี้ เราได้ฟังคำสอนเขาบางอย่างเรารู้สึกว่ามันน่าสนใจดีนะ เราไม่เชื่อเรื่องพวกมูเตลู แต่เขาดันมาทายเราถูก
- เรารู้จักบีได้ไง ?
บี : ช่วงประมาณปี 51-52 ผมยังเรียนอยู่ เห็นเขาลงหนังสือพระ ผมก็อ่านประวัติเขา มีเรื่องราวของเขา ผมรู้สึกอยากไปเจอ ก็ไปเจอเขา ได้พูดคุยกับเขา รู้สึกว่าเขาเป็นคนพูดจาได้ดี มีความน่าเชื่อถือ เขาเล่าเรื่องราวต่าง ๆ ฟังแล้วเราคล้อยตาม ฟังแล้วเพลิน สนุก เช่น เขาไปเรียนวิชามา เจอเรื่องราวอย่างนี้มา
- โชว์สกิลอภินิหาร ?
บี : เทพองค์นั้นองค์นี้เสียไปแล้วมาสอน ในนิมิตบ้าง เราฟังแล้วเพลิน ตอนนั้นอายุผมก็ยังเด็ก ๆ อยู่ ก็รู้สึกว่าฟังแล้วเรื่องนี้น่าสนใจดี อยากฟังอีก ส่วนตัวผมชื่นชอบเรื่องแนวนี้อยู่แล้ว เรื่องอภินิหาร ความเชื่อ
- คุณรู้จักคุณเอหรือยัง ?
บี : ยังครับ เราไปเจอกันที่วัดนั้น แล้วที่รู้จักกัน เขาบอกว่าเขาเป็นคนดึงผมมาให้เขา เหมือนเป็นเนื้อคู่ เหมือนเขาใช้วิชา ใช้พลังที่เขามี ให้ผมมาคบกับเอ
- สิบปีเหมือนกัน ต่างคนต่างเจอพระรูปนี้ แล้วคุณก็มาเจอกันที่วัดแห่งนี้ เขาผลักดันให้คบหากัน ?
บี : เขาบอกว่าเขาคัดสรรมาให้อย่างดีที่สุดแล้ว
- คุณเลยคบหากัน ?
บี : ปี 51-52 ผมพาซี เพื่อนผมไป ครั้งแรกเขาบอกว่าคนนี้ทีหลังอย่าพามาอีกนะ ถามผมก่อนว่าคนนี้สนิทมั้ย รักเขาเป็นเพื่อนจริง ๆ ใช่มั้ย ถ้าไม่รักจริงไม่ต้องพามาอีกนะ เพราะเขาเห็นว่าจริง ๆ แล้วซีเหมือนชะตาจะขาดแล้ว ไม่ต้องพามาอีก เขาจี้มาแบบนี้ เราก็เพื่อนรักผมเลยครับ ช่วยหน่อยเถอะ ขอร้องให้เขาช่วยหน่อย ก็เลยพาเขาไปหา เขาก็บอกว่าจริง ๆ ชะตาขาดไปแล้ว แต่ไม่ต้องห่วงแล้ว มาอยู่กับเขา ไม่ต้องกลัวแล้ว ไม่เป็นไร
- คุณซีเชื่อมั้ย ?
ซี : ผมก็งงเหมือนกัน ไม่ได้มู ไม่เคยเจอใครทักแบบนี้มาก่อนในชีวิต บวกกับที่บ้านผมมีแผลอยู่แล้ว พ่อติดการพนัน พี่เป็นบ้า ทำให้ผมรู้สึกว่าหรือครอบครัวเรา ตัวเราโดนของจริง ๆ ชีวิตถึงได้แย่ขนาดนี้ แล้วเขาทักมาอีก มันก็สะกิดแผลใจเราด้วย ตอนนั้นเขาเปิดบ้านใช้ไข่กับเหล้าขาวในการถอนของ ให้เข้าไปในห้องกับลูกศิษย์สองคน เอาผ้าขายม้า เอาไข่ไก่มาดูดที่ตัว ตามจุดต่าง ๆ แล้วตอกออกมาให้ดู ถ้ามีอะไรดำ ๆ จะบอกว่ามันเป็นของไม่ดี ซึ่งมันก็มี ตอนนั้นก็คิดว่าอาจเป็นไปได้ เขาเอาไข่มาถึงจุดที่ลับด้วย เขาอ้างว่าที่ลับเป็นจุดวาสนา อะไรดีไม่ดีอยู่ตรงนั้น ทำอะไรไม่สำเร็จ อาภัพรักก็อยู่ตรงนี้ด้วย เขาเอาไข่มาแตะตรงที่ลับด้วย แล้วใช้เหล้าขาวล้าง
- ทำไมเรื่องราวเกิดรุนแรง ?
