เปิดเคสผู้ป่วยหญิงไทย ไม่สูบบุหรี่ ไม่ไอ ไม่ไข้ ไม่มีอะไรเลย พอเอกซเรย์ปอดเท่านั้น รู้เรื่องเลย ผลจากข้างบ้านล้วน ๆ

ภาพจาก เฟซบุ๊ก หมอมนูญ ลีเชวงวงศ์ FC
วันที่ 12 มกราคม 2569 เฟซบุ๊ก หมอมนูญ ลีเชวงวงศ์ FC มีการเปิดเคสผู้ป่วยหญิงไทย อายุ 84 ปี ไม่สูบบุหรี่ ไม่ไอไม่มีไข้ ไม่เหนื่อย ไม่เบื่ออาหาร น้ำหนักไม่ลด ไม่ปวดศีรษะ ช่วยตัวเองได้ เป็นโรคความดัน ไขมัน เบาหวาน แต่กลับพบปอดอักเสบ รายละเอียดทั้งหมดดังนี้
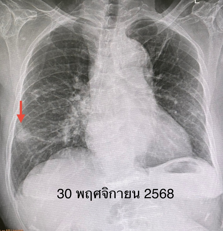
ผู้ป่วยรายนี้ มาตรวจร่างกายประจำปี ตรวจร่างกาย ไม่มีไข้ ฟังปอดปกติ เอกซเรย์ปอด มีเงาผิดปกติปอดข้างขวาด้านบนจากเคยป่วยเป็นวัณโรค และมีก้อนขนาด 1.9 x 1.9 เซนติเมตรที่ปอดข้างขวาด้านล่าง (ดูรูป) ก้อนนี้เป็นก้อนใหม่เพิ่งพบครั้งแรก ปีที่แล้วไม่มีก้อน ทำคอมพิวเตอร์ปอด พบก้อนขนาด 3.0 × 2.4 × 2.0 เซนติเมตรที่ปอดข้างขวาด้านล่าง ตรวจเลือด ค่ามะเร็งทุกตัวปกติ
ภาพจาก เฟซบุ๊ก หมอมนูญ ลีเชวงวงศ์ FC
เมื่อเจาะก้อนด้วยเข็ม ส่งชิ้นเนื้อตรวจพยาธิวิทยา พบปอดอักเสบจากเชื้อราคริปโตค็อกคัส ตรวจเลือดหาคริปโตค็อกคัสแอนติเจนให้ผลบวก titer 1 : 20 ทำคอมพิวเตอร์สมอง และเจาะน้ำไขสันหลังปกติ ไม่พบเชื้อราคริปโตค็อกคัสกระจายเข้าเยื่อหุ้มสมอง
วินิจฉัย : ปอดอักเสบจากติดเชื้อราคริปโตค็อกคัส
ภาพจาก เฟซบุ๊ก หมอมนูญ ลีเชวงวงศ์ FC
ให้การรักษาด้วยยาต้านเชื้อรา fluconazole กินต่อเนื่องอย่างน้อย 6 เดือน
ซักประวัติ ที่บ้านเป็นตึก 4 ชั้น ผู้ป่วยอาศัยอยู่ในห้องชั้น 2 ที่บ้านเลี้ยงนกพิราบหลายตัวบนดาดฟ้าหลายปีแล้ว นกพิราบมาเกาะที่ระเบียงและขอบหน้าต่างห้องผู้ป่วยเป็นประจำ ผู้ป่วยชอบทำความสะอาดมูลนกพิราบติดที่ระเบียงและขอบหน้าต่าง
ผู้ป่วยรายนี้หายใจสปอร์ของเชื้อราคริปโตค็อกคัส นีโอฟอร์แมนส์ (Cryptococcus Neoformans) จากมูลนกพิราบเข้าไปในปอด ทำให้เกิดปอดอักเสบลักษณะเป็นก้อน
โชคดีที่เชื้อราไม่ได้กระจายออกนอกปอดเนื่องจากร่างกายยังแข็งแรง มีภูมิคุ้มกันดี แนะนำให้ทุกคนอยู่ห่าง ๆ และหลีกเลี่ยงทำความสะอาดมูลนกพิราบ ถ้าจำเป็นต้องทำความสะอาด ต้องใส่หน้ากากอนามัย ถ้าเป็นไปได้ควรใส่ชนิด N 95 เพื่อป้องกันการหายใจสปอร์เชื้อราเข้าปอด






