นักศึกษาหนุ่มวัย 20 ป่วยเข้า ICU เกิดภาวะติดเชื้อในกระแสเลือด พบรูในปอดมากกว่า 10 รู ต้นเหตุไม่คาดคิด เพราะบีบสิว

ภาพจาก Sina
วันที่ 23 พฤศจิกายน 2568 เว็บไซต์ Soha เผยกรณีอุทาหรณ์ที่น่าตกใจ
นักศึกษาชายวัย 20 ปีรายหนึ่งในประเทศจีน ป่วยหนักจนต้องเข้าห้องไอซียู
หลังจากบีบสิว ซึ่งนั่นดูเหมือนไม่เป็นอันตราย
แต่เขากลับต้องเผชิญกับภาวะติดเชื้อในกระแสเลือด และปอดได้รับความเสียหาย
โดยพบว่ามีรูในปอดมากกว่า 10 รู
ตามรายงานของสื่อท้องถิ่นเผยว่า นายจาง (นามสมมุติ) เป็นนักศึกษาชั้นปีที่ 2 ของมหาวิทยาลัยแห่งหนึ่ง ในช่วงที่ผ่านมาเขาได้เตรียมตัวสอบอย่างหนักจนดึก ทำให้เขานอนไม่หลับหลายคืน กระทั่งในเช้าวันหนึ่ง เขาส่องกระจกแล้วพบว่ามีสิวอักเสบขนาดเท่าเม็ดถั่วอยู่บนใบหน้า เขาเผยว่ามันมีอาการบวมแดงและคันมาก จนตัดสินใจบีบมัน
จางไม่ทันได้ระวัง เขาบีบสิวอักเสบนั้นโดยที่ไม่ได้ล้างมือ ในตอนนั้นเขาเห็นว่ามีหนองไหลออกมาจากหัวสิว จึงเข้าใจว่าสิวน่าจะถูกกำจัดไปแล้ว แต่ปรากฏว่าหลังจากผ่านไปไม่กี่วัน บริเวณที่สิวขึ้นยังคงอักเสบ และยิ่งเจ็บปวดใบหน้ามากยิ่งขึ้น นอกจากนี้เขายังมีไข้ ไอ และมีเสมหะ ตอนแรกเขากินยาลดไข้ไปก็ดีขึ้น แต่ต่อมาไข้กลับขึ้นอีก อีกทั้งยังมีอาการปวดที่หน้าอกขวาล่าง จนทำให้เขาหายใจลำบาก
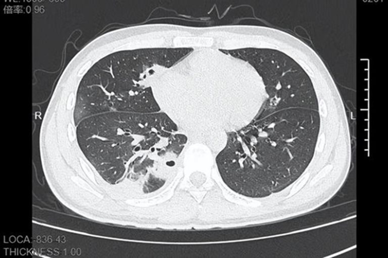
ในที่สุดจางได้ตัดสินไปโรงพยาบาล ขณะที่ไปถึง เขามีไข้สูงถึง 39 องศาเซลเซียส แพทย์ได้ทำ CT scan ทรวงอก ผลปรากฏว่าพบรู หรือที่เรียกว่า โพรงในปอด (pulmonary cavities) ซึ่งเป็นช่องว่างผิดปกติภายในเนื้อเยื่อปอดมากกว่า 10 โพรง เนื้อเยื่อปอดบางส่วนมีเนื้อตายและมีหนองสะสมอยู่ภายใน
แพทย์วินิจฉัยว่าผู้ป่วยมีอาการของฝีในปอด (Lung abscess) ที่เกิดจากการติดเชื้อแบคทีเรียในกระแสเลือด โดยผลการตรวจทดสอบแสดงให้เห็นว่า เกิดจากเชื้อแบคทีเรียชนิด Staphylococcus aureus ซึ่งเป็นแบคทีเรียที่อาศัยอยู่บนผิวหนังของคน ทำให้เกิดการติดเชื้อได้ตั้งแต่เล็กน้อยไปจนถึงรุนแรง ซึ่งภายหลังจากการสอบถามทำให้สามารถยืนยันได้ว่าต้นเหตุมาจาก "การบีบสิว"
ภาพจาก Sina
โดยเคสดังกล่าว ผู้ป่วยจำเป็นต้องรักษาตัวในไอซียู โดยมีแพทย์ดูแลอย่างใกล้ชิด ทั้งนี้ โชคดีที่เขายังอายุน้อย และร่างกายตอบสนองต่อการรักษาได้ดี หลังจากได้รับยาปฏิชีวนะทางหลอดเลือดดำเป็นเวลา 12 วัน เขาก็อาการดีขึ้นและสามารถออกจากโรงพยาบาลได้
ทั้งนี้ แพทย์ได้เตือนว่าการบีบสิวอักเสบที่ใบหน้านั้นอันตราย โดยเฉพาะบริเวณตั้งแต่สันจมูกถึงมุมปาก ที่เรียกว่า "สามเหลี่ยมมรณะ" เนื่องจากมีเส้นเลือดที่เชื่อมต่อกับหลอดเลือดสำคัญ เมื่อบีบสิวตรงนั้นแล้วเกิดแผลเปิด แบคทีเรียจากมือหรืออากาศ จะสามารถเข้าสู่กระแสเลือดได้ และยิ่งมีแรงกดมาก แบคทีเรียจะถูกดันเข้าสู่กระแสเลือดได้ง่าย จนอาจนำไปสู่การติดเชื้อ และเกิดภาวะแทรกซ้อนที่ร้ายแรง หรือในบางกรณีอาจถึงขั้นเสียชีวิตได้
ขอบคุณข้อมูลจาก Soha