เอ : หลังเจอเขาปีแรก ๆ เขายังมีการพูดเรื่องความเชื่อ บอกว่าเราโดนของ จะถอนของ ใช้ไข่ไปเรื่อย ๆ แล้วค่อย ๆ ขยับพิธีการมากขึ้น เขาอ้างว่าตอนนี้ถอนที่อยู่ข้างนอก เหมือนแก้วน้ำที่มีน้ำดำ ๆ อยู่ในนั้น ต้องค่อย ๆ ใส่น้ำใสลงไปเรื่อย ๆ ต้องถอน ถอดออกเรื่อย ๆ ค่อย ๆ หนักขึ้น ๆ จากที่ใส่ผ้าถุงธรรมดาถอนไข่ ก็เริ่มมีขั้นตอนแปลก ๆ ขึ้น เราก็มีคำถามทุกครั้ง เขาก็จะตอบแค่ว่าให้เชื่อมั่น อย่ากังขา อย่าสงสัย ถ้าเราสงสัยการถอนจะไม่สัมฤทธิ์ผล
- เรื่องใหญ่โตมาได้ยังไง ?
เอ : เขาเริ่มทำพิธีแปลก ๆ เช่นที่เจอกับตัว ให้เรานอนหลับตา เอาผ้ามาคลุม เขาก็เอาตัวเขามาทับเรา ซึ่งเขาบอกว่าวิชาที่เราโดน เป็นเดรัจฉานวิชา ที่พ่อเลี้ยงหรืออะไรก็ตาม อาถรรพ์ในตัวเรา ต้องโดนแบบนี้แบบนั้นตลอด มันต้องใช้วิธีการแบบนี้ อันนี้คือเรารู้จักเขาประมาณ 6-7 ปีได้ ก่อนหน้านั้นเขาส่งภาพลูกศิษย์เขา ที่ทำพิธีแบบนี้ ๆ กับคนนั้นคนโน้นมาให้เราดู
- ต้องนอนลงแล้วตัวเขาทับ เขาผ้ามาปิดเรามั้ย ?
เอ : ช่วงแรกเอาผ้ามาปิดไว้ เราก็ตกใจ ไม่กล้าถามเลยเพราะเราเชื่อ คิดว่าคงไม่มีอะไร จากนั้นเขาส่งภาพมาเรื่อย ๆ เหมือนบอกว่าเราโดนของ ต้องถอนหนักขึ้น ๆ นะ
- เราเห็นภาพเขากระทำกับคนอื่นเหมือนกัน ?
เอ : ค่ะ ก็คิดว่าเป็นทางแก้ ถึงจุดนึงที่มาถึงวันนี้ได้ เขาบอกว่าเขาเอาพลังทั้งหมด หรือวิชาที่เขามี มาช่วยดูดสิ่งไม่ดีจากตัวเราเข้าหาตัวเขา จนตอนนี้ร่างกายเขาไม่สามารถรับอะไรได้แล้ว เขาต้องการมีชีวิตต่อ เพื่อให้ได้อยู่กับเราทุกคน
- เขาส่งข้อความบอกว่าเขากำลังจะตาย สมองไม่คล่องตัวเหมือนเดิม พูดไม่เหมือนที่คิด ถ้ามัวแต่จับผิดก็จะมีแต่เรื่องผิดอยู่ตลอด เหตุทำให้เสียใจคงมีตลอด เพราะอาจารย์มันไม่ดี คิดมาหลายวันแล้วเข้าไปอยู่ในป่าดีมั้ย แต่เพราะรักครอบครัว เลยพยายามฝืนเต็มที่แค่ความเชื่อใจทำให้เข้าใจไม่ได้ ทุกวันต้องสู้กับความเจ็บป่วย แต่คงไม่ดีพอจริง ๆ เพราะไม่มีใครไว้ใจ อาจารย์ไม่ดีพอ คงไปทบทวน ?
บี : มีคนสงสัยว่าแปลก ๆ เขาก็เลยพิมพ์มาในลักษณะนี้
เอ : ที่หนักคือถึงขั้นเขาวิดีโอคอลมา ใส่ออกซิเจนใส่จมูกว่าเขาไม่ไหวแล้ว เขาทำเป็นพูดไม่รู้เรื่อง พร้อมน็อกได้เสมอ หนูสงสัยแล้วชอบถาม มันผิดปกติ ค่อย ๆ หนักขึ้นเรื่อย ๆ เขาใส่สายออกซิเจน นอนอยู่ที่วัดนั่นแหละค่ะ ที่ทำให้รู้สึกผิดมาก ว่านี่คืออาจารย์ผู้มีพระคุณ พอเราถามเขาเยอะ ๆ จี้เขาไปว่าใช่หรือไม่ใช่ยังไง เขาแกล้งล้มน็อกต่อหน้าเรา ชักใส่เราก็มี
บี : อยู่ดี ๆ ก็ล้ม คิดว่าพอถึงจุดที่เขาหาคำอธิบายได้ยาก หลอกลวง เหมือนบอกเป็นนัย ๆ ว่าอย่าถามเยอะ ถ้าไม่อยากให้เขาป่วย ไม่อยากให้เขาเจ็บ
เอ : ประมาณปลายปี 64 ที่เกิดเหตุ ขออนุญาตแก้ข่าวนะคะ ไม่ใช่เวลา 2 ปี เป็นระยะเวลาไม่กี่เดือนที่เขาแสดงตัวตน ธาตุแท้ออกมา เขาค่อย ๆ ใส่ข้อมูล ค่อย ๆ สอน ค่อย ๆ บอก ให้เรารู้สึกว่ามันเป็นเรื่องปกติธรรมดา ธรรมชาติ เขาสอนเรื่องสังขาร 5 เป็นเรื่องปกติที่วันนึงร่างกายนี้ก็ไม่ได้ใช้ประโยชน์แล้ว เขาพยายามกล่อมจนประมาณปลายปี 64 เขาให้เรากับสามีเข้าไป เขาพูดคำแรกว่าเขากำลังจะตายแล้วจริง ๆ เขาหมดทางเลือกแล้ว รักเขามั้ย เชื่อเขามั้ย ศรัทธาเขามั้ย จุดธูปสาบาน บอกวิธีทำให้เขามีชีวิตต่อ พอจุดปุ๊บเขาบอกว่าอย่าสงสัย อย่ามีคำถาม อย่ามีข้อกังขา ให้เชื่อว่าทุกอย่างที่ทำเป็นสิ่งที่ดี แล้วเขาจะขอบคุณทีเราเสียสละเพื่อเขา เป็นการตอบแทนที่ยิ่งใหญ่มาก เขาก็ให้เรากับสามี มีอะไรกัน ต่อหน้าเขา เพื่ออยู่หน้าหิ้งครู ดึงพลังจากเบื้องบนมา
- ตอนนั้นยอมมั้ย ?
เอ : ตอนแรกไม่ได้เต็มใจขนาดนั้น
บี : เขาเป็นครูบาอาจารย์ เราก็เชื่อเขา
เอ : เรามีคำถาม แต่ระยะเวลาที่อยู่กับเขามา 7-8 ปีมันนานมากแล้ว ก็เชื่อว่าที่ผ่านมาเขาหวังดี เขาคงมีเหตุผลของเขา ก็พยายามจะมีอะไร แต่เผอิญสามีไม่พร้อม
- ตอนนี้สึกแล้ว ชื่อพระโอ วันนั้นจบมั้ย ?
บี : ไม่จบ เขาบอกว่าพิธีนี้ไม่จบไม่ได้ ต้องทำให้สำเร็จ ไม่งั้นองค์คุรุที่เขานับถือ เขาอ้างสายวัชรยาน ถ้าพิธีไม่เสร็จไม่ได้ องค์คุรุจะพิโรธ จะโกรธ พวกเราจะแย่กัน จะถูกลงโทษ เขาเลยบอกว่างั้นให้เขาทำแทน
- เราก็ต้องจำยอม ?
บี : ใช่ครับ เราเชื่อเขา ไม่ได้อยากจะยอม แต่ด้วยเหตุการณ์ต่อเนื่องมา ที่เขาอ้างว่าเขาป่วย จะตาย ต้องอาศัยพลังทำพวกนี้เพื่อมีชีวิตต่อ ทำให้ผมรู้สึกว่าเขาเป็นผู้มีพระคุณของผม เป็นเหมือนพ่อ เรื่องราวทั้งหมดที่เขาอ้างว่าช่วยเราไว้ มันเยอะ เรามีเรื่องปรึกษาเขา ว่าเจอเรื่องอย่างนี้ ๆ เขาก็จะบอกว่าที่ผ่านมาได้เพราะเขา ที่ดีขึ้นได้เพราะเขา ถ้าเรื่องไหนไม่เปลี่ยน เขาก็บอกว่าจริง ๆ ต้องหนักกว่านี้ แต่เขารับแทนให้ เรารู้สึกเขาเป็นผู้มีพระคุณ เป็นครูบาอาจารย์ ต้องตอบแทนเขาเมื่อมีโอกาส เขาบอกเขากำลังจะตาย ไม่สามารถผ่านไปได้ถ้าไม่ใช้วิธีกรรมพวกนี้ ถ้าไม่มีเราช่วย ผมก็เหมือนน้ำท่วมปาก
เอ : เขาให้สาบานด้วย ให้รู้ว่าเป็นความศักดิ์สิทธิ์
บี : ก่อนหน้านี้เขาปลูกฝังความเชื่อว่าเสพกามเป็นพิธีที่ลดอัตตาตัวตน ไม่มีเพศหญิงเพศชาย ไม่มีบาปบุญ ไม่มีผิดถูก ร่างกายนี้เป็นแค่สังขาร แค่เนื้อ แค่กระดูก เป็นการปลูกฝังไปเรื่อย ๆ หลาย ๆ ปัจจัยรวมกัน
- สุดท้ายยอมมีสัมพันธ์กับเขาไปแล้ว แต่มันไม่จบ ?
บี : เขาบอกพิธีแบบนี้ต้องปฏิบัติไปเรื่อย ๆ เพื่อให้ร่างกายเขาดีขึ้นเรื่อย ๆ ไม่ใช่แค่ครั้งเดียวหายเป็นปลิดทิ้ง เป็นการเยียวยา รักษาไปเรื่อย ๆ ถ้าทุกคนเต็มใจ ไม่มีข้อสงสัย ไม่มีข้อกังขา รวมเป็นหนึ่งเดียวกัน องค์คุรุที่เขานับถือก็จะประทานพรให้แก่ผู้ร่วมพิธี และการปฏิบัติพิธีทั้งหมดนี้ เป็นลักษณะการละอัตตาตัวตน เพื่อเข้าสู่ธรรมชั้นสูงไปในตัวด้วย ก็ตรงกับสิ่งที่เขาสอนมาตลอดกับลูกศิษย์ในกลุ่ม ว่าพระพุทธเจ้าสอนเอาไว้ 3 ทาง วิธีบรรลุธรรม หนึ่งคือฟังธรรม สองวิปัสสนากรรมฐาน สามวิธีเสพกาม แต่วิธีนี้จะไม่แพร่งพรายต่อบุคคลภายนอก เขาบอกว่าพระพุทธเจ้าบอกว่าธรรมข้อนี้เป็นธรรมที่ละเอียด ห้ามแสดงต่อบุคคลที่มีอินทรีย์ไม่พร้อม เพราะถ้าเขาปรามาส เขาจะบาปมาก จะมีบาปติดตัว
เอ : เขาก็เริ่มเอาลูกศิษย์อีกคนนึงที่เขาบอกว่าคนนี้ชีวิตกำลังจะหมดอายุขัย ป่วยไม่สบาย เขาเอาคนนั้นมาร่วม เป็นคนที่เรารู้จัก รัก รู้จักเหมือนพี่เหมือนน้องกัน เขาเอามาร่วมในพิธี แล้วถามทางนี้ว่าโอเคมั้ย ณ ตอนนั้นเหมือนเราอยู่ในจุดที่ไม่สามารถปฏิเสธได้ เหมือนเขาอ้างแค่ว่ามันต้องตาย อีกอย่างเขาบอกว่าต้องครบองค์ ค่อย ๆ ขยับไปเรื่อย ๆ เขาเอาข้อมูลมาจากที่ไหนไม่รู้ว่าธรรมนี้มีมาเป็นพัน ๆ หมื่น ๆ ปีแล้ว ต้องมีผู้หญิงผู้ชายเพื่อให้ถึงพลังขั้นสูงที่จะทำให้พิธีนี้เสร็จสมบูรณ์ครบได้ เขาอ้างว่าสมัยอดีตกาลมีอยู่จริง เอารูปมาเยอะมากเพื่อเกลี้ยกล่อมเรา ก่อนหน้านี้เขาสอนโน้มน้าวเราให้เชื่อแบบนี้
- ภาพมีเยอะมาก เห็นแล้วคุณพระช่วย มีเรื่องฟิล์มเอกซเรย์ ?
เอ : เป็นการยืนยัน การไปตรวจร่างกายเป็นช่วงปลายปี 64 หลังเกิดเหตุมาเดือนสองเดือนแล้ว เขาเอาฟิล์มเอกซเรย์มายืนยันกับเราว่าร่างกายเขาแข็งแรงแล้ว เขาดีมากนะ ขอบคุณทุกคนมากที่เสียสละ
- คุณก็โดนละเมิด ?
บี : ใช่ครับ มันก็เป็นแผลของพวกผมนิดนึง ในพิธีที่เขาอ้างว่าทำเพื่อรักษาอาการป่วยเขา ทำเพื่อบรรลุธรรมขั้นสูง ถวายองค์คุรุให้เมตตาประทานพรให้ เขาได้ทั้งผู้ชายและผู้หญิง
- บังคับให้เราถวายตัวให้มัน ?
เอ : อ้างว่าไม่มีเพศสภาพ ไม่มีชายหญิง
- คุณโดนอะไร ?
ซี : ตอนแรกแค่เหล้ากับไข่ในการถอนของ แต่เขาค่อย ๆ ขยับไปทีละสเต็ป มีการให้ช่วยตัวเอง อ้างคำเดิม การเข้าถึงพลังขั้นสูงต้องปฏิบัตินาทีชีวิตก่อนตาย การสำเร็จความใคร่ดึงพลัง ขับออก ตอนแรกจะค่อย ๆ ให้ผมช่วยตัวเองไปในพิธี ถอนของ แต่ว่ามีการลงเสน่ห์ด้วย บางทีการลงเสน่ห์เขาก็ให้กล่าวคำสาบาน สัญญากับครูบาอาจารย์ก่อนว่าอย่าไปบอกใคร ถ้าแพร่งพรายชีวิตจะมีความเป็นไป ไม่เจริญรุ่งเรือง เหมือนสะกดจิตให้สาบานก่อน ตอนแรกเราเข้าใจว่าเป็นการทำพิธีลงเสน่ห์ เอาทองมาปิดตามจุดต่าง ๆ สุดท้ายเหมือนให้ไปห้องน้ำสองคน ไปกับมันที่ลับตาคน ช่วงที่ไม่มีใครเห็น
- ทำไมวันนี้ตัดสินใจออกมาบอกประชาชนว่าเราโดนหลอกแบบนี้ ?
เอ : อย่างแรกเลย เราเคยพลาด เราเคยเจอ ประสบเหตุการณ์ที่รุนแรง และเลวร้ายที่สุดในชีวิตเรามาแล้ว มุมเรา เรามองว่าความเชื่อศรัทธาบางอย่างมันสามารถทำร้ายเราได้ ขณะที่เราหวังดี เรามองว่าคนนั้นเป็นคนดี แต่จริง ๆ แล้วอาจไม่ได้เป็นอย่างที่เราคิดก็ได้ อะไรที่ไม่ถูกไม่ใช่ หลุดไปจากหลักธรรมเดิม จะด้วยความไม่รู้หรือรู้แล้ว ต้องออกมาจากจุดนั้นและตั้งสติ เราอยากให้ทุกคนรู้ว่าเหตุการณ์ที่เกิดกับเราตอนนี้อาจมีลูกศิษย์หรือใครก็ตาม ที่อยู่กับเขา มีคนอื่นอาจกำลังโดนแบบนี้ มีความรู้สึกว่าทำไมเจอคล้าย ๆ กับเราแบบนี้ อยากให้รู้ว่าความเชื่อและเหตุการณ์แบบนี้มันผิดพลาด อย่าหลงเชื่อแค่เขาเป็นคนดีหรือใส่เครื่องแบบอะไรก็ตาม ถ้าเราไม่มั่นใจอย่าไปฟังใคร ให้เรากลับมาทบทวน ให้เรามองอีกมุมว่าจริงหรือไม่จริง เชื่อว่าต้องมีคนเจอแบบนี้อีก เราไม่อยากให้ใครต้องมาเจอเหตุการณ์แบบนี้ ความเชื่อมีได้ แต่ความเชื่อในทางที่ผิดไม่มีอยู่จริง
- คุณกลับตัวได้ตอนไหน ?
บี : ตอนที่เขาไปตรวจสุขภาพ เขาถ่ายฟิล์มเอกซเรย์มาให้ดูว่าเขาดีขึ้นแล้ว แต่หลังจากนั้นเขายังมีความต้องการอยู่ ต้องการทำพิธีแบบเดิม ๆ อยู่เรื่อย ๆ จนเราสองคนคิดว่าน่าจะไม่ไหวแล้ว บอกตรง ๆ ผมรู้ว่าคุณเอเชื่อมั่นศรัทธารักและเคารพจริง ๆ ตอนแรกผมไม่กล้าเตือนเขา ถ้าเขาไปถามคนนั้น ถ้าคนนั้นสงสัย ผมไม่รู้ว่าคุณเอจะโดนคนนั้นหลอกอะไรอีก จนผมอาจไม่มีโอกาสได้พาเขาออกมาจากวงจรนั้นก็ได้ ผมก็เลยตัดสินใจ จนเขาบอกเองเลยว่าพอแล้วนะ ผมก็มั่นใจว่าเขาคงไม่เชื่อคนนั้นอีกแล้ว
- คุณหลงเชื่อในช่วงสุดท้ายที่มันบอกจะตายแล้ว นานแค่ไหน ?
บี : ประมาณ 4-5 เดือน พอคุณเอบอกว่าไม่ไหวแล้ว ผมถึงกล้าคุยกับเขาว่าจริง ๆ ควรหยุดตั้งนานแล้ว แต่ไม่กล้าเตือนเพราะเขาเชื่อคนนั้นเหมือนพ่อ
ซี : ผมก็อยากออกมาเตือนสังคม มีคนใช้ความเชื่อชักจูงคนหลอกเพื่อผลประโยชน์ของตัวเอง พวกผมโดนหลอกไปแล้ว สิ่งที่เกิดขึ้นเป็นแผลใจที่ไม่มีวันหายไปแน่นอน แต่เราก็รวบรวมความกล้ามาบอกสังคม พอเริ่มหลงทางไปหนึ่งก็เป๋ออกไปเรื่อย ๆ พอถึงจุดนึงเราก็ตั้งสติได้ว่าแบบนี้มันเกินไปแล้ว มันเกินกว่ามนุษย์ธรรมดาจะทำได้
- เขาส่งมาแล้วบอกพลังสี้ ห้องพิศวง มันคืออะไร ?
ประยุทธ : สี้คือเสพกาม ภาษาท้องถิ่น
- เห็นว่าน่าตกใจ มีตำรวจด้วยเหรอ ?
บี : หนึ่งในผู้ร่วมพิธีเป็นตำรวจ
- บ้าน่า คนร่วมพิธีที่มีอะไรด้วย หนึ่งในนั้นคือตำรวจมีหลักฐานมั้ย ?
บี : มีรูปเขา ทุกคนต้องแก้ผ้าเหมือนกันหมด ต้องร่วมกันเป็นหนึ่งเดียว












